ARG59639
anti-GUSB / beta glucuronidase antibody
anti-GUSB / beta glucuronidase antibody for Flow cytometry,IHC-Formalin-fixed paraffin-embedded sections,Western blot and Human
Overview
| Product Description | Rabbit Polyclonal antibody recognizes GUSB / beta glucuronidase |
|---|---|
| Tested Reactivity | Hu |
| Predict Reactivity | Pig |
| Tested Application | FACS, IHC-P, WB |
| Host | Rabbit |
| Clonality | Polyclonal |
| Isotype | IgG |
| Target Name | GUSB / beta glucuronidase |
| Antigen Species | Human |
| Immunogen | KLH-conjugated synthetic peptide corresponding to aa. 335-362 of Human GUSB. |
| Conjugation | Un-conjugated |
| Alternate Names | Beta-G1; MPS7; BG; EC 3.2.1.31; Beta-glucuronidase |
Application Instructions
| Application Suggestion |
|
||||||||
|---|---|---|---|---|---|---|---|---|---|
| Application Note | * The dilutions indicate recommended starting dilutions and the optimal dilutions or concentrations should be determined by the scientist. | ||||||||
| Positive Control | K562 |
Properties
| Form | Liquid |
|---|---|
| Purification | Purification with Protein A and immunogen peptide. |
| Buffer | PBS and 0.09% (W/V) Sodium azide. |
| Preservative | 0.09% (W/V) Sodium azide |
| Storage Instruction | For continuous use, store undiluted antibody at 2-8°C for up to a week. For long-term storage, aliquot and store at -20°C or below. Storage in frost free freezers is not recommended. Avoid repeated freeze/thaw cycles. Suggest spin the vial prior to opening. The antibody solution should be gently mixed before use. |
| Note | For laboratory research only, not for drug, diagnostic or other use. |
Bioinformation
| Database Links | |
|---|---|
| Gene Symbol | GUSB |
| Gene Full Name | glucuronidase, beta |
| Background | This gene encodes a hydrolase that degrades glycosaminoglycans, including heparan sulfate, dermatan sulfate, and chondroitin-4,6-sulfate. The enzyme forms a homotetramer that is localized to the lysosome. Mutations in this gene result in mucopolysaccharidosis type VII. Alternative splicing results in multiple transcript variants. There are many pseudogenes of this locus in the human genome.[provided by RefSeq, May 2014] |
| Function | Plays an important role in the degradation of dermatan and keratan sulfates. [UniProt] |
| Cellular Localization | Lysosome. [UniProt] |
| Calculated MW | 75 kDa |
| PTM | N-linked glycosylated with 3 to 4 oligosaccharide chains. [UniProt] |
Images (3) Click the Picture to Zoom In
-
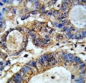
ARG59639 anti-GUSB / beta glucuronidase antibody IHC-P image
Immunohistochemistry: Formalin-fixed and paraffin-embedded Human colon carcinoma stained with ARG59639 anti-GUSB / beta glucuronidase antibody.
-
ARG59639 anti-GUSB / beta glucuronidase antibody WB image
Western blot: 35 µg of K562 cell lysate stained with ARG59639 anti-GUSB / beta glucuronidase antibody.
-
ARG59639 anti-GUSB / beta glucuronidase antibody FACS image
Flow Cytometry: WiDr cells stained with ARG59639 anti-GUSB / beta glucuronidase antibody (right histogram) or without primary antibody as control (left histogram), followed by incubation with FITC labelled secondary antibody.
