ARG40417
anti-GCM1 antibody
anti-GCM1 antibody for IHC-Formalin-fixed paraffin-embedded sections,Western blot and Human
Overview
| Product Description | Rabbit Polyclonal antibody recognizes GCM1 |
|---|---|
| Tested Reactivity | Hu |
| Predict Reactivity | Ms, Rat, Dog |
| Tested Application | IHC-P, WB |
| Host | Rabbit |
| Clonality | Polyclonal |
| Isotype | IgG |
| Target Name | GCM1 |
| Antigen Species | Human |
| Immunogen | Synthetic peptide around the N-terminal region of Human GCM1 (within the following region: MEPDDFDSEDKEILSWDINDVKLPQNVKKTDWFQEWPDSYAKHIYSSEDK). |
| Conjugation | Un-conjugated |
| Alternate Names | GCMA; hGCMa; Glial cells missing homolog 1; Chorion-specific transcription factor GCMa; GCM motif protein 1 |
Application Instructions
| Predict Reactivity Note | Predicted Homology Based On Immunogen Sequence: Mouse: 78%; Rat: 78%; Dog: 78% | ||||||
|---|---|---|---|---|---|---|---|
| Application Suggestion |
|
||||||
| Application Note | * The dilutions indicate recommended starting dilutions and the optimal dilutions or concentrations should be determined by the scientist. | ||||||
| Observed Size | ~ 53 kDa |
Properties
| Form | Liquid |
|---|---|
| Purification | Affinity purified. |
| Buffer | PBS, 0.09% (w/v) Sodium azide and 2% Sucrose. |
| Preservative | 0.09% (w/v) Sodium azide |
| Stabilizer | 2% Sucrose |
| Concentration | Batch dependent: 0.5 - 1 mg/ml |
| Storage Instruction | For continuous use, store undiluted antibody at 2-8°C for up to a week. For long-term storage, aliquot and store at -20°C or below. Storage in frost free freezers is not recommended. Avoid repeated freeze/thaw cycles. Suggest spin the vial prior to opening. The antibody solution should be gently mixed before use. |
| Note | For laboratory research only, not for drug, diagnostic or other use. |
Bioinformation
| Database Links |
Swiss-port # Q9NP62 Human Chorion-specific transcription factor GCMa |
|---|---|
| Gene Symbol | GCM1 |
| Gene Full Name | glial cells missing homolog 1 (Drosophila) |
| Background | This gene encodes a DNA-binding protein with a gcm-motif (glial cell missing motif). The encoded protein is a homolog of the Drosophila glial cells missing gene (gcm). This protein binds to the GCM-motif (A/G)CCCGCAT, a novel sequence among known targets of DNA-binding proteins. The N-terminal DNA-binding domain confers the unique DNA-binding activity of this protein. [provided by RefSeq, Jul 2008] |
| Function | Transcription factor that is necessary for placental development. Binds to the trophoblast-specific element 2 (TSE2) of the aromatase gene enhancer. [UniProt] |
| Cellular Localization | Nucleus. [UniProt] |
| Calculated MW | 49 kDa |
| PTM | Polyubiquitinated in the presence of UBE2D2 and FBXW2 (in vitro). [UniProt] |
Images (3) Click the Picture to Zoom In
-
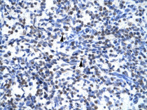
ARG40417 anti-GCM1 antibody IHC-P image
Immunohistochemistry: Paraffin-embedded Human spleen tissue stained with ARG40417 anti-GCM1 antibody.
-
ARG40417 anti-GCM1 antibody WB image
Western blot: 293T cell lysate stained with ARG40417 anti-GCM1 antibody at 1 µg/ml dilution.
-
ARG40417 anti-GCM1 antibody IHC-P image
Immunohistochemistry: Paraffin-embedded Human lung tissue stained with ARG40417 anti-GCM1 antibody.
