ARG64232
anti-G6PD antibody
anti-G6PD antibody for IHC-Formalin-fixed paraffin-embedded sections,Western blot and Human
Cancer antibody; Cell Biology and Cellular Response antibody; Metabolism antibody; Signaling Transduction antibody
Overview
| Product Description | Goat Polyclonal antibody recognizes G6PD |
|---|---|
| Tested Reactivity | Hu |
| Predict Reactivity | Ms, Rat, Dog |
| Tested Application | IHC-P, WB |
| Specificity | This antibody is expected to recognise both reported isoforms (NP_000393.4 and NP_001035810.1). |
| Host | Goat |
| Clonality | Polyclonal |
| Isotype | IgG |
| Target Name | G6PD |
| Antigen Species | Human |
| Immunogen | C-STNSDDVRDEKVK |
| Conjugation | Un-conjugated |
| Alternate Names | G6PD1; G6PD; EC 1.1.1.49; Glucose-6-phosphate 1-dehydrogenase |
Application Instructions
| Application Suggestion |
|
||||||
|---|---|---|---|---|---|---|---|
| Application Note | WB: Recommend incubate at RT for 1h. IHC-P: Antigen Retrieval: Steam tissue section in Citrate buffer (pH 6.0). * The dilutions indicate recommended starting dilutions and the optimal dilutions or concentrations should be determined by the scientist. |
Properties
| Form | Liquid |
|---|---|
| Purification | Purified from goat serum by antigen affinity chromatography. |
| Buffer | Tris saline (pH 7.3), 0.02% Sodium azide and 0.5% BSA. |
| Preservative | 0.02% Sodium azide |
| Stabilizer | 0.5% BSA |
| Concentration | 0.5 mg/ml |
| Storage Instruction | For continuous use, store undiluted antibody at 2-8°C for up to a week. For long-term storage, aliquot and store at -20°C or below. Storage in frost free freezers is not recommended. Avoid repeated freeze/thaw cycles. Suggest spin the vial prior to opening. The antibody solution should be gently mixed before use. |
| Note | For laboratory research only, not for drug, diagnostic or other use. |
Bioinformation
| Database Links |
Swiss-port # P11413 Human Glucose-6-phosphate 1-dehydrogenase |
|---|---|
| Background | This gene encodes glucose-6-phosphate dehydrogenase. This protein is a cytosolic enzyme encoded by a housekeeping X-linked gene whose main function is to produce NADPH, a key electron donor in the defense against oxidizing agents and in reductive biosynthetic reactions. G6PD is remarkable for its genetic diversity. Many variants of G6PD, mostly produced from missense mutations, have been described with wide ranging levels of enzyme activity and associated clinical symptoms. G6PD deficiency may cause neonatal jaundice, acute hemolysis, or severe chronic non-spherocytic hemolytic anemia. Two transcript variants encoding different isoforms have been found for this gene. [provided by RefSeq, Jul 2008] |
| Research Area | Cancer antibody; Cell Biology and Cellular Response antibody; Metabolism antibody; Signaling Transduction antibody |
| Calculated MW | 59 kDa |
| PTM | Acetylated by ELP3 at Lys-403; acetylation inhibits its homodimerization and enzyme activity. Deacetylated by SIRT2 at Lys-403; deacetylation stimulates its enzyme activity. |
Images (3) Click the Picture to Zoom In
-
ARG64232 anti-G6PD antibody WB image
Western Blot: Human Testis lysate (35 µg protein in RIPA buffer) stained with ARG64232 anti-G6PD (aa 308 - 320) antibody at 0.03 µg/ml dilution.
-
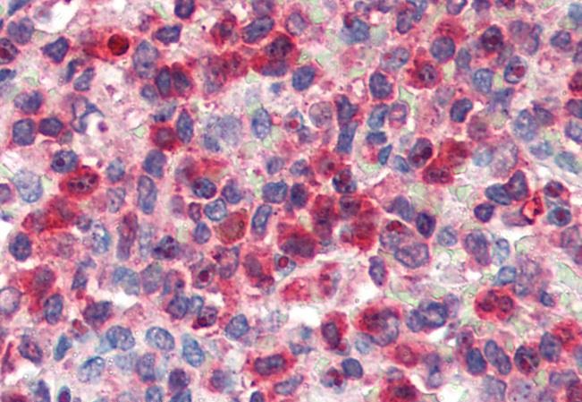
ARG64232 anti-G6PD antibody IHC-P image
Immunohistochemistry: Paraffin-embedded Human spleen tissue. Antigen Retrieval: Steam tissue section in Citrate buffer (pH 6.0). The tissue section was stained with ARG64232 anti-G6PD antibody at 2.5 µg/ml dilution followed by AP-staining.
-
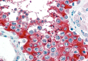
ARG64232 anti-G6PD antibody IHC-P image
Immunohistochemistry: paraffin embedded Human Testis. (Steamed antigen retrieval with citrate buffer pH 6) stained with ARG64232 anti-G6PD (aa 308 - 320) antibody at 2.5 µg/ml dilution followed by AP-staining.
