ARG45926
anti-GKN1 antibody
anti-GKN1 antibody for IHC-Formalin-fixed paraffin-embedded sections,Western blot and Human,Mouse
Overview
| Product Description | Rabbit Polyclonal antibody recognizes GKN1 |
|---|---|
| Tested Reactivity | Hu, Ms |
| Tested Application | IHC-P, WB |
| Host | Rabbit |
| Clonality | Polyclonal |
| Isotype | IgG |
| Target Name | GKN1 |
| Antigen Species | Human |
| Immunogen | Recombinant protein containing to human GKN1. |
| Conjugation | Un-conjugated |
| Alternate Names | GKN1; Gastrokine 1; AMP18; FOV; Protein CA11; BRICD1; 18 kDa antrum mucosa protein; foveolin; CA11; AMP-18; Gastrokine-1 |
Application Instructions
| Application Suggestion |
|
||||||
|---|---|---|---|---|---|---|---|
| Application Note | * The dilutions indicate recommended starting dilutions and the optimal dilutions or concentrations should be determined by the scientist. | ||||||
| Observed Size | 18 kDa |
Properties
| Form | Liquid |
|---|---|
| Purification | Affinity chromatography purified |
| Buffer | 0.2% Na2HPO4, 0.9% NaCl and 4% Trehalose. |
| Stabilizer | 4% Trehalose |
| Concentration | 0.5 mg/ml |
| Storage Instruction | For continuous use, store undiluted antibody at 2-8°C for up to a week. For long-term storage, aliquot and store at -22°C or below. Storage in frost free freezers is not recommended. Avoid repeated freeze/thaw cycles. Suggest spin the vial prior to opening. The antibody solution should be gently mixed before use. |
| Note | For laboratory research only, not for drug, diagnostic or other use. |
Bioinformation
| Database Links | |
|---|---|
| Gene Symbol | GKN1 |
| Gene Full Name | Gastrokine 1 |
| Background | The protein encoded by this gene is found to be down-regulated in human gastric cancer tissue as compared to normal gastric mucosa. [provided by RefSeq, Jul 2008] |
| Function | Has mitogenic activity and may be involved in maintaining the integrity of the gastric mucosal epithelium. [UniProt] |
| Cellular Localization | Secreted. [UniProt] |
| Calculated MW | 20 kDa |
| PTM | Disulfide bond. [UniProt] |
Images (3) Click the Picture to Zoom In
-
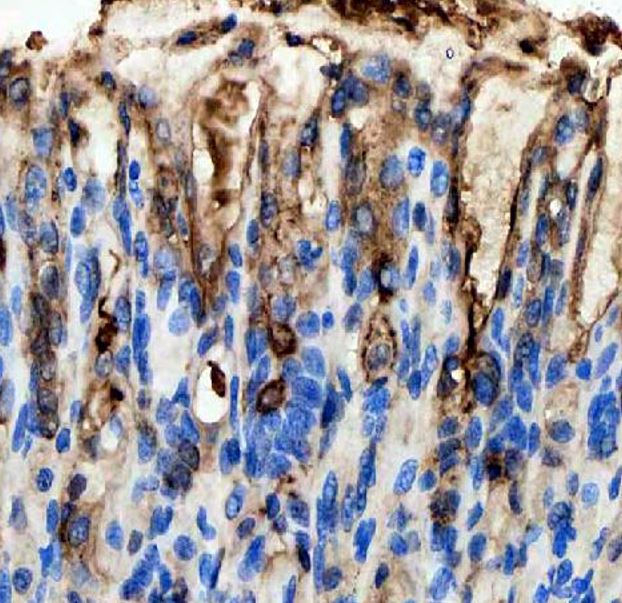
ARG45926 anti-GKN1 antibody IHC-P image
Immunohistochemistry: Human stomach stained with ARG45926 anti-GKN1 antibody at 2 μg/ml dilution.
-
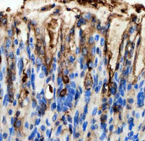
ARG45926 anti-GKN1 antibody IHC-P image
Immunohistochemistry: Mouse stomach stained with ARG45926 anti-GKN1 antibody at 2 μg/ml dilution.
-
ARG45926 anti-GKN1 antibody WB image
Western blot: Mouse stomach stained with ARG45926 anti-GKN1 antibody at 0.5 μg/ml dilution.
