ARG57520
anti-GSK3 alpha antibody
anti-GSK3 alpha antibody for IHC-Formalin-fixed paraffin-embedded sections,Western blot and Human
Overview
| Product Description | Rabbit Polyclonal antibody recognizes GSK3 alpha |
|---|---|
| Tested Reactivity | Hu |
| Tested Application | IHC-P, WB |
| Host | Rabbit |
| Clonality | Polyclonal |
| Isotype | IgG |
| Target Name | GSK3 alpha |
| Antigen Species | Human |
| Immunogen | KLH-conjugated synthetic peptide corresponding to aa. 448-478 (C-terminus) of Human GSK3 alpha. |
| Conjugation | Un-conjugated |
| Alternate Names | Glycogen synthase kinase-3 alpha; EC 2.7.11.26; Serine/threonine-protein kinase GSK3A; GSK-3 alpha; EC 2.7.11.1 |
Application Instructions
| Application Suggestion |
|
||||||
|---|---|---|---|---|---|---|---|
| Application Note | * The dilutions indicate recommended starting dilutions and the optimal dilutions or concentrations should be determined by the scientist. | ||||||
| Positive Control | A549 |
Properties
| Form | Liquid |
|---|---|
| Purification | Purification by Saturated Ammonium Sulfate (SAS) precipitation followed by dialysis against PBS. |
| Buffer | PBS and 0.09% (W/V) Sodium azide. |
| Preservative | 0.09% (W/V) Sodium azide |
| Storage Instruction | For continuous use, store undiluted antibody at 2-8°C for up to a week. For long-term storage, aliquot and store at -20°C or below. Storage in frost free freezers is not recommended. Avoid repeated freeze/thaw cycles. Suggest spin the vial prior to opening. The antibody solution should be gently mixed before use. |
| Note | For laboratory research only, not for drug, diagnostic or other use. |
Bioinformation
| Database Links | |
|---|---|
| Gene Symbol | GSK3A |
| Gene Full Name | glycogen synthase kinase 3 alpha |
| Background | This gene encodes a multifunctional Ser/Thr protein kinase that is implicated in the control of several regulatory proteins including glycogen synthase, and transcription factors, such as JUN. It also plays a role in the WNT and PI3K signaling pathways, as well as regulates the production of beta-amyloid peptides associated with Alzheimer's disease. [provided by RefSeq, Oct 2011] |
| Function | Constitutively active protein kinase that acts as a negative regulator in the hormonal control of glucose homeostasis, Wnt signaling and regulation of transcription factors and microtubules, by phosphorylating and inactivating glycogen synthase (GYS1 or GYS2), CTNNB1/beta-catenin, APC and AXIN1. Requires primed phosphorylation of the majority of its substrates. Contributes to insulin regulation of glycogen synthesis by phosphorylating and inhibiting GYS1 activity and hence glycogen synthesis. Regulates glycogen metabolism in liver, but not in muscle. May also mediate the development of insulin resistance by regulating activation of transcription factors. In Wnt signaling, regulates the level and transcriptional activity of nuclear CTNNB1/beta-catenin. Facilitates amyloid precursor protein (APP) processing and the generation of APP-derived amyloid plaques found in Alzheimer disease. May be involved in the regulation of replication in pancreatic beta-cells. Is necessary for the establishment of neuronal polarity and axon outgrowth. Through phosphorylation of the anti-apoptotic protein MCL1, may control cell apoptosis in response to growth factors deprivation. [UniProt] |
| Calculated MW | 51 kDa |
| PTM | Phosphorylated by AKT1 at Ser-21: upon insulin-mediated signaling, the activated PKB/AKT1 protein kinase phosphorylates and desactivates GSK3A, resulting in the dephosphorylation and activation of GYS1. Activated by phosphorylation at Tyr-279. [UniProt] |
Images (2) Click the Picture to Zoom In
-
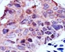
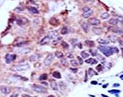
ARG57520 anti-GSK3 alpha antibody IHC-P image
Immunohistochemistry: Formalin-fixed and paraffin-embedded Human breast carcinoma tissue stained with ARG57520 anti-GSK3 alpha antibody.
-
ARG57520 anti-GSK3 alpha antibody WB image
Western blot: 20 µg of A549 cell lysate stained with ARG57520 anti-GSK3 alpha antibody at 1:1000 dilution.
