ARG67263
anti-GST3 / GST pi antibody [SQab30379]
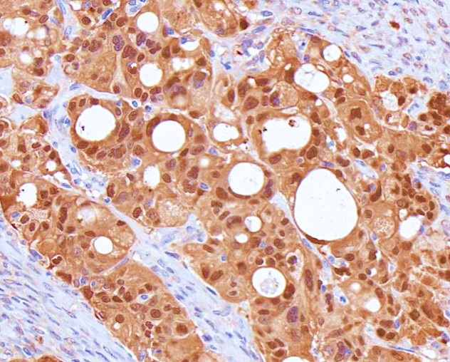
anti-GST3 / GST pi antibody [SQab30379] for IHC-Formalin-fixed paraffin-embedded sections and Human
Overview
| Product Description | Rabbit Monoclonal antibody [SQab30379] recognizes GST3 / GST pi. |
|---|---|
| Tested Reactivity | Hu |
| Tested Application | IHC-P |
| Host | Rabbit |
| Clonality | Monoclonal |
| Clone | SQab30379 |
| Isotype | IgG |
| Target Name | GST3 / GST pi |
| Immunogen | Synthetic peptide. |
| Conjugation | Un-conjugated |
| Alternate Names | GSTP1; Glutathione S-Transferase Pi 1; FAEES3; GSTP; GST3; Glutathione S-Transferase P; GST Class-Pi; EC 2.5.1.18; GSTP1-1; Fatty Acid Ethyl Ester Synthase III; Epididymis Secretory Protein Li 22; Deafness, X-Linked 7; HEL-S-22; DFN7; PI |
Application Instructions
| Application Suggestion |
|
||||
|---|---|---|---|---|---|
| Application Note | * The dilutions indicate recommended starting dilutions and the optimal dilutions or concentrations should be determined by the scientist. |
Properties
| Form | Liquid |
|---|---|
| Purification | Affinity purification with immunogen. |
| Buffer | PBS, 0.01% Sodium azide, 40% Glycerol and 0.05% BSA. |
| Preservative | 0.01% Sodium azide |
| Stabilizer | 40% Glycerol and 0.05% BSA |
| Storage Instruction | For continuous use, store undiluted antibody at 2-8°C for up to a week. For long-term storage, aliquot and store at -20°C or below. Storage in frost free freezers is not recommended. Avoid repeated freeze/thaw cycles. Suggest spin the vial prior to opening. The antibody solution should be gently mixed before use. |
| Note | For laboratory research only, not for drug, diagnostic or other use. |
Bioinformation
| Database Links | |
|---|---|
| Gene Symbol | GSTP1 |
| Gene Full Name | Glutathione S-Transferase Pi 1 |
| Background | Glutathione S-transferases (GSTs) are a family of enzymes that play an important role in detoxification by catalyzing the conjugation of many hydrophobic and electrophilic compounds with reduced glutathione. Based on their biochemical, immunologic, and structural properties, the soluble GSTs are categorized into 4 main classes: alpha, mu, pi, and theta. This GST family member is a polymorphic gene encoding active, functionally different GSTP1 variant proteins that are thought to function in xenobiotic metabolism and play a role in susceptibility to cancer, and other diseases. [provided by RefSeq, Jul 2008] |
| Function | Negatively regulates CDK5 activity via p25/p35 translocation to prevent neurodegeneration. [Uniprot] |
| Cellular Localization | Cytoplasm, Mitochondrion, Nucleus. [Uniprot] |
| Calculated MW | 23 kDa |
| PTM | Acetylation, Phosphoprotein. [Uniprot] |
Images (1) Click the Picture to Zoom In
