ARG24011
anti-Fibronectin antibody
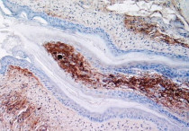
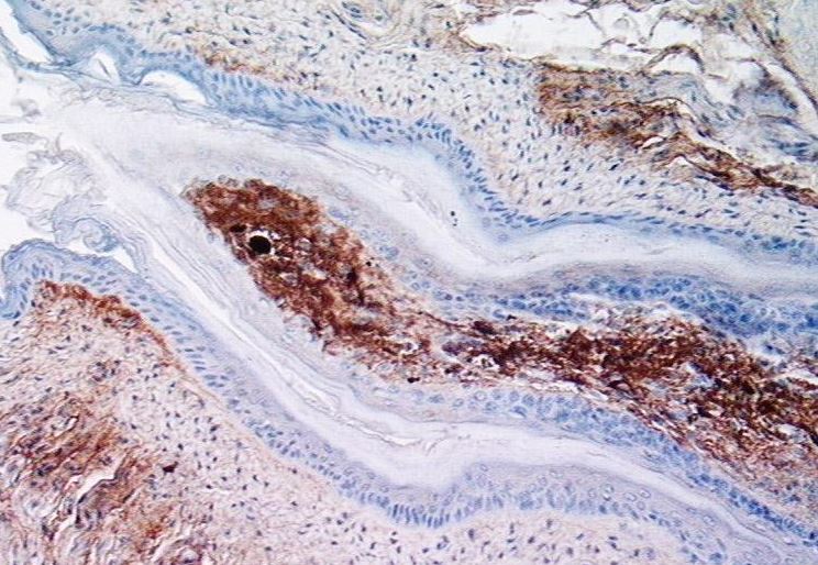
anti-Fibronectin antibody for ELISA,ICC/IF,IHC-Formalin-fixed paraffin-embedded sections and Chicken
Overview
| Product Description | Rabbit Polyclonal antibody recognizes Fibronectin |
|---|---|
| Tested Reactivity | Chk |
| Tested Application | ELISA, ICC/IF, IHC-P |
| Host | Rabbit |
| Clonality | Polyclonal |
| Isotype | IgG |
| Target Name | Fibronectin |
| Antigen Species | Chicken |
| Immunogen | Fibronectin extracted from Chicken plasma. |
| Conjugation | Un-conjugated |
| Alternate Names | ED-B; CIG; GFND; Cold-insoluble globulin; FNZ; LETS; GFND2; Fibronectin; MSF; FINC; FN |
Application Instructions
| Application Suggestion |
|
||||||||
|---|---|---|---|---|---|---|---|---|---|
| Application Note | * The dilutions indicate recommended starting dilutions and the optimal dilutions or concentrations should be determined by the scientist. |
Properties
| Form | Liquid |
|---|---|
| Purification | Purified. |
| Storage Instruction | For continuous use, store undiluted antibody at 2-8°C for up to a week. For long-term storage, aliquot and store at -20°C. Storage in frost free freezers is not recommended. Avoid repeated freeze/thaw cycles. Suggest spin the vial prior to opening. The antibody solution should be gently mixed before use. |
| Note | For laboratory research only, not for drug, diagnostic or other use. |
Bioinformation
| Gene Symbol | FN1 |
|---|---|
| Gene Full Name | fibronectin 1 |
| Background | This gene encodes fibronectin, a glycoprotein present in a soluble dimeric form in plasma, and in a dimeric or multimeric form at the cell surface and in extracellular matrix. The encoded preproprotein is proteolytically processed to generate the mature protein. Fibronectin is involved in cell adhesion and migration processes including embryogenesis, wound healing, blood coagulation, host defense, and metastasis. The gene has three regions subject to alternative splicing, with the potential to produce 20 different transcript variants, at least one of which encodes an isoform that undergoes proteolytic processing. The full-length nature of some variants has not been determined. [provided by RefSeq, Jan 2016] |
| Function | Fibronectins bind cell surfaces and various compounds including collagen, fibrin, heparin, DNA, and actin. Fibronectins are involved in cell adhesion, cell motility, opsonization, wound healing, and maintenance of cell shape. Involved in osteoblast compaction through the fibronectin fibrillogenesis cell-mediated matrix assembly process, essential for osteoblast mineralization. Participates in the regulation of type I collagen deposition by osteoblasts. Anastellin binds fibronectin and induces fibril formation. This fibronectin polymer, named superfibronectin, exhibits enhanced adhesive properties. Both anastellin and superfibronectin inhibit tumor growth, angiogenesis and metastasis. Anastellin activates p38 MAPK and inhibits lysophospholipid signaling. [UniProt] |
| Cellular Localization | Secreted, extracellular space, extracellular matrix. [UniProt] |
| Highlight | Related products: Fibronectin antibodies; Fibronectin ELISA Kits; Fibronectin Duos / Panels; Anti-Rabbit IgG secondary antibodies; Related news: New antibody panels for Myofibroblasts and CAFs |
| Calculated MW | 272 kDa |
| PTM | Sulfated. It is not known whether both or only one of Thr-2064 and Thr-2065 are/is glycosylated. Forms covalent cross-links mediated by a transglutaminase, such as F13A or TGM2, between a glutamine and the epsilon-amino group of a lysine residue, forming homopolymers and heteropolymers (e.g. fibrinogen-fibronectin, collagen-fibronectin heteropolymers). Phosphorylated by FAM20C in the extracellular medium. Proteolytic processing produces the C-terminal NC1 peptide, anastellin. Some lysine residues are oxidized to allysine by LOXL3, promoting fibronectin activation and matrix formation. [UniProt] |
Images (1) Click the Picture to Zoom In
