ARG44089
anti-GHRH antibody
anti-GHRH antibody for IHC-Formalin-fixed paraffin-embedded sections,Western blot and Human,Mouse,Rat
Overview
| Product Description | Rabbit Polyclonal recognizes GHRH |
|---|---|
| Tested Reactivity | Hu, Ms, Rat |
| Tested Application | IHC-P, WB |
| Host | Rabbit |
| Clonality | Polyclonal |
| Isotype | IgG |
| Target Name | GHRH |
| Antigen Species | Human |
| Immunogen | Human GHRH recombinant protein (Position: Y32-L75). |
| Conjugation | Un-conjugated |
| Alternate Names | Sermorelin; Somatoliberin; Growth hormone-releasing hormone; Growth hormone-releasing factor; GHRF; GRF; INN; GHRH; Somatocrinin; Somatorelin |
Application Instructions
| Application Suggestion |
|
||||||
|---|---|---|---|---|---|---|---|
| Application Note | The dilutions indicate recommended starting dilutions and the optimal dilutions or concentrations should be determined by the scientist. |
Properties
| Form | Liquid |
|---|---|
| Purification | Affinity purification with immunogen. |
| Buffer | 0.9% NaCl, 0.2% Na2HPO4, 0.05% Sodium azide and 4% Trehalose. |
| Preservative | 0.05% Sodium azide |
| Stabilizer | 4% Trehalose |
| Concentration | 0.5 mg/ml |
| Storage Instruction | For continuous use, store undiluted antibody at 2-8°C for up to a week. For long-term storage, aliquot and store at -20°C or below. Storage in frost free freezers is not recommended. Avoid repeated freeze/thaw cycles. Suggest spin the vial prior to opening. The antibody solution should be gently mixed before use. |
| Note | For laboratory research only, not for drug, diagnostic or other use. |
Bioinformation
| Database Links | |
|---|---|
| Gene Symbol | GHRH |
| Gene Full Name | growth hormone releasing hormone |
| Background | The protein encoded by this gene belongs to the glucagon family and is a preproprotein that is produced in the hypothalamus. The preproprotein is cleaved to form a 44 aa factor, also called somatocrinin, that acts to stimulate growth hormone release from the pituitary. Variant receptors for somatocrinin have been found in several types of tumors, and antagonists of these receptors can inhibit the growth of the tumors. Defects in this gene are a cause of dwarfism, while hypersecretion of the encoded protein is a cause of gigantism. [provided by RefSeq, Jul 2008] |
| Function | GRF is released by the hypothalamus and acts on the adenohypophyse to stimulate the secretion of growth hormone. [UniProt] |
| Cellular Localization | Secreted. [UniProt] |
| Calculated MW | 12 kDa |
Images (4) Click the Picture to Zoom In
-
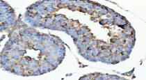
ARG44089 anti-GHRH antibody IHC-P image
Immunohistochemistry: Rat testis stained with ARG44089 anti-GHRH antibody at 2 μg/ml dilution.
-
ARG44089 anti-GHRH antibody WB image
Western blot: Rat lung stained with ARG44089 anti-GHRH antibody at 0.5 μg/mL dilution.
-
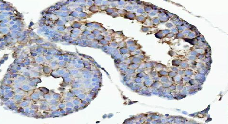
ARG44089 anti-GHRH antibody IHC-P image
Immunohistochemistry: Mouse testis stained with ARG44089 anti-GHRH antibody at 2 μg/ml dilution.
-
ARG44089 anti-GHRH antibody WB image
Western blot: Mouse lung stained with ARG44089 anti-GHRH antibody at 0.5 μg/mL dilution.
