ARG65053
anti-GAL antibody
anti-GAL antibody for IHC-Formalin-fixed paraffin-embedded sections,Western blot and Human,Mouse,Rat
Cell Biology and Cellular Response antibody; Metabolism antibody; Neuroscience antibody
Overview
| Product Description | Goat Polyclonal antibody recognizes GAL |
|---|---|
| Tested Reactivity | Hu, Ms, Rat |
| Predict Reactivity | Cow |
| Tested Application | IHC-P, WB |
| Host | Goat |
| Clonality | Polyclonal |
| Isotype | IgG |
| Target Name | GAL |
| Antigen Species | Human |
| Immunogen | C-HRSFSDKNGLTSK |
| Conjugation | Un-conjugated |
| Alternate Names | Galanin peptides; GALN; GLNN; GAL-GMAP; GMAP |
Application Instructions
| Application Suggestion |
|
||||||
|---|---|---|---|---|---|---|---|
| Application Note | IHC-P: Antigen Retrieval: Steam tissue section in Citrate buffer (pH 6.0) at 80°C for 30 min. WB: Recommend incubate at RT for 1h. * The dilutions indicate recommended starting dilutions and the optimal dilutions or concentrations should be determined by the scientist. |
Properties
| Form | Liquid |
|---|---|
| Purification | Purified from goat serum by antigen affinity chromatography. |
| Buffer | Tris saline (pH 7.3), 0.02% Sodium azide and 0.5% BSA. |
| Preservative | 0.02% Sodium azide |
| Stabilizer | 0.5% BSA |
| Concentration | 0.5 mg/ml |
| Storage Instruction | For continuous use, store undiluted antibody at 2-8°C for up to a week. For long-term storage, aliquot and store at -20°C or below. Storage in frost free freezers is not recommended. Avoid repeated freeze/thaw cycles. Suggest spin the vial prior to opening. The antibody solution should be gently mixed before use. |
| Note | For laboratory research only, not for drug, diagnostic or other use. |
Bioinformation
| Database Links | |
|---|---|
| Background | Galanin is small neuropeptide that functions as a cellular messenger within the central and peripheral nervous systems, modulating diverse physiologic functions (Mechenthaler, 2008 [PubMed 18500643]).[supplied by OMIM, Jan 2009] |
| Research Area | Cell Biology and Cellular Response antibody; Metabolism antibody; Neuroscience antibody |
| Calculated MW | 13 kDa |
Images (3) Click the Picture to Zoom In
-
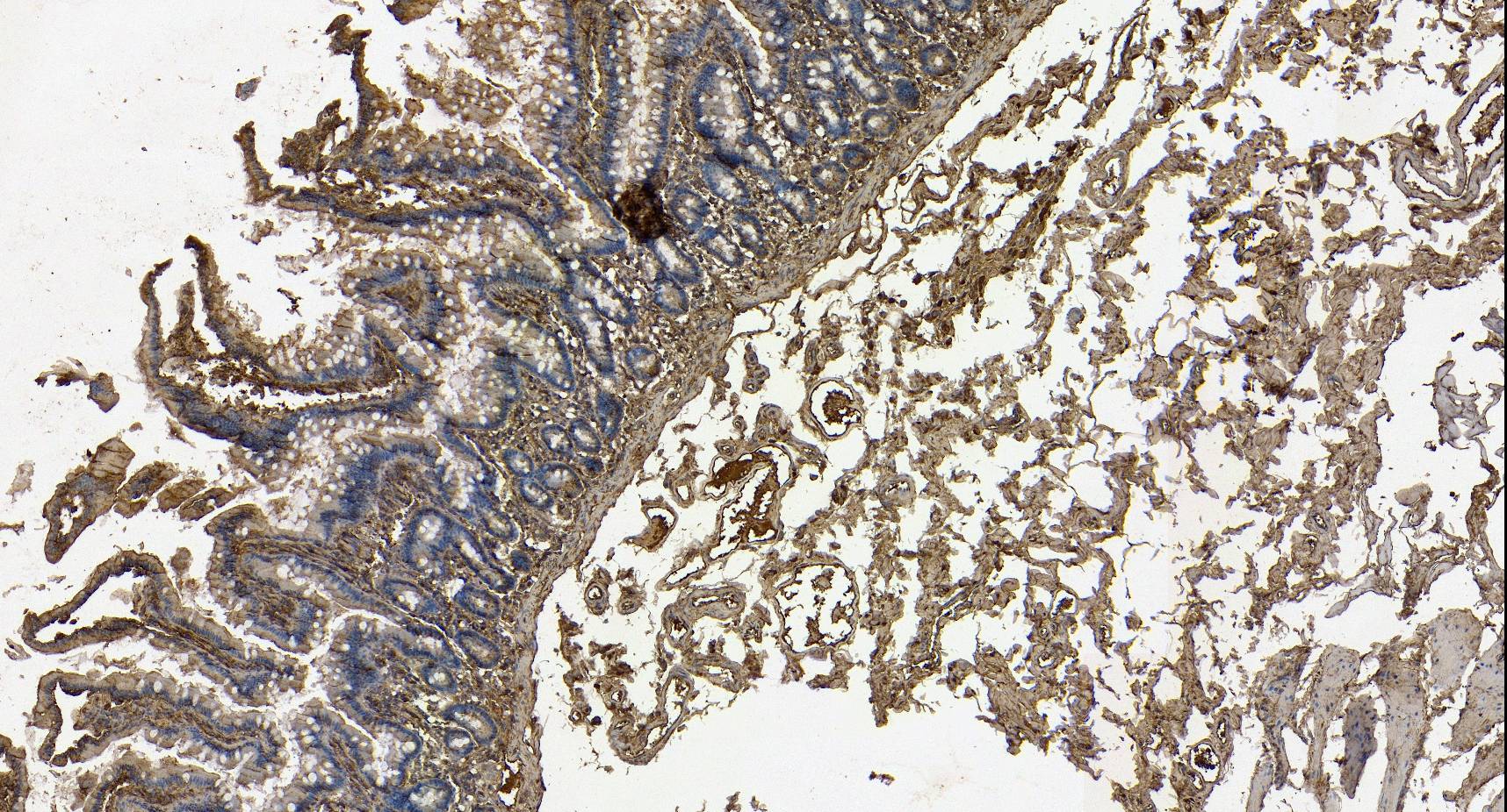
ARG65053 anti-GAL antibody IHC-P image
Immunohistochemistry: Human Small Intestine stained with ARG65053 anti-GAL antibody at 8 µg/ml dilution.
-
ARG65053 anti-GAL antibody WB image
Western Blot: Human Cerebellum lysate (35 µg protein in RIPA buffer) stained with ARG65053 anti-GAL antibody at 1 µg/ml dilution.
-
ARG65053 anti-GAL antibody WB image
Western blot: 35 µg of Mouse (A) and Rat (B) brain lysates (in RIPA buffer) stained with ARG65053 anti-GAL antibody at 2 µg/ml dilution and incubated at RT for 1 hour.
