ARG41955
anti-GPX4 antibody
anti-GPX4 antibody for IHC-Formalin-fixed paraffin-embedded sections,Western blot and Human,Mouse,Rat,Zebrafish
Ferroptosis/Oxytosis Study antibody
Overview
| Product Description | Rabbit Polyclonal antibody recognizes GPX4 |
|---|---|
| Tested Reactivity | Hu, Ms, Rat, Zfsh |
| Tested Application | IHC-P, WB |
| Host | Rabbit |
| Clonality | Polyclonal |
| Isotype | IgG |
| Target Name | GPX4 |
| Antigen Species | Human |
| Immunogen | Recombinant protein of Human GPX4. |
| Conjugation | Un-conjugated |
| Alternate Names | Phospholipid hydroperoxide glutathione peroxidase, mitochondrial; EC 1.11.1.12; MCSP; PHGPx; GSHPx-4; Glutathione peroxidase 4; GPx-4; snPHGPx; snGPx |
Application Instructions
| Application Suggestion |
|
||||||
|---|---|---|---|---|---|---|---|
| Application Note | * The dilutions indicate recommended starting dilutions and the optimal dilutions or concentrations should be determined by the scientist. | ||||||
| Positive Control | Mouse kidney | ||||||
| Observed Size | ~ 17 kDa |
Properties
| Form | Liquid |
|---|---|
| Purification | Purification with Protein A. |
| Buffer | TBS (pH 7.4), 0.05% Sodium azide, 40% Glycerol and 1% BSA. |
| Preservative | 0.05% Sodium azide |
| Stabilizer | 40% Glycerol and 1% BSA |
| Concentration | 1 mg/ml |
| Storage Instruction | For continuous use, store undiluted antibody at 2-8°C for up to a week. For long-term storage, aliquot and store at -20°C. Storage in frost free freezers is not recommended. Avoid repeated freeze/thaw cycles. Suggest spin the vial prior to opening. The antibody solution should be gently mixed before use. |
| Note | For laboratory research only, not for drug, diagnostic or other use. |
Bioinformation
| Database Links | |
|---|---|
| Gene Symbol | GPX4 |
| Gene Full Name | glutathione peroxidase 4 |
| Background | This gene encodes a member of the glutathione peroxidase protein family. Glutathione peroxidase catalyzes the reduction of hydrogen peroxide, organic hydroperoxide, and lipid peroxides by reduced glutathione and functions in the protection of cells against oxidative damage. Human plasma glutathione peroxidase has been shown to be a selenium-containing enzyme and the UGA codon is translated into a selenocysteine. The encoded protein has been identified as a moonlighting protein based on its ability to serve dual functions as a peroxidase as well as a structural protein in mature spermatozoa. Through alternative splicing and transcription initiation, rat produces proteins that localize to the nucleus, mitochondrion, and cytoplasm. In humans, alternative transcription initiation and the cleavage sites of the mitochondrial and nuclear transit peptides need to be experimentally verified. Alternative splicing results in multiple transcript variants. [provided by RefSeq, Jan 2014] |
| Function | Protects cells against membrane lipid peroxidation and cell death. Required for normal sperm development and male fertility. Could play a major role in protecting mammals from the toxicity of ingested lipid hydroperoxides. Essential for embryonic development. Protects from radiation and oxidative damage (By similarity). [UniProt] |
| Cellular Localization | Isoform Mitochondrial: Mitochondrion. Isoform Cytoplasmic: Cytoplasm. [UniProt] |
| Highlight | Related products: GPX4 antibodies; GPX4 Duos / Panels; Anti-Rabbit IgG secondary antibodies; Related news: Ferroptosis/Oxytosis Antibody Panel is launched Therapeutic strategies against PDAC |
| Research Area | Ferroptosis/Oxytosis Study antibody |
| Calculated MW | 22 kDa |
Images (2) Click the Picture to Zoom In
-
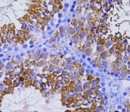
ARG41955 anti-GPX4 antibody IHC-P image
Immunohistochemistry: Paraffin-embedded Mouse testis tissue stained with ARG41955 anti-GPX4 antibody. Counter stained with hematoxylin.
-
ARG41955 anti-GPX4 antibody WB image
Western blot: Mouse kidney lysate stained with ARG41955 anti-GPX4 antibody at 1:500 dilution.
