ARG64624
anti-GCH1 antibody
anti-GCH1 antibody for IHC-Formalin-fixed paraffin-embedded sections,Western blot and Human
Cell Biology and Cellular Response antibody; Metabolism antibody; Neuroscience antibody; Signaling Transduction antibody
Overview
| Product Description | Goat Polyclonal antibody recognizes GCH1 |
|---|---|
| Tested Reactivity | Hu |
| Predict Reactivity | Ms, Rat |
| Tested Application | IHC-P, WB |
| Specificity | This antibody is expected to recognize all four isoforms (NP_000152.1 ; NP_001019195.1 ; NP_001019241.1 ; NP_001019242.1) |
| Host | Goat |
| Clonality | Polyclonal |
| Isotype | IgG |
| Target Name | GCH1 |
| Antigen Species | Human |
| Immunogen | C-GKVHIGYLPNKQ |
| Conjugation | Un-conjugated |
| Alternate Names | DYT14; HPABH4B; GTPCH1; GCH; GTP cyclohydrolase 1; GTP-CH-1; DYT5; GTP cyclohydrolase I; GTP-CH-I; DYT5a; EC 3.5.4.16 |
Application Instructions
| Application Suggestion |
|
||||||
|---|---|---|---|---|---|---|---|
| Application Note | WB: Recommend incubate at RT for 1h. IHC-P: Antigen Retrieval: Steam tissue section in Citrate buffer (pH 6.0). * The dilutions indicate recommended starting dilutions and the optimal dilutions or concentrations should be determined by the scientist. |
Properties
| Form | Liquid |
|---|---|
| Purification | Purified from goat serum by antigen affinity chromatography. |
| Buffer | Tris saline (pH 7.3), 0.02% Sodium azide and 0.5% BSA. |
| Preservative | 0.02% Sodium azide |
| Stabilizer | 0.5% BSA |
| Concentration | 0.5 mg/ml |
| Storage Instruction | For continuous use, store undiluted antibody at 2-8°C for up to a week. For long-term storage, aliquot and store at -20°C or below. Storage in frost free freezers is not recommended. Avoid repeated freeze/thaw cycles. Suggest spin the vial prior to opening. The antibody solution should be gently mixed before use. |
| Note | For laboratory research only, not for drug, diagnostic or other use. |
Bioinformation
| Database Links | |
|---|---|
| Background | This gene encodes a member of the GTP cyclohydrolase family. The encoded protein is the first and rate-limiting enzyme in tetrahydrobiopterin (BH4) biosynthesis, catalyzing the conversion of GTP into 7,8-dihydroneopterin triphosphate. BH4 is an essential cofactor required by aromatic amino acid hydroxylases as well as nitric oxide synthases. Mutations in this gene are associated with malignant hyperphenylalaninemia and dopa-responsive dystonia. Several alternatively spliced transcript variants encoding different isoforms have been described; however, not all variants give rise to a functional enzyme. [provided by RefSeq, Jul 2008] |
| Research Area | Cell Biology and Cellular Response antibody; Metabolism antibody; Neuroscience antibody; Signaling Transduction antibody |
| Calculated MW | 28 kDa |
| PTM | Phosphorylated by casein kinase II at Ser-81 in HAECs during oscillatory shear stress; phosphorylation at Ser-81 results in increased enzyme activity. |
Images (3) Click the Picture to Zoom In
-
ARG64624 anti-GCH1 antibody WB image
Western Blot: Human Tonsil lysate (35 µg protein in RIPA buffer) stained with ARG64624 anti-GCH1 antibody at 0.5 µg/ml dilution.
-
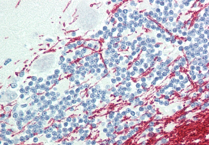
ARG64624 anti-GCH1 antibody IHC-P image
Immunohistochemistry: Paraffin-embedded Human cerebellum tissue. Antigen Retrieval: Steam tissue section in Citrate buffer (pH 6.0). The tissue section was stained with ARG64624 anti-GCH1 antibody at 5 µg/ml dilution followed by AP-staining.
-
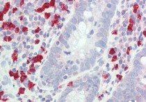
ARG64624 anti-GCH1 antibody IHC-P image
Immunohistochemistry: Paraffin-embedded Human small intestine tissue. Antigen Retrieval: Steam tissue section in Citrate buffer (pH 6.0). The tissue section was stained with ARG64624 anti-GCH1 antibody at 5 µg/ml dilution followed by AP-staining.
