ARG59192
anti-GDA antibody
anti-GDA antibody for IHC-Formalin-fixed paraffin-embedded sections,Western blot and Human,Mouse,Rat
Overview
| Product Description | Rabbit Polyclonal antibody recognizes GDA |
|---|---|
| Tested Reactivity | Hu, Ms, Rat |
| Tested Application | IHC-P, WB |
| Host | Rabbit |
| Clonality | Polyclonal |
| Isotype | IgG |
| Target Name | GDA |
| Antigen Species | Human |
| Immunogen | Recombinant protein corresponding to E220-Q446 of Human GDA. |
| Conjugation | Un-conjugated |
| Alternate Names | Guanine aminohydrolase; GUANASE; p51-nedasin; Guanine aminase; Guanase; EC 3.5.4.3; Guanine deaminase; CYPIN; NEDASIN; GAH |
Application Instructions
| Application Suggestion |
|
||||||
|---|---|---|---|---|---|---|---|
| Application Note | IHC-P: Antigen Retrieval: Heat mediated was performed in Citrate buffer (pH 6.0) for 20 min. * The dilutions indicate recommended starting dilutions and the optimal dilutions or concentrations should be determined by the scientist. |
Properties
| Form | Liquid |
|---|---|
| Purification | Affinity purification with immunogen. |
| Buffer | 0.9% NaCl, 0.2% Na2HPO4, 0.05% Sodium azide and 4% Trehalose. |
| Preservative | 0.05% Sodium azide |
| Stabilizer | 4% Trehalose |
| Concentration | 0.5 mg/ml |
| Storage Instruction | For continuous use, store undiluted antibody at 2-8°C for up to a week. For long-term storage, aliquot and store at -20°C or below. Storage in frost free freezers is not recommended. Avoid repeated freeze/thaw cycles. Suggest spin the vial prior to opening. The antibody solution should be gently mixed before use. |
| Note | For laboratory research only, not for drug, diagnostic or other use. |
Bioinformation
| Database Links | |
|---|---|
| Gene Symbol | GDA |
| Gene Full Name | guanine deaminase |
| Background | This gene encodes an enzyme responsible for the hydrolytic deamination of guanine. Studies in rat ortholog suggest this gene plays a role in microtubule assembly. Multiple transcript variants encoding different isoforms have been found for this gene. [provided by RefSeq, Nov 2011] |
| Function | Catalyzes the hydrolytic deamination of guanine, producing xanthine and ammonia. [UniProt] |
| Calculated MW | 51 kDa |
Images (4) Click the Picture to Zoom In
-
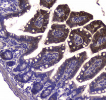
ARG59192 anti-GDA antibody IHC-P image
Immunohistochemistry: Paraffin-embedded Human colon cancer tissue. Antigen Retrieval: Heat mediated was performed in Citrate buffer (pH 6.0, epitope retrieval solution) for 20 min. The tissue section was blocked with 10% goat serum. The tissue section was then stained with ARG59192 anti-GDA antibody at 1 µg/ml dilution, overnight at 4°C.
-
ARG59192 anti-GDA antibody WB image
Western blot: 50 µg of samples under reducing conditions. Rat brain, Rat liver, Rat small intestine, Mouse brain, Mouse liver, Mouse small intestine lysates stained with ARG59192 anti-GDA antibody at 0.5 µg/ml, overnight at 4°C.
-
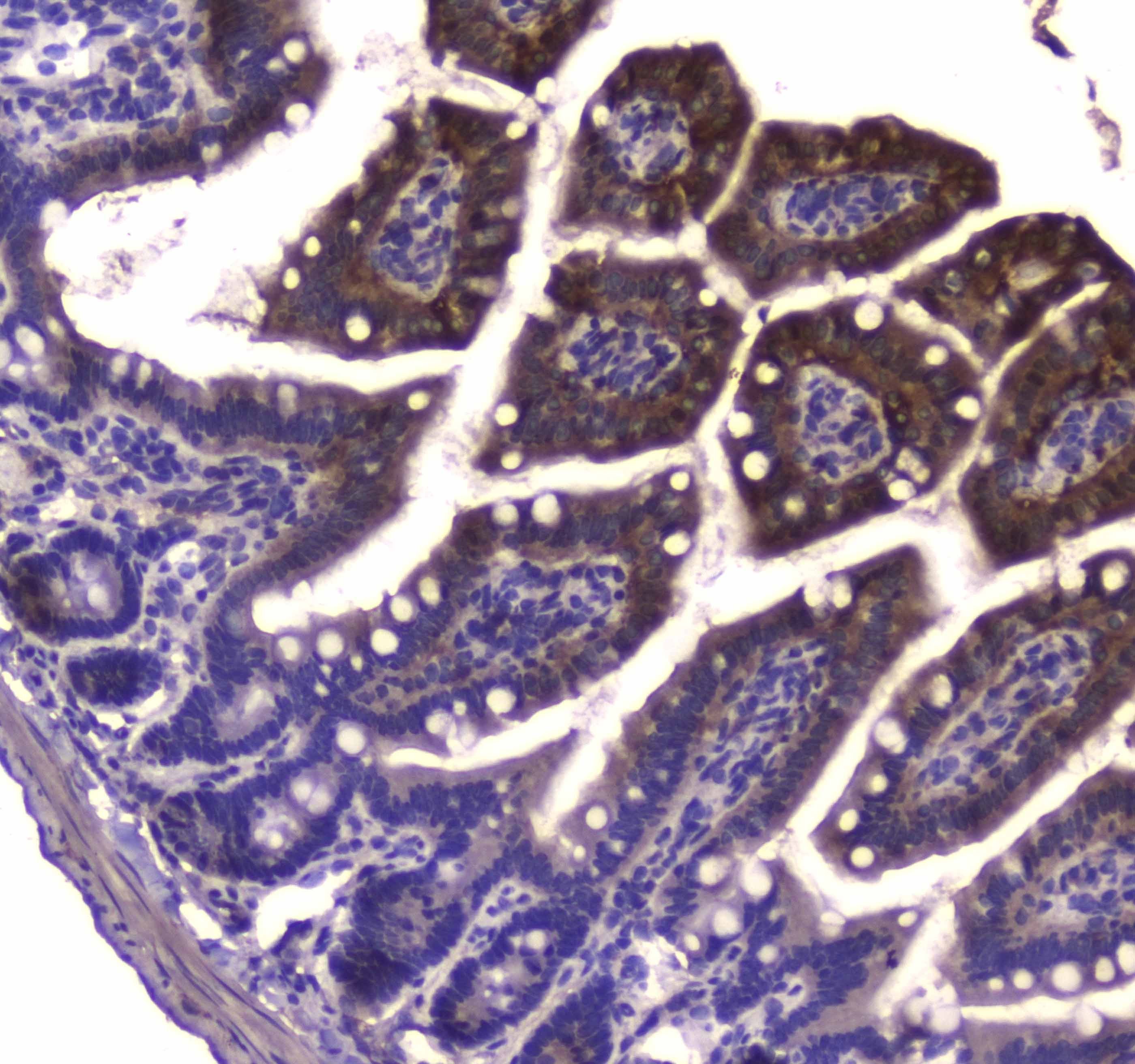
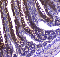
ARG59192 anti-GDA antibody IHC-P image
Immunohistochemistry: Paraffin-embedded Mouse small intestine tissue. Antigen Retrieval: Heat mediated was performed in Citrate buffer (pH 6.0, epitope retrieval solution) for 20 min. The tissue section was blocked with 10% goat serum. The tissue section was then stained with ARG59192 anti-GDA antibody at 1 µg/ml dilution, overnight at 4°C.
-
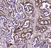
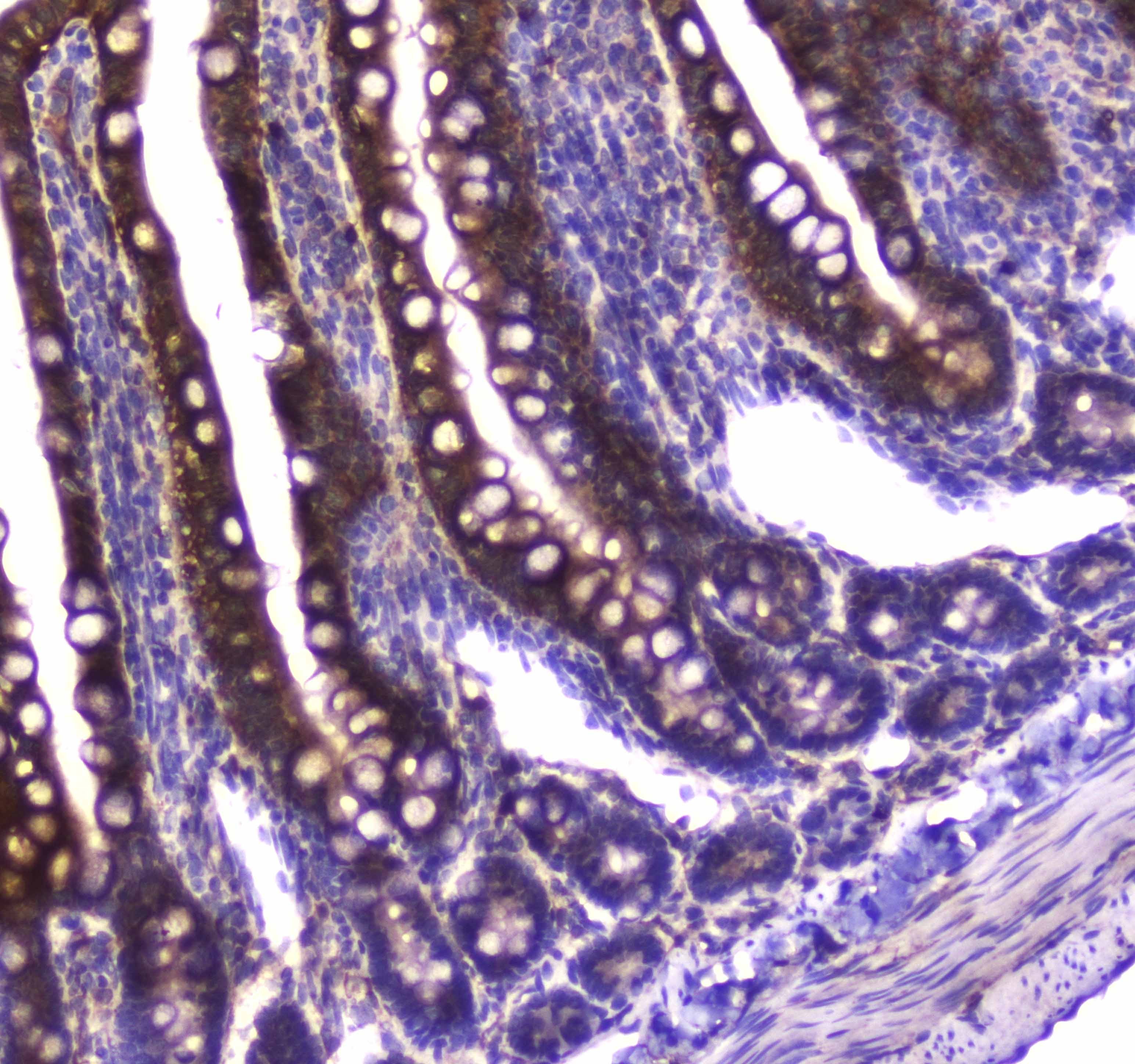
ARG59192 anti-GDA antibody IHC-P image
Immunohistochemistry: Paraffin-embedded Rat small intestine tissue. Antigen Retrieval: Heat mediated was performed in Citrate buffer (pH 6.0, epitope retrieval solution) for 20 min. The tissue section was blocked with 10% goat serum. The tissue section was then stained with ARG59192 anti-GDA antibody at 1 µg/ml dilution, overnight at 4°C.
