ARG55371
anti-GSTM1 antibody
anti-GSTM1 antibody for Flow cytometry,IHC-Formalin-fixed paraffin-embedded sections,Western blot and Human
Cell Biology and Cellular Response antibody; Controls and Markers antibody; Metabolism antibody; Signaling Transduction antibody
Overview
| Product Description | Rabbit Polyclonal antibody recognizes GSTM1 |
|---|---|
| Tested Reactivity | Hu |
| Predict Reactivity | Ms |
| Tested Application | FACS, IHC-P, WB |
| Host | Rabbit |
| Clonality | Polyclonal |
| Isotype | IgG |
| Target Name | GSTM1 |
| Antigen Species | Human |
| Immunogen | KLH-conjugated synthetic peptide corresponding to aa. 184-211 (C-terminus) of Human GSTM1. |
| Conjugation | Un-conjugated |
| Alternate Names | GST HB subunit 4; MU-1; GST class-mu 1; GST1; Glutathione S-transferase Mu 1; GSTM1-1; GSTM1a-1a; MU; GTH4; EC 2.5.1.18; GSTM1b-1b; H-B; GTM1 |
Application Instructions
| Application Suggestion |
|
||||||||
|---|---|---|---|---|---|---|---|---|---|
| Application Note | * The dilutions indicate recommended starting dilutions and the optimal dilutions or concentrations should be determined by the scientist. | ||||||||
| Positive Control | Human liver |
Properties
| Form | Liquid |
|---|---|
| Purification | Purification with Protein A and immunogen peptide. |
| Buffer | PBS and 0.09% (W/V) Sodium azide |
| Preservative | 0.09% (W/V) Sodium azide |
| Storage Instruction | For continuous use, store undiluted antibody at 2-8°C for up to a week. For long-term storage, aliquot and store at -20°C or below. Storage in frost free freezers is not recommended. Avoid repeated freeze/thaw cycles. Suggest spin the vial prior to opening. The antibody solution should be gently mixed before use. |
| Note | For laboratory research only, not for drug, diagnostic or other use. |
Bioinformation
| Database Links | |
|---|---|
| Gene Symbol | GSTM1 |
| Gene Full Name | glutathione S-transferase mu 1 |
| Background | Cytosolic and membrane-bound forms of glutathione S-transferase are encoded by two distinct supergene families. At present, eight distinct classes of the soluble cytoplasmic mammalian glutathione S-transferases have been identified: alpha, kappa, mu, omega, pi, sigma, theta and zeta. This gene encodes a glutathione S-transferase that belongs to the mu class. The mu class of enzymes functions in the detoxification of electrophilic compounds, including carcinogens, therapeutic drugs, environmental toxins and products of oxidative stress, by conjugation with glutathione. The genes encoding the mu class of enzymes are organized in a gene cluster on chromosome 1p13.3 and are known to be highly polymorphic. These genetic variations can change an individual's susceptibility to carcinogens and toxins as well as affect the toxicity and efficacy of certain drugs. Null mutations of this class mu gene have been linked with an increase in a number of cancers, likely due to an increased susceptibility to environmental toxins and carcinogens. Multiple protein isoforms are encoded by transcript variants of this gene. [provided by RefSeq, Jul 2008] |
| Function | Conjugation of reduced glutathione to a wide number of exogenous and endogenous hydrophobic electrophiles. [UniProt] |
| Cellular Localization | Cytoplasm. |
| Research Area | Cell Biology and Cellular Response antibody; Controls and Markers antibody; Metabolism antibody; Signaling Transduction antibody |
| Calculated MW | 26 kDa |
Images (3) Click the Picture to Zoom In
-
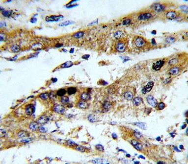
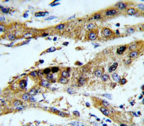
ARG55371 anti-GSTM1 antibody IHC-P image
Immunohistochemistry: Formalin-fixed and paraffin-embedded Human hepatocarcinoma stained with ARG55371 anti-GSTM1 antibody.
-
ARG55371 anti-GSTM1 antibody WB image
Western blot: 35 µg of Human liver lysate stained with ARG55371 anti-GSTM1 antibody at 1:1000 dilution.
-
ARG55371 anti-GSTM1 antibody FACS image
Flow Cytometry: MDA-MB-231 cells stained with ARG55371 anti-GSTM1 antibody (bottom histogram) or without primary antibody control (top histogram), followed by incubation with FITC labelled secondary antibody.
