ARG64151
anti-GPX3 antibody
anti-GPX3 antibody for IHC-Frozen sections,IHC-Formalin-fixed paraffin-embedded sections,Western blot and Human,Mouse,Pig
Cancer antibody; Cell Biology and Cellular Response antibody; Metabolism antibody; Signaling Transduction antibody
Overview
| Product Description | Goat Polyclonal antibody recognizes GPX3 |
|---|---|
| Tested Reactivity | Hu, Ms, Pig |
| Predict Reactivity | Dog, Rat |
| Tested Application | IHC-Fr, IHC-P, WB |
| Specificity | This antibody may cross-react with epididymis-specific GPX5 and olfactory epithelium-speciific GPX6 |
| Host | Goat |
| Clonality | Polyclonal |
| Isotype | IgG |
| Target Name | GPX3 |
| Antigen Species | Human |
| Immunogen | C-NQFGKQEPGENSE |
| Conjugation | Un-conjugated |
| Alternate Names | Plasma glutathione peroxidase; Extracellular glutathione peroxidase; GPx-P; GPx-3; EC 1.11.1.9; Glutathione peroxidase 3; GSHPx-3; GSHPx-P |
Application Instructions
| Application Suggestion |
|
||||||||
|---|---|---|---|---|---|---|---|---|---|
| Application Note | WB: Recommend incubate at RT for 1h. IHC-P: Antigen Retrieval: Steam tissue section in Citrate buffer (pH 6.0). * The dilutions indicate recommended starting dilutions and the optimal dilutions or concentrations should be determined by the scientist. |
Properties
| Form | Liquid |
|---|---|
| Purification | Purified from goat serum by antigen affinity chromatography. |
| Buffer | Tris saline (pH 7.3), 0.02% Sodium azide and 0.5% BSA. |
| Preservative | 0.02% Sodium azide |
| Stabilizer | 0.5% BSA |
| Concentration | 0.5 mg/ml |
| Storage Instruction | For continuous use, store undiluted antibody at 2-8°C for up to a week. For long-term storage, aliquot and store at -20°C or below. Storage in frost free freezers is not recommended. Avoid repeated freeze/thaw cycles. Suggest spin the vial prior to opening. The antibody solution should be gently mixed before use. |
| Note | For laboratory research only, not for drug, diagnostic or other use. |
Bioinformation
| Database Links | |
|---|---|
| Background | This gene product belongs to the glutathione peroxidase family, which functions in the detoxification of hydrogen peroxide. It contains a selenocysteine (Sec) residue at its active site. The selenocysteine is encoded by the UGA codon, which normally signals translation termination. The 3' UTR of Sec-containing genes have a common stem-loop structure, the sec insertion sequence (SECIS), which is necessary for the recognition of UGA as a Sec codon rather than as a stop signal. [provided by RefSeq, Jul 2008] |
| Research Area | Cancer antibody; Cell Biology and Cellular Response antibody; Metabolism antibody; Signaling Transduction antibody |
| Calculated MW | 26 kDa |
| PTM | The N-terminus is blocked. |
Images (4) Click the Picture to Zoom In
-
ARG64151 anti-GPX3 antibody WB image
Western Blot: Mouse Heart lysate (35 µg protein in RIPA buffer) stained with ARG64151 anti-GPX3 antibody at 1 µg/ml dilution.
-
ARG64151 anti-GPX3 antibody IHC-Fr image
Immunohistochemistry: PFA-perfused cryosection of Pig kidney tissue stained with ARG64151 anti-GPX3 antibody at 20 µg/ml dilution.
-
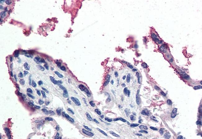
ARG64151 anti-GPX3 antibody IHC-P image
Immunohistochemistry: Paraffin-embedded Human placenta tissue. Antigen Retrieval: Steam tissue section in Citrate buffer (pH 6.0). The tissue section was stained with ARG64151 anti-GPX3 antibody at 5 µg/ml dilution followed by AP-staining.
-
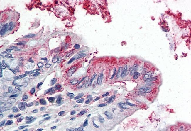
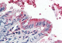
ARG64151 anti-GPX3 antibody IHC-P image
Immunohistochemistry: Paraffin-embedded Human colon tissue. Antigen Retrieval: Steam tissue section in Citrate buffer (pH 6.0). The tissue section was stained with ARG64151 anti-GPX3 antibody at 5 µg/ml dilution followed by AP-staining.
