ARG64623
anti-Frizzled 2 antibody
anti-Frizzled 2 antibody for ICC/IF,IHC-Formalin-fixed paraffin-embedded sections,Western blot and Human
Cancer antibody; Developmental Biology antibody; Signaling Transduction antibody
Overview
| Product Description | Goat Polyclonal antibody recognizes Frizzled 2 |
|---|---|
| Tested Reactivity | Hu |
| Predict Reactivity | Ms, Rat |
| Tested Application | ICC/IF, IHC-P, WB |
| Host | Goat |
| Clonality | Polyclonal |
| Isotype | IgG |
| Target Name | Frizzled 2 |
| Antigen Species | Human |
| Immunogen | RYATLEHPFHCPR |
| Conjugation | Un-conjugated |
| Alternate Names | fzE2; FzE2; Fz2; Frizzled-2; hFz2; Fz-2; fz-2 |
Application Instructions
| Application Suggestion |
|
||||||||
|---|---|---|---|---|---|---|---|---|---|
| Application Note | WB: Recommend incubate at RT for 1h. IHC-P: Antigen Retrieval: Steam tissue section in Citrate buffer (pH 6.0). * The dilutions indicate recommended starting dilutions and the optimal dilutions or concentrations should be determined by the scientist. |
Properties
| Form | Liquid |
|---|---|
| Purification | Purified from goat serum by antigen affinity chromatography. |
| Buffer | Tris saline (pH 7.3), 0.02% Sodium azide and 0.5% BSA. |
| Preservative | 0.02% Sodium azide |
| Stabilizer | 0.5% BSA |
| Concentration | 0.5 mg/ml |
| Storage Instruction | For continuous use, store undiluted antibody at 2-8°C for up to a week. For long-term storage, aliquot and store at -20°C or below. Storage in frost free freezers is not recommended. Avoid repeated freeze/thaw cycles. Suggest spin the vial prior to opening. The antibody solution should be gently mixed before use. |
| Note | For laboratory research only, not for drug, diagnostic or other use. |
Bioinformation
| Database Links | |
|---|---|
| Background | This intronless gene is a member of the frizzled gene family. Members of this family encode seven-transmembrane domain proteins that are receptors for the wingless type MMTV integration site family of signaling proteins. This gene encodes a protein that is coupled to the beta-catenin canonical signaling pathway. Competition between the wingless-type MMTV integration site family, member 3A and wingless-type MMTV integration site family, member 5A gene products for binding of this protein is thought to regulate the beta-catenin-dependent and -independent pathways. [provided by RefSeq, Dec 2010] |
| Research Area | Cancer antibody; Developmental Biology antibody; Signaling Transduction antibody |
| Calculated MW | 64 kDa |
| PTM | Ubiquitinated by ZNRF3, leading to its degradation by the proteasome. |
Images (4) Click the Picture to Zoom In
-
ARG64623 anti-Frizzled 2 antibody ICC/IF image
Immunofluorescence: Paraformaldehyde fixed U2OS cells permeabilized with 0.15% Triton. Cells were stained with ARG64623 anti-Frizzled 2 antibody (green) at 10 µg/ml dilution for 1 hour. Phalloidin (red) for Actin filaments staining. Negative control: Unimmunized goat IgG (green) at 10 µg/ml dilution.
-
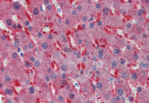
ARG64623 anti-Frizzled 2 antibody IHC-P image
Immunohistochemistry: Paraffin-embedded Human liver tissue. Antigen Retrieval: Steam tissue section in Citrate buffer (pH 6.0). The tissue section was stained with ARG64623 anti-Frizzled 2 antibody at 2.5 µg/ml dilution followed by AP-staining.
-
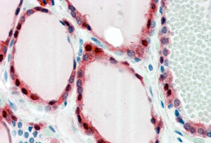
ARG64623 anti-Frizzled 2 antibody IHC-P image
Immunohistochemistry: paraffin embedded Human Thyroid Gland. (Steamed antigen retrieval with citrate buffer pH 6) stained with ARG64623 anti-Frizzled 2 antibody at 2.5 µg/ml dilution followed by AP-staining.
-
ARG64623 anti-Frizzled 2 antibody WB image
Western blot: 35 µg of Human heart (A) and Human placenta (B) (in RIPA buffer) stained with ARG64623 anti-Frizzled 2 antibody at 0.03 µg/ml (A) and 0.1 µg/ml (B) dilutions and incubated at RT for 1 hour.
