ARG46189
anti-GluK4 antibody
anti-GluK4 antibody for Western blot,IHC-Formalin-fixed paraffin-embedded sections and Human,Mouse,Rat
Overview
| Product Description | Rabbit Polyclonal antibody recognizes GluK4 |
|---|---|
| Tested Reactivity | Hu, Ms, Rat |
| Tested Application | IHC-P, WB |
| Host | Rabbit |
| Clonality | Polyclonal |
| Isotype | IgG |
| Target Name | GluK4 |
| Antigen Species | Human |
| Immunogen | A 14 amino acid synthetic peptide within aa. 30 - 80 of human GluK4. |
| Conjugation | Un-conjugated |
| Alternate Names | GRIK4; GluK4; Glutamate receptor KA-1; Excitatory amino acid receptor 1; Glutamate receptor ionotropic, kainate 4; KA1; EAA1; GRIK |
Application Instructions
| Application Suggestion |
|
||||||
|---|---|---|---|---|---|---|---|
| Application Note | * The dilutions indicate recommended starting dilutions and the optimal dilutions or concentrations should be determined by the scientist. |
Properties
| Purification | Affinity chromatography purified |
|---|---|
| Buffer | PBS and 0.02% Sodium azide. |
| Preservative | 0.02% Sodium azide |
| Concentration | 1 mg/ml |
| Storage Instruction | For continuous use, store undiluted antibody at 2-8°C for up to a week. For long-term storage, aliquot and store at -20°C. Storage in frost free freezers is not recommended. Avoid repeated freeze/thaw cycles. Suggest spin the vial prior to opening. The antibody solution should be gently mixed before use. |
| Note | For laboratory research only, not for drug, diagnostic or other use. |
Bioinformation
| Database Links | |
|---|---|
| Gene Symbol | GRIK4 |
| Gene Full Name | glutamate receptor, ionotropic, kainate 4 |
| Background | This gene encodes a protein that belongs to the glutamate-gated ionic channel family. Glutamate functions as the major excitatory neurotransmitter in the central nervous system through activation of ligand-gated ion channels and G protein-coupled membrane receptors. The protein encoded by this gene forms functional heteromeric kainate-preferring ionic channels with the subunits encoded by related gene family members. Alternatively spliced transcript variants encoding different isoforms have been found for this gene. [provided by RefSeq, Sep 2013] |
| Function | Receptor for glutamate. L-glutamate acts as an excitatory neurotransmitter at many synapses in the central nervous system. The postsynaptic actions of Glu are mediated by a variety of receptors that are named according to their selective agonists. [UniProt] |
| Cellular Localization | Cell junction, Cell membrane, Multi-pass membrane protein, postsynaptic cell membrane, synapse. [UniProt] |
| Calculated MW | 107 kDa |
Images (3) Click the Picture to Zoom In
-
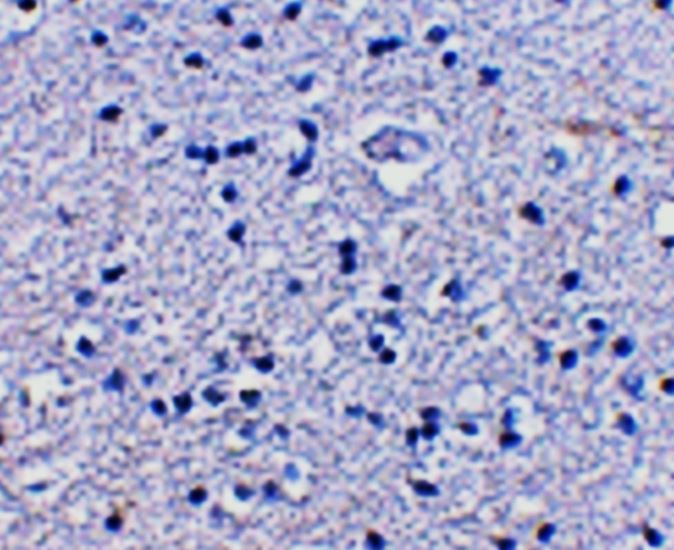
ARG46189 anti-GluK4 antibody IHC-P image
Immunohistochemistry: Human brain stained with ARG46189 anti-GluK4 antibody.
-
ARG46189 anti-GluK4 antibody ICC/IF image
Immunofluorescence: Human brain stained with ARG46189 anti-GluK4 antibody.
-
ARG46189 anti-GluK4 antibody WB image
Western blot: Rat brain stained with ARG46189 anti-GluK4 antibody.
