ARG64554
anti-GCC2 / GCC185 antibody
anti-GCC2 / GCC185 antibody for IHC-Formalin-fixed paraffin-embedded sections and Human
Signaling Transduction antibody
Overview
| Product Description | Goat Polyclonal antibody recognizes GCC2 / GCC185 |
|---|---|
| Tested Reactivity | Hu |
| Predict Reactivity | Rat |
| Tested Application | IHC-P |
| Specificity | This antibody is expected to recognise both reported isoforms. |
| Host | Goat |
| Clonality | Polyclonal |
| Isotype | IgG |
| Target Name | GCC2 / GCC185 |
| Antigen Species | Human |
| Immunogen | C-QKLTNKNNKIED |
| Conjugation | Un-conjugated |
| Alternate Names | 185 kDa Golgi coiled-coil protein; Renal carcinoma antigen NY-REN-53; REN53; Ran-binding protein 2-like 4; RANBP2L4; GRIP and coiled-coil domain-containing protein 2; CLL-associated antigen KW-11; RanBP2L4; CTCL tumor antigen se1-1; GCC185 |
Application Instructions
| Application Suggestion |
|
||||
|---|---|---|---|---|---|
| Application Note | IHC-P: Antigen Retrieval: Steam tissue section in Citrate buffer (pH 6.0). * The dilutions indicate recommended starting dilutions and the optimal dilutions or concentrations should be determined by the scientist. |
Properties
| Form | Liquid |
|---|---|
| Purification | Purified from goat serum by antigen affinity chromatography. |
| Buffer | Tris saline (pH 7.3), 0.02% Sodium azide and 0.5% BSA. |
| Preservative | 0.02% Sodium azide |
| Stabilizer | 0.5% BSA |
| Concentration | 0.5 mg/ml |
| Storage Instruction | For continuous use, store undiluted antibody at 2-8°C for up to a week. For long-term storage, aliquot and store at -20°C or below. Storage in frost free freezers is not recommended. Avoid repeated freeze/thaw cycles. Suggest spin the vial prior to opening. The antibody solution should be gently mixed before use. |
| Note | For laboratory research only, not for drug, diagnostic or other use. |
Bioinformation
| Database Links |
Swiss-port # Q8IWJ2 Human GRIP and coiled-coil domain-containing protein 2 |
|---|---|
| Background | The protein encoded by this gene is a peripheral membrane protein localized to the trans-Golgi network. It is sensitive to brefeldin A. This encoded protein contains a GRIP domain which is thought to be used in targeting. Alternative splicing results in multiple transcript variants. [provided by RefSeq, Jul 2009] |
| Research Area | Signaling Transduction antibody |
| Calculated MW | 196 kDa |
Images (3) Click the Picture to Zoom In
-
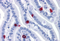
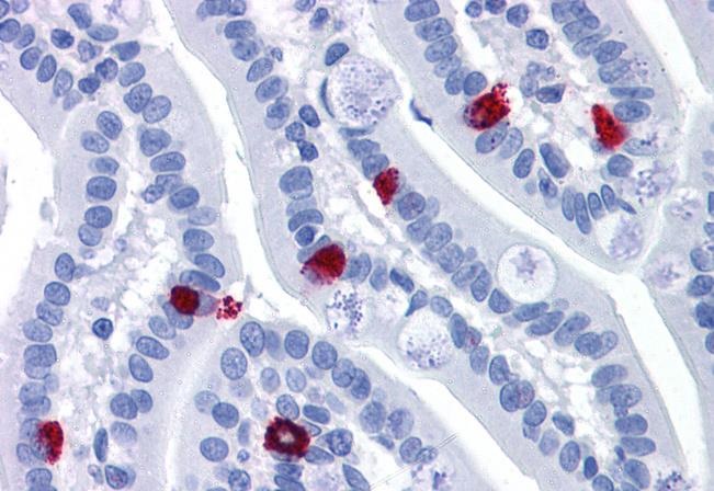
ARG64554 anti-GCC2 / GCC185 antibody IHC-P image
Immunohistochemistry: Paraffin-embedded Human small intestine tissue. Antigen Retrieval: Steam tissue section in Citrate buffer (pH 6.0). The tissue section was stained with ARG64554 anti-GCC2 / GCC185 antibody at 3.75 µg/ml dilution followed by AP-staining.
-
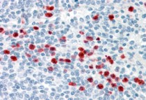
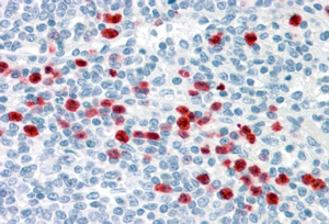
ARG64554 anti-GCC2 / GCC185 antibody IHC-P image
Immunohistochemistry: paraffin embedded Human Spleen. (Steamed antigen retrieval with citrate buffer pH 6) stained with ARG64554 anti-GCC2 / GCC185 antibody at 3.8 µg/ml dilution followed by AP-staining.
-
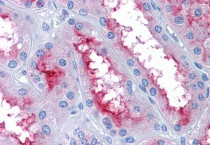
ARG64554 anti-GCC2 / GCC185 antibody IHC-P image
Immunohistochemistry: Paraffin-embedded Human kidney tissue. Antigen Retrieval: Steam tissue section in Citrate buffer (pH 6.0). The tissue section was stained with ARG64554 anti-GCC2 / GCC185 antibody at 3.75 µg/ml dilution followed by AP-staining.
