ARG44667
anti-GFAP antibody
anti-GFAP antibody for ELISA,IHC-Formalin-fixed paraffin-embedded sections,Immunoprecipitation,Western blot and Human,Mouse,Rat
Overview
| Product Description | Mouse Monoclonal antibody recognizes GFAP |
|---|---|
| Tested Reactivity | Hu, Ms, Rat |
| Tested Application | ELISA, IHC-P, IP, WB |
| Host | Mouse |
| Clonality | Monoclonal |
| Isotype | IgG2a |
| Target Name | GFAP |
| Antigen Species | Human |
| Conjugation | Un-conjugated |
| Alternate Names | GFAP; Glial Fibrillary Acidic Protein; FLJ45472; Intermediate Filament Protein; ALXDRD |
Application Instructions
| Application Suggestion |
|
||||||||||
|---|---|---|---|---|---|---|---|---|---|---|---|
| Application Note | * The dilutions indicate recommended starting dilutions and the optimal dilutions or concentrations should be determined by the scientist. |
Properties
| Form | Liquid |
|---|---|
| Purification | Protein A purification |
| Buffer | PBS with 0.09% sodium azide |
| Storage Instruction | For continuous use, store undiluted antibody at 2-8°C for up to a week. For long-term storage, aliquot and store at -20°C or below. Storage in frost free freezers is not recommended. Avoid repeated freeze/thaw cycles. Suggest spin the vial prior to opening. The antibody solution should be gently mixed before use. |
| Note | For laboratory research only, not for drug, diagnostic or other use. |
Bioinformation
| Database Links | |
|---|---|
| Gene Symbol | GFAP |
| Gene Full Name | Glial Fibrillary Acidic Protein |
| Background | This gene encodes one of the major intermediate filament proteins of mature astrocytes. It is used as a marker to distinguish astrocytes from other glial cells during development. Mutations in this gene cause Alexander disease, a rare disorder of astrocytes in the central nervous system. Alternative splicing results in multiple transcript variants encoding distinct isoforms. [provided by RefSeq, Oct 2008] |
| Function | GFAP, a class-III intermediate filament, is a cell-specific marker that, during the development of the central nervous system, distinguishes astrocytes from other glial cells. [UniProt] |
| Cellular Localization | Cytoplasm, Intermediate filament. [UniProt] |
| Calculated MW | 50 kDa |
| PTM | Citrullination, Methylation, Phosphoprotein. [UniProt] |
Images (4) Click the Picture to Zoom In
-
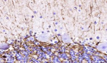
ARG44667 anti-GFAP antibody IHC-P image
Immunohistochemistry: Human Cerebellum stained with ARG44667 anti-GFAP antibody at 7.5 µg/mL dilution.
-
ARG44667 anti-GFAP antibody WB image
Western blot: Rat Brain stained with ARG44667 anti-GFAP antibody at 1 µg/mL dilution.
-
ARG44667 anti-GFAP antibody IP image
Immunoprecipitation: Rat Brain lysate immunoprecipitated with 2.5 µg of ARG44667 anti-GFAP antibody.
-
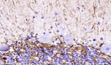
ARG44667 anti-GFAP antibody IHC-P image
Immunohistochemistry: Mouse Hippocampus stained with ARG44667 anti-GFAP antibody at 5 µg/mL dilution.
