ARG44668
anti-Glucose 6 phosphate isomerase antibody
anti-Glucose 6 phosphate isomerase antibody for IHC-Formalin-fixed paraffin-embedded sections,Immunoprecipitation,Western blot and Human
Overview
| Product Description | Mouse Monoclonal antibody recognizes Glucose 6 phosphate isomerase |
|---|---|
| Tested Reactivity | Hu |
| Tested Application | IHC-P, IP, WB |
| Host | Mouse |
| Clonality | Monoclonal |
| Isotype | IgG1 |
| Target Name | Glucose 6 phosphate isomerase |
| Antigen Species | Human |
| Conjugation | Un-conjugated |
| Alternate Names | GPI; Glucose-6-Phosphate Isomerase; AMF; NLK; Autocrine Motility Factor; Phosphoglucose Isomerase; Phosphohexose Isomerase; Neuroleukin; EC 5.3.1.9; SA-36; PGI; PHI; Hexose Monophosphate Isomerase; Glucose Phosphate Isomerase; Hexosephosphate Isomerase; Phosphosaccharomutase; Phosphohexomutase; Sperm Antigen-36; Sperm Antigen 36; Oxoisomerase; GNPI; SA36 |
Application Instructions
| Application Suggestion |
|
||||||||
|---|---|---|---|---|---|---|---|---|---|
| Application Note | * The dilutions indicate recommended starting dilutions and the optimal dilutions or concentrations should be determined by the scientist. |
Properties
| Form | Liquid |
|---|---|
| Purification | Protein A purification |
| Buffer | PBS with 0.09% sodium azide |
| Storage Instruction | For continuous use, store undiluted antibody at 2-8°C for up to a week. For long-term storage, aliquot and store at -20°C or below. Storage in frost free freezers is not recommended. Avoid repeated freeze/thaw cycles. Suggest spin the vial prior to opening. The antibody solution should be gently mixed before use. |
| Note | For laboratory research only, not for drug, diagnostic or other use. |
Bioinformation
| Database Links | |
|---|---|
| Gene Symbol | GPI |
| Gene Full Name | Glucose-6-Phosphate Isomerase |
| Background | This gene encodes a member of the glucose phosphate isomerase protein family. The encoded protein has been identified as a moonlighting protein based on its ability to perform mechanistically distinct functions. In the cytoplasm, the gene product functions as a glycolytic enzyme (glucose-6-phosphate isomerase) that interconverts glucose-6-phosphate and fructose-6-phosphate. Extracellularly, the encoded protein (also referred to as neuroleukin) functions as a neurotrophic factor that promotes survival of skeletal motor neurons and sensory neurons, and as a lymphokine that induces immunoglobulin secretion. The encoded protein is also referred to as autocrine motility factor based on an additional function as a tumor-secreted cytokine and angiogenic factor. Defects in this gene are the cause of nonspherocytic hemolytic anemia and a severe enzyme deficiency can be associated with hydrops fetalis, immediate neonatal death and neurological impairment. Alternative splicing results in multiple transcript variants. [provided by RefSeq, Aug 2016] |
| Function | Acts as a neurotrophic factor, neuroleukin, for spinal and sensory neurons. It is secreted by lectin-stimulated T-cells and induces immunoglobulin secretion. [UniProt] |
| Cellular Localization | Cytoplasm, Secreted. [UniProt] |
| Calculated MW | 63 kDa |
| PTM | Acetylation, Hydroxylation, Phosphoprotein, Ubl conjugation. [UniProt] |
Images (3) Click the Picture to Zoom In
-
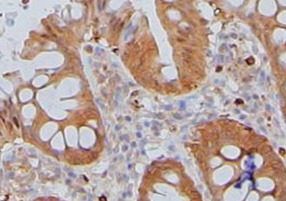
ARG44668 anti-Glucose 6 phosphate isomerase antibody IHC-P image
Immunohistochemistry: Human Colon stained with ARG44668 anti-Glucose 6 phosphate isomerase antibody at 1 µg/mL dilution.
-
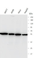
ARG44668 anti-Glucose 6 phosphate isomerase antibody WB image
Western blot: MCF7, A549, HeLa, HepG2 stained with ARG44668 anti-Glucose 6 phosphate isomerase antibody at 1 µg/mL dilution.
-
ARG44668 anti-Glucose 6 phosphate isomerase antibody IP image
Immunoprecipitation: HepG2 lysate immunoprecipitated with 2.5 µg of ARG44668 anti-Glucose 6 phosphate isomerase antibody.
