ARG41266
anti-GOSR2 / Membrin antibody
anti-GOSR2 / Membrin antibody for IHC-Formalin-fixed paraffin-embedded sections,Western blot and Human
Overview
| Product Description | Rabbit Polyclonal antibody recognizes GOSR2 / Membrin |
|---|---|
| Tested Reactivity | Hu |
| Tested Application | IHC-P, WB |
| Host | Rabbit |
| Clonality | Polyclonal |
| Isotype | IgG |
| Target Name | GOSR2 / Membrin |
| Antigen Species | Human |
| Immunogen | Recombinant protein corresponding to aa. 1-190 of Human GOSR2 / Membrin. |
| Conjugation | Un-conjugated |
| Alternate Names | Membrin; EPM6; Bos1; Golgi SNAP receptor complex member 2; GS27; 27 kDa Golgi SNARE protein |
Application Instructions
| Application Suggestion |
|
||||||
|---|---|---|---|---|---|---|---|
| Application Note | * The dilutions indicate recommended starting dilutions and the optimal dilutions or concentrations should be determined by the scientist. | ||||||
| Observed Size | 26 kDa |
Properties
| Form | Liquid |
|---|---|
| Purification | Caprylic acid ammonium sulfate precipitation. |
| Buffer | 0.01M PBS (pH 7.4), 0.03% Proclin 300 and 50% Glycerol. |
| Preservative | 0.03% Proclin 300 |
| Stabilizer | 50% Glycerol |
| Storage Instruction | For continuous use, store undiluted antibody at 2-8°C for up to a week. For long-term storage, aliquot and store at -20°C. Storage in frost free freezers is not recommended. Avoid repeated freeze/thaw cycles. Suggest spin the vial prior to opening. The antibody solution should be gently mixed before use. |
| Note | For laboratory research only, not for drug, diagnostic or other use. |
Bioinformation
| Database Links |
Swiss-port # O14653 Human Golgi SNAP receptor complex member 2 |
|---|---|
| Gene Symbol | GOSR2 |
| Gene Full Name | golgi SNAP receptor complex member 2 |
| Background | This gene encodes a trafficking membrane protein which transports proteins among the medial- and trans-Golgi compartments. Due to its chromosomal location and trafficking function, this gene may be involved in familial essential hypertension. Three transcript variants encoding three different isoforms have been found for this gene. [provided by RefSeq, Jul 2008] |
| Function | Involved in transport of proteins from the cis/medial-Golgi to the trans-Golgi network. [UniProt] |
| Cellular Localization | Golgi apparatus, cis-Golgi network membrane; Single-pass type IV membrane protein. Golgi apparatus membrane. Endoplasmic reticulum membrane. Note=Concentrated most in the intermediate compartment/cis-Golgi network and the cis-Golgi cisternae 1 and 2. Greatly reduced in concentration at the trans end of the Golgi apparatus. [UniProt] |
| Calculated MW | 25 kDa |
Images (2) Click the Picture to Zoom In
-
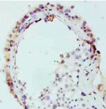
ARG41266 anti-GOSR2 / Membrin antibody IHC-P image
Immunohistochemistry: Paraffin-embedded Human testis tissue stained with ARG41266 anti-GOSR2 / Membrin antibody at 1:100 dilution.
-
ARG41266 anti-GOSR2 / Membrin antibody WB image
Western blot: Jurkat and HepG2 whole cell lysates stained with ARG41266 anti-GOSR2 / Membrin antibody at 4 µg/ml dilution.
