ARG46162
anti-Fn14 antibody
anti-Fn14 antibody for Western blot,IHC-Formalin-fixed paraffin-embedded sections and Human
Overview
| Product Description | Rabbit Polyclonal antibody recognizes Fn14 |
|---|---|
| Tested Reactivity | Hu |
| Tested Application | IHC-P, WB |
| Host | Rabbit |
| Clonality | Polyclonal |
| Isotype | IgG |
| Target Name | Fn14 |
| Antigen Species | Human |
| Immunogen | This antibody was raised against a human IgG1 Fc-tagged Fn14 protein. |
| Conjugation | Un-conjugated |
| Alternate Names | TNFRSF12A; Tumor necrosis factor receptor superfamily member 12A; FGF-inducible 14; CD266; Fibroblast growth factor-inducible immediate-early response protein 14; TWEAKR; TweakR; CD antigen CD266; Tweak-receptor; FN14 |
Application Instructions
| Application Suggestion |
|
||||||
|---|---|---|---|---|---|---|---|
| Application Note | * The dilutions indicate recommended starting dilutions and the optimal dilutions or concentrations should be determined by the scientist. |
Properties
| Purification | Affinity chromatography purified |
|---|---|
| Buffer | PBS and 0.02% Sodium azide. |
| Preservative | 0.02% Sodium azide |
| Concentration | 1 mg/ml |
| Storage Instruction | For continuous use, store undiluted antibody at 2-8°C for up to a week. For long-term storage, aliquot and store at -20°C. Storage in frost free freezers is not recommended. Avoid repeated freeze/thaw cycles. Suggest spin the vial prior to opening. The antibody solution should be gently mixed before use. |
| Note | For laboratory research only, not for drug, diagnostic or other use. |
Bioinformation
| Database Links |
Swiss-port # Q9NP84 Human Tumor necrosis factor receptor superfamily member 12A |
|---|---|
| Gene Symbol | TNFRSF12A |
| Gene Full Name | tumor necrosis factor receptor superfamily, member 12A |
| Background | Fibroblast growth factor-inducible 14 (Fn14) is the receptor for Tweak, a member of the TNF receptor family. It was first described as a weak inducer of apoptosis in some cell types. It is thought to promote angiogenesis and the proliferation of endothelial cells as well as modulating cellular adhesion to matrix proteins. Fn14 is highly expressed in glioma and some cancer cases of breast, pancreas, and liver. |
| Cellular Localization | Membrane |
| Calculated MW | 14-17 kDa |
Images (3) Click the Picture to Zoom In
-
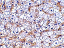
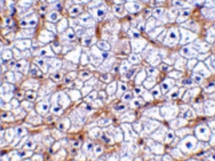
ARG46162 anti-Fn14 antibody IHC-P image
Immunohistochemistry: Human liver stained with ARG46162 anti-Fn14 antibody.
-
ARG46162 anti-Fn14 antibody ICC/IF image
Immunofluorescence: Human Liver stained with ARG46162 anti-Fn14 antibody.
-
ARG46162 anti-Fn14 antibody WB image
Western blot: HepG2 stained with ARG46162 anti-Fn14 antibody.
