ARG44666
anti-GAS2 antibody
anti-GAS2 antibody for IHC-Formalin-fixed paraffin-embedded sections,Immunoprecipitation,Western blot and Human
Overview
| Product Description | Mouse Monoclonal antibody recognizes GAS2 |
|---|---|
| Tested Reactivity | Hu |
| Tested Application | IHC-P, IP, WB |
| Host | Mouse |
| Clonality | Monoclonal |
| Isotype | IgG1 |
| Target Name | GAS2 |
| Antigen Species | Human |
| Conjugation | Un-conjugated |
| Alternate Names | GAS2; Growth Arrest Specific 2; Growth Arrest-Specific Protein 2; GAS-2 |
Application Instructions
| Application Suggestion |
|
||||||||
|---|---|---|---|---|---|---|---|---|---|
| Application Note | * The dilutions indicate recommended starting dilutions and the optimal dilutions or concentrations should be determined by the scientist. |
Properties
| Form | Liquid |
|---|---|
| Purification | Protein A purification |
| Buffer | PBS with 0.09% sodium azide |
| Storage Instruction | For continuous use, store undiluted antibody at 2-8°C for up to a week. For long-term storage, aliquot and store at -20°C or below. Storage in frost free freezers is not recommended. Avoid repeated freeze/thaw cycles. Suggest spin the vial prior to opening. The antibody solution should be gently mixed before use. |
| Note | For laboratory research only, not for drug, diagnostic or other use. |
Bioinformation
| Database Links | |
|---|---|
| Gene Symbol | GAS2 |
| Gene Full Name | Growth Arrest Specific 2 |
| Background | The protein encoded by this gene is a caspase-3 substrate that plays a role in regulating microfilament and cell shape changes during apoptosis. It can also modulate cell susceptibility to p53-dependent apoptosis by inhibiting calpain activity. Alternative splicing results in multiple transcript variants. [provided by RefSeq, May 2017] |
| Function | May play a role in apoptosis by acting as a cell death substrate for caspases. Is cleaved during apoptosis and the cleaved form induces dramatic rearrangements of the actin cytoskeleton and potent changes in the shape of the affected cells. May be involved in the membrane ruffling process. [UniProt] |
| Cellular Localization | Cytoplasm, Cytoskeleton, Membrane. [UniProt] |
| Calculated MW | 35 kDa |
| PTM | Phosphoprotein. [UniProt] |
Images (3) Click the Picture to Zoom In
-
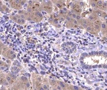
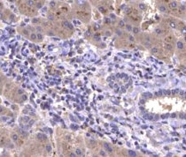
ARG44666 anti-GAS2 antibody IHC-P image
Immunohistochemistry: Human Liver stained with ARG44666 anti-GAS2 antibody at 10 µg/mL dilution.
-
ARG44666 anti-GAS2 antibody WB image
Western blot: HepG2 stained with ARG44666 anti-GAS2 antibody at 1 µg/mL dilution.
-
ARG44666 anti-GAS2 antibody IP image
Immunoprecipitation: HepG2 lysate immunoprecipitated with 2.5 µg of ARG44666 anti-GAS2 antibody.
