ARG51545
anti-GATA1 phospho (Ser142) antibody
anti-GATA1 phospho (Ser142) antibody for ICC/IF,IHC-Formalin-fixed paraffin-embedded sections,Western blot and Human,Mouse,Rat
Developmental Biology antibody; Gene Regulation antibody
Overview
| Product Description | Rabbit Polyclonal antibody recognizes GATA1 phospho (Ser142) |
|---|---|
| Tested Reactivity | Hu, Ms, Rat |
| Tested Application | ICC/IF, IHC-P, WB |
| Host | Rabbit |
| Clonality | Polyclonal |
| Isotype | IgG |
| Target Name | GATA1 |
| Antigen Species | Human |
| Immunogen | Peptide sequence around phosphorylation site of serine 142 (R-L-S(p)-P-D) derived from Human GATA1. |
| Conjugation | Un-conjugated |
| Alternate Names | XLTDA; Eryf1; GATA-1; GF-1; GF1; NF-E1; ERYF1; XLANP; NFE1; GATA-binding factor 1; XLTT; NF-E1 DNA-binding protein; Erythroid transcription factor |
Application Instructions
| Application Suggestion |
|
||||||||
|---|---|---|---|---|---|---|---|---|---|
| Application Note | * The dilutions indicate recommended starting dilutions and the optimal dilutions or concentrations should be determined by the scientist. |
Properties
| Form | Liquid |
|---|---|
| Purification | Antibodies were produced by immunizing rabbits with KLH-conjugated synthetic phosphopeptide. Antibodies were purified by affinity-chromatography using epitope-specific phosphopeptide. In addition, non-phospho specific antibodies were removed by chromatogramphy using non-phosphopeptide. |
| Buffer | PBS (without Mg2+ and Ca2+, pH 7.4), 150mM NaCl, 0.02% Sodium azide and 50% Glycerol. |
| Preservative | 0.02% Sodium azide |
| Stabilizer | 50% Glycerol |
| Concentration | 1 mg/ml |
| Storage Instruction | For continuous use, store undiluted antibody at 2-8°C for up to a week. For long-term storage, aliquot and store at -20°C. Storage in frost free freezers is not recommended. Avoid repeated freeze/thaw cycles. Suggest spin the vial prior to opening. The antibody solution should be gently mixed before use. |
| Note | For laboratory research only, not for drug, diagnostic or other use. |
Bioinformation
| Database Links | |
|---|---|
| Gene Symbol | GATA1 |
| Gene Full Name | GATA binding protein 1 (globin transcription factor 1) |
| Background | GATA1 encodes a protein which belongs to the GATA family of transcription factors. The protein plays an important role in erythroid development by regulating the switch of fetal hemoglobin to adult hemoglobin. Mutations in this gene have been associated with X-linked dyserythropoietic anemia and thrombocytopenia. |
| Function | Transcriptional activator or repressor which probably serves as a general switch factor for erythroid development. It binds to DNA sites with the consensus sequence 5'-[AT]GATA[AG]-3' within regulatory regions of globin genes and of other genes expressed in erythroid cells. [UniProt] |
| Research Area | Developmental Biology antibody; Gene Regulation antibody |
| Calculated MW | 43 kDa |
| PTM | Highly phosphorylated on serine residues. Phosphorylation on Ser-310 is enhanced on erythroid differentiation. Phosphorylation on Ser-142 promotes sumoylation on Lys-137 (By similarity). Sumoylation on Lys-137 is enhanced by phosphorylation on Ser-142 and by interaction with PIAS4. Sumoylation with SUMO1 has no effect on transcriptional activity (By similarity). Acetylated at 2 conserved lysine-rich motifs by CREBBP in vitro. Acetylation does not affect DNA-binding in vitro but is essential to induce erythroid differentiation and for binding chromatin in vivo (By similarity). Acetylated on Lys-233, Lys-245 Lys-246 by EP300. |
Images (3) Click the Picture to Zoom In
-
ARG51545 anti-GATA1 phospho (Ser142) antibody WB image
Western blot: Extracts from HL60 cells untreated or treated with PMA stained with ARG51545 anti-GATA1 phospho (Ser142) antibody.
-
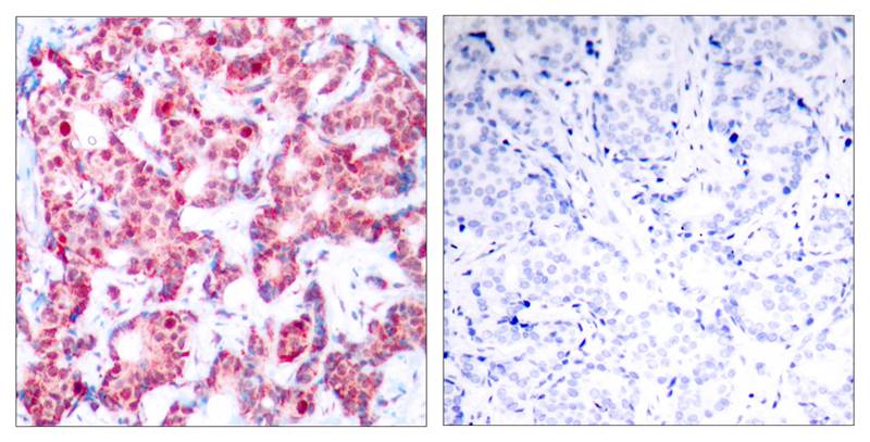
ARG51545 anti-GATA1 phospho (Ser142) antibody IHC-P image
Immunohistochemistry: Paraffin-embedded Human breast carcinoma tissue stained with ARG51545 anti-GATA1 phospho (Ser142) antibody (left) or the same antibody preincubated with blocking peptide (right).
-
ARG51545 anti-GATA1 phospho (Ser142) antibody ICC/IF image
Immunofluorescence: methanol-fixed HeLa cells stained with ARG51545 anti-GATA1 phospho (Ser142) antibody.
