ARG45517
anti-GAREM1 antibody
anti-GAREM1 antibody for Flow cytometry,IHC-Formalin-fixed paraffin-embedded sections,Western blot and Human
Overview
| Product Description | Rabbit Polyclonal antibody recognizes GAREM1 |
|---|---|
| Tested Reactivity | Hu |
| Tested Application | FACS, IHC-P, WB |
| Host | Rabbit |
| Clonality | Polyclonal |
| Isotype | IgG |
| Target Name | GAREM1 |
| Antigen Species | Human |
| Immunogen | Recombinant protein containing to human GAREM1. |
| Conjugation | Un-conjugated |
| Alternate Names | GAREM1; GRB2 Associated Regulator Of MAPK1 Subtype 1; C18orf11; FAM59A; GAREM; GRB2-Associated And Regulator Of MAPK Protein 1; Family With Sequence Similarity 59, Member A; Grb2-Associated And Regulator Of Erk/MAPK; GRB2-Associated And Regulator Of MAPK1; GRB2 Associated, Regulator Of MAPK1; FLJ21610; GRB2 Associated Regulator Of MAPK1 1; Chromosome 18 Open Reading Frame 11; Protein FAM59A; Gm944 |
Application Instructions
| Application Suggestion |
|
||||||||
|---|---|---|---|---|---|---|---|---|---|
| Application Note | * The dilutions indicate recommended starting dilutions and the optimal dilutions or concentrations should be determined by the scientist. |
Properties
| Form | Liquid |
|---|---|
| Purification | Affinity purified |
| Buffer | 0.2% Na2HPO4, 0.9% NaCl and 4% Trehalose. |
| Stabilizer | 4% Trehalose |
| Concentration | 0.5 mg/ml |
| Storage Instruction | For continuous use, store undiluted antibody at 2-8°C for up to a week. For long-term storage, aliquot and store at -20°C or below. Storage in frost free freezers is not recommended. Avoid repeated freeze/thaw cycles. Suggest spin the vial prior to opening. The antibody solution should be gently mixed before use. |
| Note | For laboratory research only, not for drug, diagnostic or other use. |
Bioinformation
| Database Links |
Swiss-port # Q9H706 Human GRB2-associated and regulator of MAPK protein |
|---|---|
| Gene Symbol | GAREM1 |
| Gene Full Name | GRB2 Associated Regulator Of MAPK1 Subtype 1 |
| Background | This gene encodes an adaptor protein which functions in the epidermal growth factor (EGF) receptor-mediated signaling pathway. Multiple transcript variants encoding different isoforms have been found for this gene. [provided by RefSeq, Oct 2011] |
| Function | [Isoform 1]: Acts as an adapter protein that plays a role in intracellular signaling cascades triggered either by the cell surface activated epidermal growth factor receptor and/or cytoplasmic protein tyrosine kinases. Promotes activation of the MAPK/ERK signaling pathway. Plays a role in the regulation of cell proliferation. [UniProt] |
| Cellular Localization | Plasma membrane. [UniProt] |
| Calculated MW | 97 kDa |
| PTM | Phosphoprotein. [UniProt] |
Images (3) Click the Picture to Zoom In
-
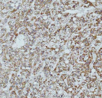
ARG45517 anti-GAREM1 antibody IHC-P image
Immunohistochemistry: Human liver cancer stained with ARG45517 anti-GAREM1 antibody at 2 μg/ml dilution.
-
ARG45517 anti-GAREM1 antibody WB image
Western blot: SH-SY5Y stained with ARG45517 anti-GAREM1 antibody at 0.5 μg/ml dilution.
-
ARG45517 anti-GAREM1 antibody FACS image
Flow Cytometry: SH-SY5Y stained with ARG45517 anti-GAREM1 antibody at 1 µg/10^6 cells dilution.
