ARG56536
anti-GPX4 antibody
anti-GPX4 antibody for IHC-Formalin-fixed paraffin-embedded sections,Western blot and Human,Mouse,Pig,Rat
Ferroptosis/Oxytosis Study antibody
Overview
| Product Description | Rabbit Polyclonal antibody recognizes GPX4 |
|---|---|
| Tested Reactivity | Hu, Ms, Rat, Pig |
| Tested Application | IHC-P, WB |
| Host | Rabbit |
| Clonality | Polyclonal |
| Isotype | IgG |
| Target Name | GPX4 |
| Antigen Species | Human |
| Immunogen | Synthetic peptide around aa. 81-93 of Human GPX4. (TQLVDLHARYAEC) |
| Conjugation | Un-conjugated |
| Alternate Names | Phospholipid hydroperoxide glutathione peroxidase, mitochondrial; EC 1.11.1.12; MCSP; PHGPx; GSHPx-4; Glutathione peroxidase 4; GPx-4; snPHGPx; snGPx |
Application Instructions
| Application Suggestion |
|
||||||
|---|---|---|---|---|---|---|---|
| Application Note | IHC-P: Antigen Retrieval: Heat mediation was performed in Citrate buffer (pH 6.0). * The dilutions indicate recommended starting dilutions and the optimal dilutions or concentrations should be determined by the scientist. |
Properties
| Form | Liquid |
|---|---|
| Purification | Affinity purification with immunogen. |
| Storage Instruction | For continuous use, store undiluted antibody at 2-8°C for up to a week. For long-term storage, aliquot and store at -20°C. Storage in frost free freezers is not recommended. Avoid repeated freeze/thaw cycles. Suggest spin the vial prior to opening. The antibody solution should be gently mixed before use. |
| Note | For laboratory research only, not for drug, diagnostic or other use. |
Bioinformation
| Database Links | |
|---|---|
| Gene Symbol | GPX4 |
| Gene Full Name | glutathione peroxidase 4 |
| Background | This gene encodes a member of the glutathione peroxidase protein family. Glutathione peroxidase catalyzes the reduction of hydrogen peroxide, organic hydroperoxide, and lipid peroxides by reduced glutathione and functions in the protection of cells against oxidative damage. Human plasma glutathione peroxidase has been shown to be a selenium-containing enzyme and the UGA codon is translated into a selenocysteine. The encoded protein has been identified as a moonlighting protein based on its ability to serve dual functions as a peroxidase as well as a structural protein in mature spermatozoa. Through alternative splicing and transcription initiation, rat produces proteins that localize to the nucleus, mitochondrion, and cytoplasm. In humans, alternative transcription initiation and the cleavage sites of the mitochondrial and nuclear transit peptides need to be experimentally verified. Alternative splicing results in multiple transcript variants. [provided by RefSeq, Jan 2014] |
| Function | Protects cells against membrane lipid peroxidation and cell death. Required for normal sperm development and male fertility. Could play a major role in protecting mammals from the toxicity of ingested lipid hydroperoxides. Essential for embryonic development. Protects from radiation and oxidative damage (By similarity). [UniProt] |
| Highlight | Related products: GPX4 antibodies; GPX4 Duos / Panels; Anti-Rabbit IgG secondary antibodies; Related news: Ferroptosis/Oxytosis Antibody Panel is launched Therapeutic strategies against PDAC |
| Research Area | Ferroptosis/Oxytosis Study antibody |
| Calculated MW | 22 kDa |
Images (2) Click the Picture to Zoom In
-
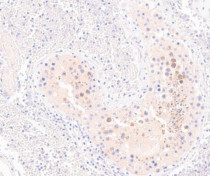
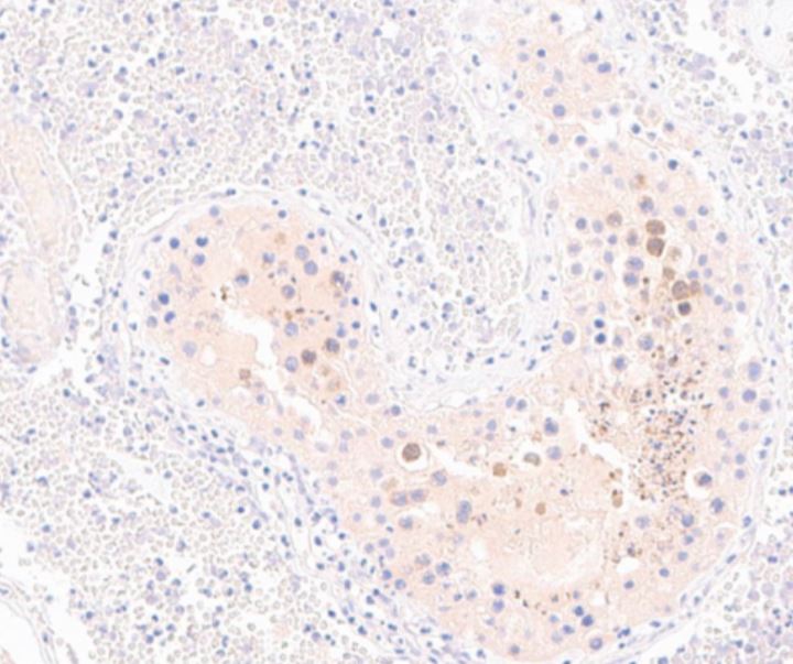
ARG56536 anti-GPX4 antibody IHC-P image
Immunohistochemistry: Formalin-fixed and paraffin-embedded Human testis tissue. Antigen Retrieval: Heat mediation was performed in Citrate buffer (pH 6.0). Tissue section was stained with ARG56536 anti-GPX4 antibody at 1:80 dilution.
-
ARG56536 anti-GPX4 antibody WB image
Western blot: 30 µg of 1) Rat testis and 2) Mouse brain lysates stained with ARG56536 anti-GPX4 antibody.
