ARG45115
anti-Gephyrin antibody
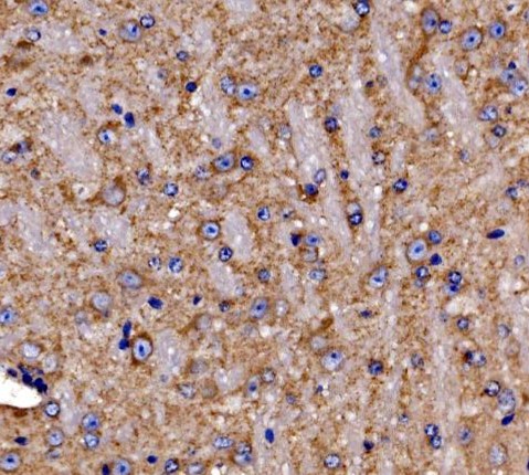
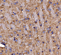
anti-Gephyrin antibody for ICC/IF,IHC-Formalin-fixed paraffin-embedded sections,Western blot and Human,Mouse,Rat,Monkey
Overview
| Product Description | Rabbit Polyclonal antibody recognizes Gephyrin |
|---|---|
| Tested Reactivity | Hu, Ms, Rat, Mk |
| Tested Application | ICC/IF, IHC-P, WB |
| Host | Rabbit |
| Clonality | Polyclonal |
| Isotype | IgG |
| Target Name | Gephyrin |
| Antigen Species | Human |
| Immunogen | E.coli-derived Human Gephyrin/GPHN recombinant protein |
| Conjugation | Un-conjugated |
| Alternate Names | GPHN; Gephyrin; GPH; KIAA1385; GEPH; GPHRYN; MOCODC; HKPX1 |
Application Instructions
| Application Suggestion |
|
||||||||
|---|---|---|---|---|---|---|---|---|---|
| Application Note | * The dilutions indicate recommended starting dilutions and the optimal dilutions or concentrations should be determined by the scientist. |
Properties
| Form | Liquid |
|---|---|
| Purification | Affinity purification with immunogen. |
| Buffer | 0.2% Na2HPO4, 0.9% NaCl and 4% Trehalose. |
| Stabilizer | 4% Trehalose |
| Concentration | 0.5 mg/ml |
| Storage Instruction | For continuous use, store undiluted antibody at 2-8°C for up to a week. For long-term storage, aliquot and store at -20°C. Storage in frost free freezers is not recommended. Avoid repeated freeze/thaw cycles. Suggest spin the vial prior to opening. The antibody solution should be gently mixed before use. |
| Note | For laboratory research only, not for drug, diagnostic or other use. |
Bioinformation
| Database Links | |
|---|---|
| Gene Symbol | GPHN |
| Gene Full Name | Gephyrin |
| Background | This gene encodes a neuronal assembly protein that anchors inhibitory neurotransmitter receptors to the postsynaptic cytoskeleton via high affinity binding to a receptor subunit domain and tubulin dimers. In nonneuronal tissues, the encoded protein is also required for molybdenum cofactor biosynthesis. Mutations in this gene may be associated with the neurological condition hyperplexia and also lead to molybdenum cofactor deficiency. Numerous alternatively spliced transcript variants encoding different isoforms have been described; however, the full-length nature of all transcript variants is not currently known. [provided by RefSeq, Jul 2008] |
| Function | Microtubule-associated protein involved in membrane protein-cytoskeleton interactions. It is thought to anchor the inhibitory glycine receptor (GLYR) to subsynaptic microtubules. [Unuprot] |
| Cellular Localization | Cell membrane, Cell projection, Cytoplasm, Cytoskeleton, Membrane, Postsynaptic cell membrane, Synapse. [Unuprot] |
| Calculated MW | 80 kDa |
| PTM | Lipoprotein, Palmitate, Phosphoprotein. [Unuprot] |
Images (2) Click the Picture to Zoom In
