ARG66102
anti-GDF3 antibody
anti-GDF3 antibody for ELISA,IHC-Formalin-fixed paraffin-embedded sections and Human
Overview
| Product Description | Rabbit Polyclonal antibody recognizes GDF3 |
|---|---|
| Tested Reactivity | Hu |
| Tested Application | ELISA, IHC-P |
| Host | Rabbit |
| Clonality | Polyclonal |
| Isotype | IgG |
| Target Name | GDF3 |
| Antigen Species | Human |
| Immunogen | E. coli derived recombinant Human GDF3. (AAIPVPKLSC KNLCHRHQLF INFRDLGWHK WIIAPKGFMA NYCHGECPFS LTISLNSSNY AFMQALMHAV DPEIPQAVCI PTKLSPISML YQDNNDNVIL RHYEDMVVDE CGCG) |
| Conjugation | Un-conjugated |
| Alternate Names | GDF-3; MCOP7; Growth/differentiation factor 3; KFS3; MCOPCB6 |
Application Instructions
| Application Suggestion |
|
||||||
|---|---|---|---|---|---|---|---|
| Application Note | IHC-P: Antigen Retrieval: Boil tissue section in Sodium Citrate buffer (pH 6.0) followed by cooling at RT for 20 min. * The dilutions indicate recommended starting dilutions and the optimal dilutions or concentrations should be determined by the scientist. |
Properties
| Form | Liquid |
|---|---|
| Purification | Affinity purification with immunogen. |
| Buffer | PBS (pH 7.2) |
| Concentration | 1 mg/ml |
| Storage Instruction | For continuous use, store undiluted antibody at 2-8°C for up to a week. For long-term storage, aliquot and store at -20°C or below. Storage in frost free freezers is not recommended. Avoid repeated freeze/thaw cycles. Suggest spin the vial prior to opening. The antibody solution should be gently mixed before use. |
| Note | For laboratory research only, not for drug, diagnostic or other use. |
Bioinformation
| Database Links | |
|---|---|
| Gene Symbol | GDF3 |
| Gene Full Name | growth differentiation factor 3 |
| Background | The protein encoded by this gene is a member of the bone morphogenetic protein (BMP) family and the TGF-beta superfamily. This group of proteins is characterized by a polybasic proteolytic processing site which is cleaved to produce a mature protein containing seven conserved cysteine residues. The members of this family are regulators of cell growth and differentiation in both embryonic and adult tissues. [provided by RefSeq, Jul 2008] |
| Calculated MW | 41 kDa |
| PTM | Synthesized as large precursor molecule that undergo proteolytic cleavage, releasing the pro-domain from the active, receptor binding, C-terminal region of the molecule. |
Images (2) Click the Picture to Zoom In
-
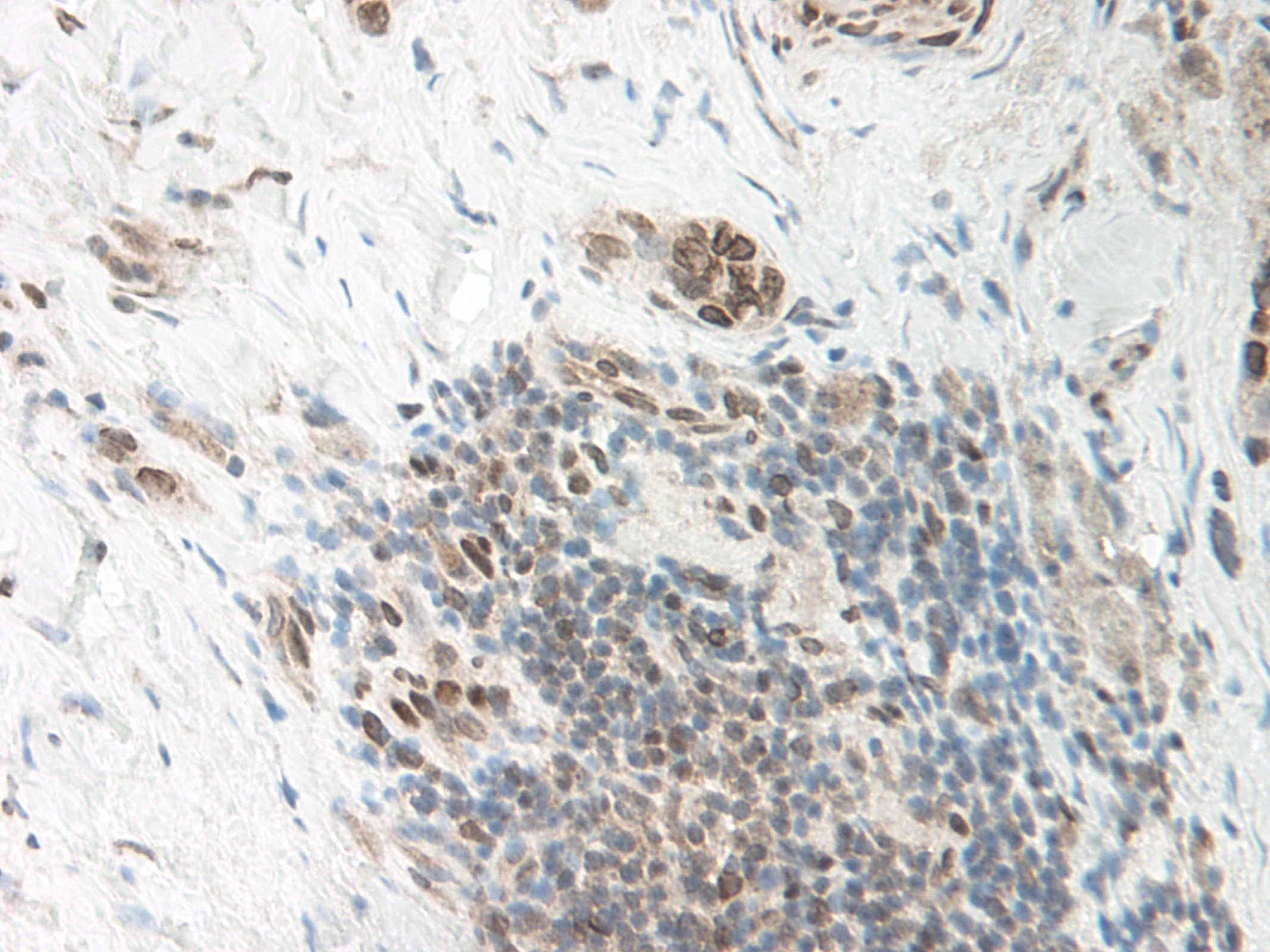
ARG66102 anti-GDF3 antibody IHC-P image
Immunohistochemistry: Formalin-fixed and paraffin-embedded sections of Human breast invasive ductal carcinoma. The recommended ARG66102 anti-GDF3 antibody concentration is 0.125 µg/ml with an overnight incubation at 4°C. An HRP-labeled polymer detection system was used with a DAB chromogen. Antigen Retrieval: Boil tissue section in Sodium Citrate buffer (pH 6.0) followed by cooling at RT for 20 min.
-
ARG66102 anti-GDF3 antibody standard curve image
Sandwich ELISA: ARG66102 anti-GDF3 antibody as a capture antibody at 0.5 - 2.0 µg/ml combined with ARG66103 anti-GDF3 antibody (Biotin) as a detection antibody. Results of a typical standard run with optical density reading at 405 - 650 nm.
