ARG66618
anti-GTF2IRD1 antibody
anti-GTF2IRD1 antibody for IHC-Formalin-fixed paraffin-embedded sections,Western blot and Human
Overview
| Product Description | Rabbit Polyclonal antibody recognizes GTF2IRD1 |
|---|---|
| Tested Reactivity | Hu |
| Tested Application | IHC-P, WB |
| Host | Rabbit |
| Clonality | Polyclonal |
| Isotype | IgG |
| Target Name | GTF2IRD1 |
| Antigen Species | Human |
| Immunogen | KLH-conjugated synthetic peptide around the N-terminal region of Human GTF2IRD1. |
| Conjugation | Un-conjugated |
| Alternate Names | WBSCR11; RBAP2; WBSCR12; BEN; WBS; Williams-Beuren syndrome chromosomal region 11 protein; Williams-Beuren syndrome chromosomal region 12 protein; GTF2I repeat domain-containing protein 1; Slow-muscle-fiber enhancer-binding protein; MUSTRD1; USE B1-binding protein; General transcription factor II-I repeat domain-containing protein 1; GTF3; CREAM1; MusTRD1/BEN; hMusTRD1alpha1; General transcription factor III; Muscle TFII-I repeat domain-containing protein 1 |
Application Instructions
| Application Suggestion |
|
||||||
|---|---|---|---|---|---|---|---|
| Application Note | IHC-P: Antigen Retrieval: Heat mediation was performed in Sodium citrate buffer (pH 6.0). * The dilutions indicate recommended starting dilutions and the optimal dilutions or concentrations should be determined by the scientist. |
||||||
| Observed Size | ~ 110 kDa |
Properties
| Form | Liquid |
|---|---|
| Purification | Affinity purified. |
| Buffer | PBS (pH 7.3), 0.02% Sodium azide and 0.2% BSA. |
| Preservative | 0.02% Sodium azide |
| Stabilizer | 0.2% BSA |
| Storage Instruction | For continuous use, store undiluted antibody at 2-8°C for up to a week. For long-term storage, aliquot and store at -20°C or below. Storage in frost free freezers is not recommended. Avoid repeated freeze/thaw cycles. Suggest spin the vial prior to opening. The antibody solution should be gently mixed before use. |
| Note | For laboratory research only, not for drug, diagnostic or other use. |
Bioinformation
| Database Links |
Swiss-port # Q9UHL9 Human General transcription factor II-I repeat domain-containing protein 1 |
|---|---|
| Gene Symbol | GTF2IRD1 |
| Gene Full Name | GTF2I repeat domain containing 1 |
| Background | The protein encoded by this gene contains five GTF2I-like repeats and each repeat possesses a potential helix-loop-helix (HLH) motif. It may have the ability to interact with other HLH-proteins and function as a transcription factor or as a positive transcriptional regulator under the control of Retinoblastoma protein. This gene plays a role in craniofacial and cognitive development and mutations have been associated with Williams-Beuren syndrome, a multisystem developmental disorder caused by deletion of multiple genes at 7q11.23. Alternative splicing results in multiple transcript variants. [provided by RefSeq, Nov 2010] |
| Function | May be a transcription regulator involved in cell-cycle progression and skeletal muscle differentiation. May repress GTF2I transcriptional functions, by preventing its nuclear residency, or by inhibiting its transcriptional activation. May contribute to slow-twitch fiber type specificity during myogenesis and in regenerating muscles. Binds troponin I slow-muscle fiber enhancer (USE B1). Binds specifically and with high affinity to the EFG sequences derived from the early enhancer of HOXC8 (By similarity). [UniProt] |
| Cellular Localization | Nucleus. [UniProt] |
| Calculated MW | 106 kDa |
Images (2) Click the Picture to Zoom In
-
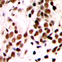
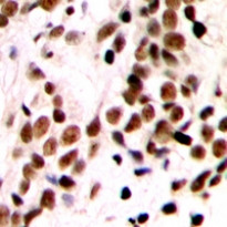
ARG66618 anti-GTF2IRD1 antibody IHC-P image
Immunohistochemistry: Formalin-fixed and paraffin-embedded Human breast cancer tissue section. Antigen Retrieval: Heat mediation was performed in Sodium citrate buffer (pH 6.0). The section was then stained with ARG66618 anti-GTF2IRD1 antibody at room temperature and detected using an HRP conjugated compact polymer system. DAB was used as the chromogen. The section was then counterstained with haematoxylin and mounted with DPX.
-
ARG66618 anti-GTF2IRD1 antibody WB image
Western blot: HeLa and HEK293T whole cell lysates stained with ARG66618 anti-GTF2IRD1 antibody.
