ARG66975
anti-GON4L antibody
anti-GON4L antibody for ICC/IF,IHC-Formalin-fixed paraffin-embedded sections,Western blot and Human,Mouse
Overview
| Product Description | Rabbit Polyclonal antibody recognizes GON4L |
|---|---|
| Tested Reactivity | Hu, Ms |
| Predict Reactivity | Rat |
| Tested Application | ICC/IF, IHC-P, WB |
| Host | Rabbit |
| Clonality | Polyclonal |
| Isotype | IgG |
| Target Name | GON4L |
| Antigen Species | Human |
| Immunogen | Synthetic peptide around the middle region of Human GON4L. |
| Conjugation | Un-conjugated |
| Protein Full Name | GON-4-like protein |
| Alternate Names | GON4; YARP; GON-4; GON-4 homolog; KIAA1606 |
Application Instructions
| Application Suggestion |
|
||||||||
|---|---|---|---|---|---|---|---|---|---|
| Application Note | * The dilutions indicate recommended starting dilutions and the optimal dilutions or concentrations should be determined by the scientist. | ||||||||
| Observed Size | ~250-260 kDa |
Properties
| Form | Liquid |
|---|---|
| Purification | Affinity purified. |
| Buffer | 100 mM Tris Glycine (pH 7.0), 0.025% ProClin 300 and 20% Glycerol. |
| Preservative | 0.025% ProClin 300 |
| Stabilizer | 20% Glycerol |
| Storage Instruction | For continuous use, store undiluted antibody at 2-8°C for up to a week. For long-term storage, aliquot and store at -20°C. Storage in frost free freezers is not recommended. Avoid repeated freeze/thaw cycles. Suggest spin the vial prior to opening. The antibody solution should be gently mixed before use. |
| Note | For laboratory research only, not for drug, diagnostic or other use. |
Bioinformation
| Database Links | |
|---|---|
| Gene Symbol | GON4L |
| Gene Full Name | gon-4 like |
| Background | Predicted to enable transcription coregulator activity. Predicted to be involved in regulation of transcription, DNA templated. Predicted to act upstream of or within B cell differentiation. Located in nuclear body. [provided by Alliance of Genome Resources, Apr2022] |
| Function | Has transcriptional repressor activity, probably as part of a complex with YY1, SIN3A and HDAC1. Required for B cell lymphopoiesis. [UniProt] |
| Cellular Localization | Nucleus |
| Calculated MW | 248.6 kDa |
| PTM | Phosphoprotein |
Images (3) Click the Picture to Zoom In
-
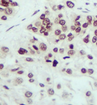
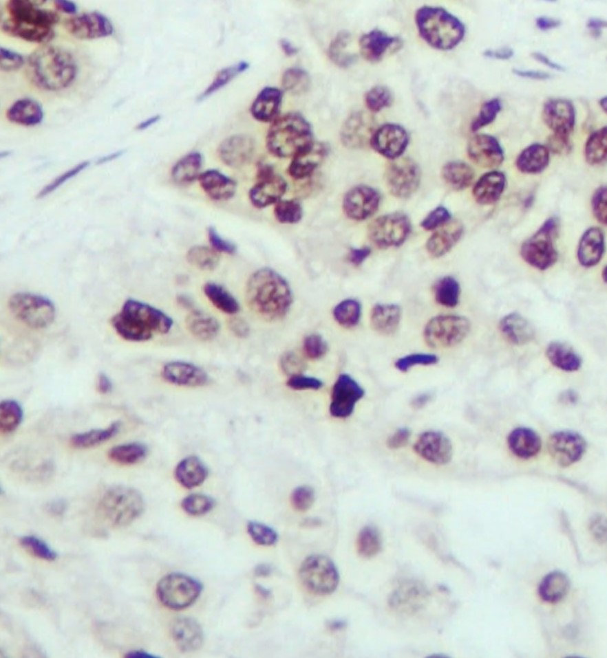
ARG66975 anti-GON4L antibody IHC-P image
Immunohistochemistry: Formalin-fixed and paraffin-embedded mouse testis stained with ARG66975 anti-GON4L antibody IHC-P image at 1:400 dilution.
-
ARG66975 anti-GON4L antibody ICC/IF image
Immunofluorescence: 4% paraformaldehyde-fixed A549 cells were permeabilized with 0.1% NP-40 for 5-10 minutes and blocked with 5% BSA for 30 minutes at room temperature. Cells were stained with ARG66975 anti-GON4L antibody at 1:300 dilution.
-
ARG66975 anti-GON4L antibody WB image
Western blot: A549 cells stained with ARG66975 anti-GON4L antibody at 1:1000 dilution.
