ARG41221
anti-GGPS1 antibody
anti-GGPS1 antibody for IHC-Formalin-fixed paraffin-embedded sections,Western blot and Human
Overview
| Product Description | Rabbit Polyclonal antibody recognizes GGPS1 |
|---|---|
| Tested Reactivity | Hu |
| Predict Reactivity | Ms, Rat, Bov |
| Tested Application | IHC-P, WB |
| Host | Rabbit |
| Clonality | Polyclonal |
| Isotype | IgG |
| Target Name | GGPS1 |
| Antigen Species | Human |
| Immunogen | KLH-conjugated synthetic peptide corresponding to aa. 16-46 of Human GGPS1. |
| Conjugation | Un-conjugated |
| Alternate Names | Farnesyltranstransferase; Geranylgeranyl pyrophosphate synthase; Geranylgeranyl diphosphate synthase; GGPP synthase; Farnesyl diphosphate synthase; GGPPS1; EC 2.5.1.-; EC 2.5.1.10; GGPPS; EC 2.5.1.29; Geranyltranstransferase; GGPPSase; EC 2.5.1.1; 2E,6E; Dimethylallyltranstransferase |
Application Instructions
| Application Suggestion |
|
||||||
|---|---|---|---|---|---|---|---|
| Application Note | * The dilutions indicate recommended starting dilutions and the optimal dilutions or concentrations should be determined by the scientist. | ||||||
| Positive Control | Jurkat | ||||||
| Observed Size | 32 kDa |
Properties
| Form | Liquid |
|---|---|
| Purification | Purification with Protein G. |
| Buffer | PBS and 0.09% (W/V) Sodium azide. |
| Preservative | 0.09% (W/V) Sodium azide. |
| Storage Instruction | For continuous use, store undiluted antibody at 2-8°C for up to a week. For long-term storage, aliquot and store at -20°C or below. Storage in frost free freezers is not recommended. Avoid repeated freeze/thaw cycles. Suggest spin the vial prior to opening. The antibody solution should be gently mixed before use. |
| Note | For laboratory research only, not for drug, diagnostic or other use. |
Bioinformation
| Database Links |
Swiss-port # O95749 Human Geranylgeranyl pyrophosphate synthase |
|---|---|
| Gene Symbol | GGPS1 |
| Gene Full Name | geranylgeranyl diphosphate synthase 1 |
| Background | This gene is a member of the prenyltransferase family and encodes a protein with geranylgeranyl diphosphate (GGPP) synthase activity. The enzyme catalyzes the synthesis of GGPP from farnesyl diphosphate and isopentenyl diphosphate. GGPP is an important molecule responsible for the C20-prenylation of proteins and for the regulation of a nuclear hormone receptor. Alternate transcriptional splice variants, both protein-coding and non-protein-coding, have been found for this gene. [provided by RefSeq, Sep 2010] |
| Function | Catalyzes the trans-addition of the three molecules of IPP onto DMAPP to form geranylgeranyl pyrophosphate, an important precursor of carotenoids and geranylated proteins. [UniProt] |
| Cellular Localization | Cytoplasm. [UniProt] |
| Calculated MW | 35 kDa |
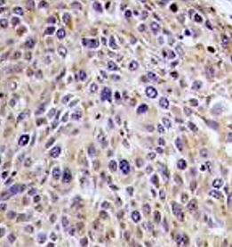
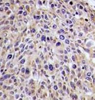
Images (2) Click the Picture to Zoom In
-
ARG41221 anti-GGPS1 antibody IHC-P image
Immunohistochemistry: Formalin-fixed and paraffin-embedded Human hepatocarcinoma tissue stained with ARG41221 anti-GGPS1 antibody.
-
ARG41221 anti-GGPS1 antibody WB image
Western blot: 20 ug of Jurkat whole cell lysate stained with ARG41221 anti-GGPS1 antibody at 1:1000 dilution.
