ARG45218
anti-GRHL2 antibody
anti-GRHL2 antibody for Flow cytometry,ICC/IF,IHC-Formalin-fixed paraffin-embedded sections,Western blot and Human
Overview
| Product Description | Rabbit Polyclonal antibody recognizes GRHL2 |
|---|---|
| Tested Reactivity | Hu |
| Tested Application | FACS, ICC/IF, IHC-P, WB |
| Host | Rabbit |
| Clonality | Polyclonal |
| Isotype | IgG |
| Target Name | GRHL2 |
| Antigen Species | Human |
| Immunogen | Recombinant protein containing to human GRHL2. |
| Conjugation | Un-conjugated |
| Alternate Names | GRHL2; Grainyhead Like Transcription Factor 2; BOM; Transcription Factor CP2-Like 3; TFCP2L3; Grainyhead-Like Protein 2 Homolog; Brother Of Mammalian Grainyhead; Brother-Of-MGR; FLJ13782; DFNA28; Deafness, Autosomal Dominant 28; Grainyhead-Like 2 (Drosophila); Grainyhead-Like 2; ECTDS; PPCD4 |
Application Instructions
| Application Suggestion |
|
||||||||||
|---|---|---|---|---|---|---|---|---|---|---|---|
| Application Note | * The dilutions indicate recommended starting dilutions and the optimal dilutions or concentrations should be determined by the scientist. | ||||||||||
| Observed Size | 71 kDa |
Properties
| Form | Liquid |
|---|---|
| Purification | Affinity purification with immunogen. |
| Buffer | 0.2% Na2HPO4, 0.9% NaCl and 4% Trehalose. |
| Stabilizer | 4% Trehalose |
| Concentration | 0.5 mg/ml |
| Storage Instruction | For continuous use, store undiluted antibody at 2-8°C for up to a week. For long-term storage, aliquot and store at -20°C or below. Storage in frost free freezers is not recommended. Avoid repeated freeze/thaw cycles. Suggest spin the vial prior to opening. The antibody solution should be gently mixed before use. |
| Note | For laboratory research only, not for drug, diagnostic or other use. |
Bioinformation
| Database Links | |
|---|---|
| Gene Symbol | GRHL2 |
| Gene Full Name | Grainyhead Like Transcription Factor 2 |
| Background | The protein encoded by this gene is a transcription factor that can act as a homodimer or as a heterodimer with either GRHL1 or GRHL3. Defects in this gene are a cause of non-syndromic sensorineural deafness autosomal dominant type 28 (DFNA28).[provided by RefSeq, Mar 2009] |
| Function | Transcription factor playing an important role in primary neurulation and in epithelial development. [UniProt] |
| Cellular Localization | Membrane; Nucleus [UniProt] |
| Calculated MW | 71 kDa |
Images (4) Click the Picture to Zoom In
-
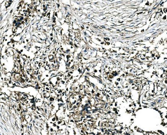
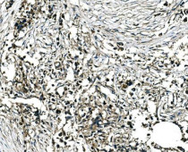
ARG45218 anti-GRHL2 antibody IHC-P image
Immunohistochemistry: Human breast cancer stained with ARG45218 anti-GRHL2 antibody at 2 μg/ml dilution.
-
ARG45218 anti-GRHL2 antibody ICC/IF image
Immunofluorescence: A431 stained with ARG45218 anti-GRHL2 antibody at 5 ug/ml dilution.
-
ARG45218 anti-GRHL2 antibody WB image
Western blot: T-47D, RT4, Hacat, and MCF-7 stained with ARG45218 anti-GRHL2 antibody at 0.5 μg/ml dilution.
-
ARG45218 anti-GRHL2 antibody FACS image
Flow Cytometry: Caco-2 stained with ARG45218 anti-GRHL2 antibody at 1 µg/10^6 cells dilution.
