ARG57115
anti-GIPC antibody [1G10]
anti-GIPC antibody [1G10] for Flow cytometry,Western blot and Human
Overview
| Product Description | Mouse Monoclonal antibody [1G10] recognizes GIPC |
|---|---|
| Tested Reactivity | Hu |
| Tested Application | FACS, WB |
| Host | Mouse |
| Clonality | Monoclonal |
| Clone | 1G10 |
| Isotype | IgG1, kappa |
| Target Name | GIPC |
| Antigen Species | Human |
| Immunogen | Recombinant fragment around aa. 1-315 of Human GIPC |
| Conjugation | Un-conjugated |
| Alternate Names | PDZ domain-containing protein GIPC2; SEMCAP2; SEMCAP-2 |
Application Instructions
| Application Suggestion |
|
||||||
|---|---|---|---|---|---|---|---|
| Application Note | * The dilutions indicate recommended starting dilutions and the optimal dilutions or concentrations should be determined by the scientist. |
Properties
| Form | Liquid |
|---|---|
| Purification | Purification with Protein G. |
| Buffer | PBS (pH 7.4), 0.02% Sodium azide and 10% Glycerol. |
| Preservative | 0.02% Sodium azide |
| Stabilizer | 10% Glycerol |
| Concentration | 1 mg/ml |
| Storage Instruction | For continuous use, store undiluted antibody at 2-8°C for up to a week. For long-term storage, aliquot and store at -20°C. Storage in frost free freezers is not recommended. Avoid repeated freeze/thaw cycles. Suggest spin the vial prior to opening. The antibody solution should be gently mixed before use. |
| Note | For laboratory research only, not for drug, diagnostic or other use. |
Bioinformation
| Database Links |
Swiss-port # Q8TF65 Human PDZ domain-containing protein GIPC2 |
|---|---|
| Gene Symbol | GIPC2 |
| Gene Full Name | GIPC PDZ domain containing family, member 2 |
| Calculated MW | 34 kDa |
Images (3) Click the Picture to Zoom In
-
ARG57115 anti-GIPC antibody [1G10] FACS image
Flow Cytometry: HeLa cells stained with ARG57115 anti-GIPC antibody [1G10] at 2-5 µg / 10^6 cells (red). Secondary antibody: Goat anti-Mouse IgG Alexa fluor 488 conjugate. Mouse monoclonal IgG was used as the isotype control (dark gray), cells without incubation with primary and secondary antibody was used as the negative control (light gray).
-
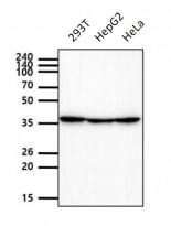
ARG57115 anti-GIPC antibody [1G10] WB image
Western blot: 40 µg of 293T, HepG2 and HeLa cell lysates stained with ARG57115 anti-GIPC antibody [1G10] at 1:1000 dilution.
-
ARG57115 anti-GIPC antibody [1G10] WB image
Western blot: 50 ng of GIPC1 and GIPC2 recombinant protein stained with ARG57115 anti-GIPC antibody [1G10] at 1:1000 dilution.
