ARG55727
anti-GFP antibody
anti-GFP antibody for ICC/IF,IHC-Frozen sections,IHC-Formalin-fixed paraffin-embedded sections,Western blot and Other
Controls and Markers antibody; Tag Internal Control antibody; Fluorescent-Tags antibody
Overview
| Product Description | Goat Polyclonal antibody recognizes GFP |
|---|---|
| Tested Reactivity | Other |
| Tested Application | ICC/IF, IHC-Fr, IHC-P, WB |
| Specificity | This antibody does recognize YFP and CFP and does not recognize RFP and mCherry fluorescent proteins. |
| Host | Goat |
| Clonality | Polyclonal |
| Isotype | IgG |
| Target Name | GFP |
| Immunogen | Purified recombinant peptide produced in E. coli |
| Conjugation | Un-conjugated |
| Alternate Names | green fluorescent protein |
Application Instructions
| Application Suggestion |
|
||||||||||
|---|---|---|---|---|---|---|---|---|---|---|---|
| Application Note | * The dilutions indicate recommended starting dilutions and the optimal dilutions or concentrations should be determined by the scientist. |
Properties
| Form | Liquid |
|---|---|
| Purification | Affinity purification with immunogen. |
| Buffer | PBS, 0.05% Sodium azide and 20% Glycerol |
| Preservative | 0.05% Sodium azide |
| Stabilizer | 20% Glycerol |
| Concentration | 2 mg/ml |
| Storage Instruction | For continuous use, store undiluted antibody at 2-8°C for up to a week. For long-term storage, aliquot and store at -20°C. Storage in frost free freezers is not recommended. Avoid repeated freeze/thaw cycles. Suggest spin the vial prior to opening. The antibody solution should be gently mixed before use. |
| Note | For laboratory research only, not for drug, diagnostic or other use. |
Bioinformation
| Research Area | Controls and Markers antibody; Tag Internal Control antibody; Fluorescent-Tags antibody |
|---|
Images (2) Click the Picture to Zoom In
-
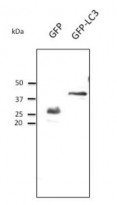
ARG55727 anti-GFP antibody WB image
Western blot: 50 µg of HEK293 cell lysates stained with ARG55727 anti-GFP antibody at 1:1000 dilution. CEDOC/FCM - NOVA University of Lisbon, Portugal.
-
ARG55727 anti-GFP antibody ICC/IF image
Immunocytochemistry: AtT20 transfected with GFP-Rab27a and stained with ARG55727 anti-GFP antibody. Faculty of Medicine/IBILI - University of Coimbra.
