ARG63939
anti-Galanin Receptor 3 antibody
anti-Galanin Receptor 3 antibody for IHC-Formalin-fixed paraffin-embedded sections,Western blot and Human
Neuroscience antibody
Overview
| Product Description | Goat Polyclonal antibody recognizes Galanin Receptor 3 |
|---|---|
| Tested Reactivity | Hu |
| Tested Application | IHC-P, WB |
| Host | Goat |
| Clonality | Polyclonal |
| Isotype | IgG |
| Target Name | Galanin Receptor 3 |
| Antigen Species | Human |
| Immunogen | C-QGPEPREGPVHGGE |
| Conjugation | Un-conjugated |
| Alternate Names | GAL3-R; GALR-3; Galanin receptor type 3 |
Application Instructions
| Application Suggestion |
|
||||||
|---|---|---|---|---|---|---|---|
| Application Note | IHC-P: Antigen Retrieval: Steam tissue section in Citrate buffer (pH 6.0). WB: Recommend incubate at RT for 1h. * The dilutions indicate recommended starting dilutions and the optimal dilutions or concentrations should be determined by the scientist. |
Properties
| Form | Liquid |
|---|---|
| Purification | Purified from goat serum by antigen affinity chromatography. |
| Buffer | Tris saline (pH 7.3), 0.02% Sodium azide and 0.5% BSA. |
| Preservative | 0.02% Sodium azide |
| Stabilizer | 0.5% BSA |
| Concentration | 0.5 mg/ml |
| Storage Instruction | For continuous use, store undiluted antibody at 2-8°C for up to a week. For long-term storage, aliquot and store at -20°C or below. Storage in frost free freezers is not recommended. Avoid repeated freeze/thaw cycles. Suggest spin the vial prior to opening. The antibody solution should be gently mixed before use. |
| Note | For laboratory research only, not for drug, diagnostic or other use. |
Bioinformation
| Database Links | |
|---|---|
| Background | The neuropeptide galanin modulates a variety of physiologic processes including cognition/memory, sensory/pain processing, hormone secretion, and feeding behavior. The human galanin receptors are G protein-coupled receptors that functionally couple to their intracellular effector through distinct signaling pathways. GALR3 is found in many tissues and may be expressed as 1.4-, 2.4-, and 5-kb transcripts [provided by RefSeq, Jul 2008] |
| Research Area | Neuroscience antibody |
| Calculated MW | 40 kDa |
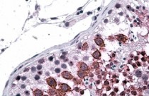
Images (2) Click the Picture to Zoom In
-
ARG63939 anti-Galanin Receptor 3 antibody WB image
Western Blot: Human Skin lysate (35 µg protein in RIPA buffer) stained with ARG63939 anti-Galanin Receptor 3 antibody at 2 µg/ml dilution.
-
ARG63939 anti-Galanin Receptor 3 antibody IHC-P image
Immunohistochemistry: paraffin embedded Human Testis. (Steamed antigen retrieval with citrate buffer pH 6) stained with ARG63939 anti-Galanin Receptor 3 antibody at 3.8 µg/ml dilution followed by AP-staining.
