ARG51511
anti-GSK3 alpha phospho (Ser21) antibody
anti-GSK3 alpha phospho (Ser21) antibody for ICC/IF,IHC-Formalin-fixed paraffin-embedded sections,Western blot and Human,Mouse,Rat
Cell Biology and Cellular Response antibody; Cell Death antibody; Developmental Biology antibody; Signaling Transduction antibody
Overview
| Product Description | Rabbit Polyclonal antibody recognizes GSK3 alpha phospho (Ser21) |
|---|---|
| Tested Reactivity | Hu, Ms, Rat |
| Tested Application | ICC/IF, IHC-P, WB |
| Host | Rabbit |
| Clonality | Polyclonal |
| Isotype | IgG |
| Target Name | GSK3 alpha |
| Antigen Species | Human |
| Immunogen | Peptide sequence around phosphorylation site of serine 21 (T-S-S(p)-F-A) derived from Human GSK3α. |
| Conjugation | Un-conjugated |
| Alternate Names | Glycogen synthase kinase-3 alpha; EC 2.7.11.26; Serine/threonine-protein kinase GSK3A; GSK-3 alpha; EC 2.7.11.1 |
Application Instructions
| Application Suggestion |
|
||||||||
|---|---|---|---|---|---|---|---|---|---|
| Application Note | * The dilutions indicate recommended starting dilutions and the optimal dilutions or concentrations should be determined by the scientist. |
Properties
| Form | Liquid |
|---|---|
| Purification | Antibodies were produced by immunizing rabbits with KLH-conjugated synthetic phosphopeptide. Antibodies were purified by affinity-chromatography using epitope-specific phosphopeptide. In addition, non-phospho specific antibodies were removed by chromatogramphy using non-phosphopeptide. |
| Buffer | PBS (without Mg2+ and Ca2+, pH 7.4), 150mM NaCl, 0.02% Sodium azide and 50% Glycerol. |
| Preservative | 0.02% Sodium azide |
| Stabilizer | 50% Glycerol |
| Concentration | 1 mg/ml |
| Storage Instruction | For continuous use, store undiluted antibody at 2-8°C for up to a week. For long-term storage, aliquot and store at -20°C. Storage in frost free freezers is not recommended. Avoid repeated freeze/thaw cycles. Suggest spin the vial prior to opening. The antibody solution should be gently mixed before use. |
| Note | For laboratory research only, not for drug, diagnostic or other use. |
Bioinformation
| Database Links | |
|---|---|
| Gene Symbol | GSK3A |
| Gene Full Name | glycogen synthase kinase 3 alpha |
| Background | Implicated in the hormonal control of several regulatory proteins including glycogen synthase, MYB and the transcription factor JUN. |
| Function | Constitutively active protein kinase that acts as a negative regulator in the hormonal control of glucose homeostasis, Wnt signaling and regulation of transcription factors and microtubules, by phosphorylating and inactivating glycogen synthase (GYS1 or GYS2), CTNNB1/beta-catenin, APC and AXIN1. Requires primed phosphorylation of the majority of its substrates. Contributes to insulin regulation of glycogen synthesis by phosphorylating and inhibiting GYS1 activity and hence glycogen synthesis. Regulates glycogen metabolism in liver, but not in muscle. May also mediate the development of insulin resistance by regulating activation of transcription factors. In Wnt signaling, regulates the level and transcriptional activity of nuclear CTNNB1/beta-catenin. Facilitates amyloid precursor protein (APP) processing and the generation of APP-derived amyloid plaques found in Alzheimer disease. May be involved in the regulation of replication in pancreatic beta-cells. Is necessary for the establishment of neuronal polarity and axon outgrowth. Through phosphorylation of the anti-apoptotic protein MCL1, may control cell apoptosis in response to growth factors deprivation. [UniProt] |
| Research Area | Cell Biology and Cellular Response antibody; Cell Death antibody; Developmental Biology antibody; Signaling Transduction antibody |
| Calculated MW | 51 kDa |
| PTM | Phosphorylated by AKT1 at Ser-21: upon insulin-mediated signaling, the activated PKB/AKT1 protein kinase phosphorylates and desactivates GSK3A, resulting in the dephosphorylation and activation of GYS1. Activated by phosphorylation at Tyr-279. |
Images (4) Click the Picture to Zoom In
-
ARG51511 anti-GSK3 alpha phospho (Ser21) antibody WB image
Western blot: Extracts from 293 cells untreated(lane 1) or treated with serum(lane 2) stained with ARG51511 anti-GSK3 alpha phospho (Ser21) antibody.
-
ARG51511 anti-GSK3 alpha phospho (Ser21) antibody WB image
Western blot: Extracts from 293 cells, treated with insulin or calf intestinal phosphatase (CIP), stained with ARG51511 anti-GSK3 alpha phospho (Ser21) antibody.
-
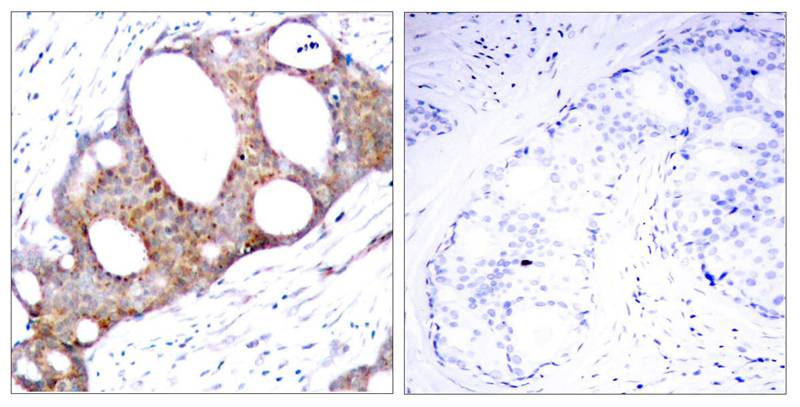
ARG51511 anti-GSK3 alpha phospho (Ser21) antibody IHC-P image
Immunohistochemistry: Paraffin-embedded Human breast carcinoma tissue stained with ARG51511 anti-GSK3 alpha phospho (Ser21) antibody (left) or the same antibody preincubated with blocking peptide (right).
-
ARG51511 anti-GSK3 alpha phospho (Ser21) antibody ICC/IF image
Immunofluorescence: methanol-fixed HeLa cells showing cytoplasmic staining stained with ARG51511 anti-GSK3 alpha phospho (Ser21) antibody.
