ARG63325
anti-GNIP / TRIM7 antibody
anti-GNIP / TRIM7 antibody for IHC-Formalin-fixed paraffin-embedded sections,Western blot and Human
Cell Biology and Cellular Response antibody
Overview
| Product Description | Goat Polyclonal antibody recognizes GNIP / TRIM7 |
|---|---|
| Tested Reactivity | Hu |
| Tested Application | IHC-P, WB |
| Host | Goat |
| Clonality | Polyclonal |
| Isotype | IgG |
| Target Name | GNIP / TRIM7 |
| Antigen Species | Human |
| Immunogen | C-QAPAGPPWDITEA |
| Conjugation | Un-conjugated |
| Alternate Names | RNF90; GNIP; Tripartite motif-containing protein 7; RING finger protein 90; Glycogenin-interacting protein |
Application Instructions
| Application Suggestion |
|
||||||
|---|---|---|---|---|---|---|---|
| Application Note | IHC-P: Antigen Retrieval: Steam tissue section in Citrate buffer (pH 6.0). WB: Recommend incubate at RT for 1h. * The dilutions indicate recommended starting dilutions and the optimal dilutions or concentrations should be determined by the scientist. |
Properties
| Form | Liquid |
|---|---|
| Purification | Purified from goat serum by antigen affinity chromatography. |
| Buffer | Tris saline (pH 7.3), 0.02% Sodium azide and 0.5% BSA. |
| Preservative | 0.02% Sodium azide |
| Stabilizer | 0.5% BSA |
| Concentration | 0.5 mg/ml |
| Storage Instruction | For continuous use, store undiluted antibody at 2-8°C for up to a week. For long-term storage, aliquot and store at -20°C or below. Storage in frost free freezers is not recommended. Avoid repeated freeze/thaw cycles. Suggest spin the vial prior to opening. The antibody solution should be gently mixed before use. |
| Note | For laboratory research only, not for drug, diagnostic or other use. |
Bioinformation
| Database Links |
Swiss-port # Q9C029 Human Tripartite motif-containing protein 7 |
|---|---|
| Background | The protein encoded by this gene is a member of the tripartite motif (TRIM) family. The TRIM motif includes three zinc-binding domains, a RING, a B-box type 1, a B-box type 2, and a coiled-coil region. The protein localizes to both the nucleus and the cytoplasm, and may represent a participant in the initiation of glycogen synthesis. Multiple transcript variants have been found for this gene, and some of them encode the same isoform. [provided by RefSeq, Jul 2008] |
| Research Area | Cell Biology and Cellular Response antibody |
| Calculated MW | 57 kDa |
Images (2) Click the Picture to Zoom In
-
ARG63325 anti-GNIP / TRIM7 antibody WB image
Western Blot: Human Skeletal Muscle lysate (RIPA buffer, 30µg total protein per lane) stained with ARG63325 anti-GNIP / TRIM7 antibody at 1 µg/ml dilution.
-
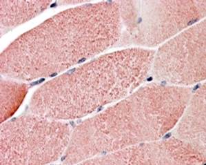
ARG63325 anti-GNIP / TRIM7 antibody IHC-P image
Immunohistochemistry: paraffin embedded Human Skeletal Muscle. (Steamed antigen retrieval with citrate buffer pH 6) stained with ARG63325 anti-GNIP / TRIM7 antibody at 3.8 µg/ml dilution followed by AP-staining.
