ARG59675
anti-GPX1 antibody
anti-GPX1 antibody for IHC-Formalin-fixed paraffin-embedded sections and Human,Mouse,Rat
Overview
| Product Description | Rabbit Polyclonal antibody recognizes GPX1 |
|---|---|
| Tested Reactivity | Hu, Ms, Rat |
| Tested Application | IHC-P |
| Host | Rabbit |
| Clonality | Polyclonal |
| Isotype | IgG |
| Target Name | GPX1 |
| Antigen Species | Human |
| Immunogen | Synthetic peptide corresponding to aa. 116-146 of Human GPX1. (EVNGAGAHPLFAFLREALPAPSDDATALMTD) |
| Conjugation | Un-conjugated |
| Alternate Names | GPXD; Glutathione peroxidase 1; GPx-1; Cellular glutathione peroxidase; EC 1.11.1.9; GSHPX1; GSHPx-1 |
Application Instructions
| Application Suggestion |
|
||||
|---|---|---|---|---|---|
| Application Note | IHC-P: Antigen Retrieval: By heat mediation. * The dilutions indicate recommended starting dilutions and the optimal dilutions or concentrations should be determined by the scientist. |
Properties
| Form | Liquid |
|---|---|
| Purification | Affinity purification with immunogen. |
| Buffer | 0.9% NaCl, 0.2% Na2HPO4, 0.05% Sodium azide and 5% BSA. |
| Preservative | 0.05% Sodium azide |
| Stabilizer | 5% BSA |
| Concentration | 0.5 mg/ml |
| Storage Instruction | For continuous use, store undiluted antibody at 2-8°C for up to a week. For long-term storage, aliquot and store at -20°C or below. Storage in frost free freezers is not recommended. Avoid repeated freeze/thaw cycles. Suggest spin the vial prior to opening. The antibody solution should be gently mixed before use. |
| Note | For laboratory research only, not for drug, diagnostic or other use. |
Bioinformation
| Database Links | |
|---|---|
| Gene Symbol | GPX1 |
| Gene Full Name | glutathione peroxidase 1 |
| Background | This gene encodes a member of the glutathione peroxidase family. Glutathione peroxidase functions in the detoxification of hydrogen peroxide, and is one of the most important antioxidant enzymes in humans. This protein is one of only a few proteins known in higher vertebrates to contain selenocysteine, which occurs at the active site of glutathione peroxidase and is coded by UGA, that normally functions as a translation termination codon. In addition, this protein is characterized in a polyalanine sequence polymorphism in the N-terminal region, which includes three alleles with five, six or seven alanine (ALA) repeats in this sequence. The allele with five ALA repeats is significantly associated with breast cancer risk. Two alternatively spliced transcript variants encoding distinct isoforms have been found for this gene. [provided by RefSeq, Jul 2008] |
| Function | Protects the hemoglobin in erythrocytes from oxidative breakdown. [UniProt] |
| Cellular Localization | Cytoplasm. [UniProt] |
| Calculated MW | 22 kDa |
| PTM | During periods of oxidative stress, Sec-49 may react with a superoxide radical, irreversibly lose hydroselenide and be converted to dehydroalanine. [UniProt] |
Images (3) Click the Picture to Zoom In
-
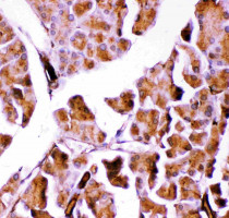
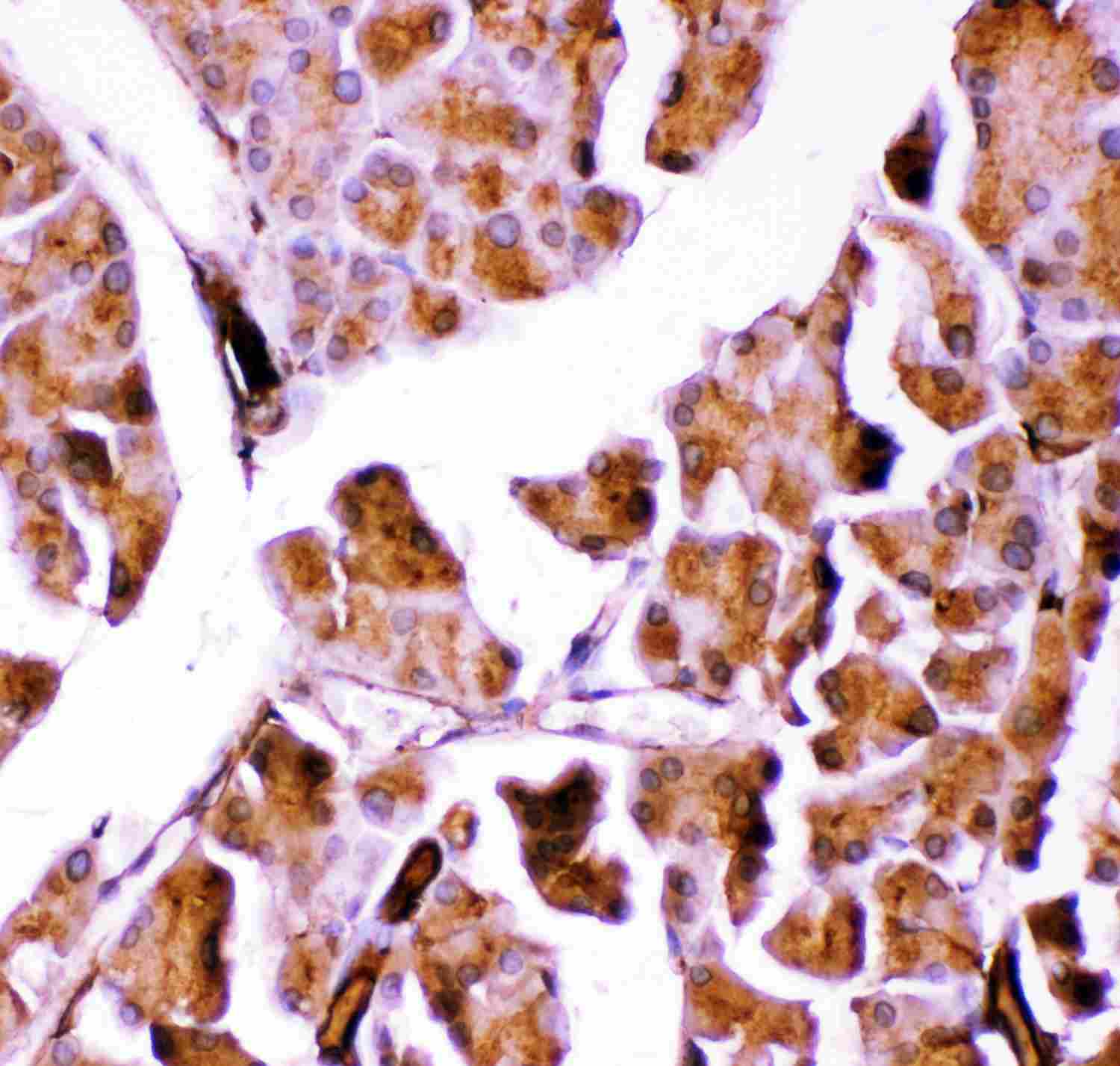
ARG59675 anti-GPX1 antibody IHC-P image
Immunohistochemistry: Paraffin-embedded Mosue pancreas stained with ARG59675 anti-GPX1 antibody.
-
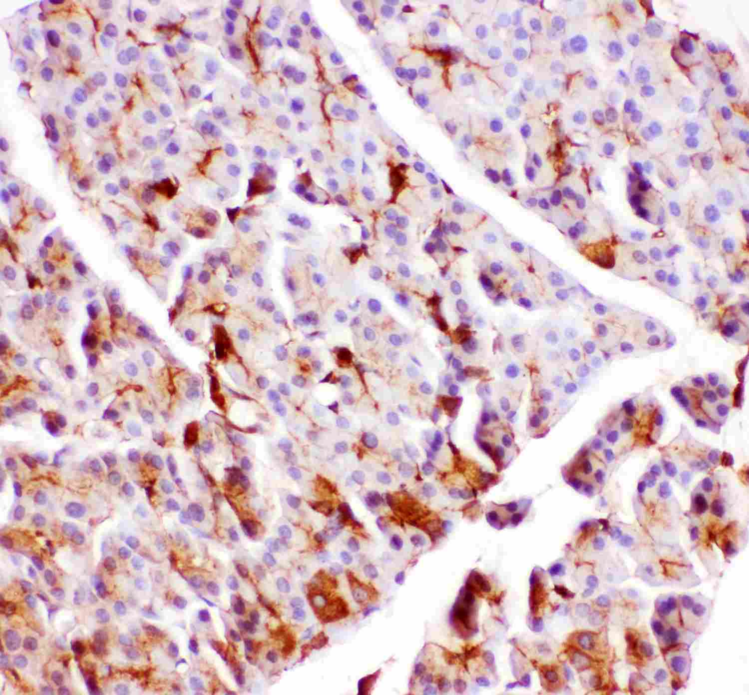
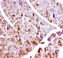
ARG59675 anti-GPX1 antibody IHC-P image
Immunohistochemistry: Paraffin-embedded Rat pancreas stained with ARG59675 anti-GPX1 antibody.
-
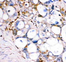
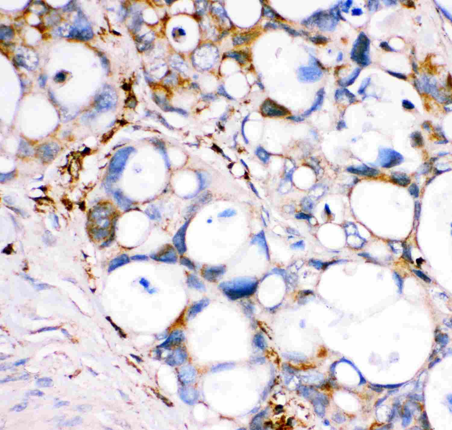
ARG59675 anti-GPX1 antibody IHC-P image
Immunohistochemistry: Paraffin-embedded Human intestinal cancer stained with ARG59675 anti-GPX1 antibody.
