ARG55691
anti-Glutamine Synthetase antibody
anti-Glutamine Synthetase antibody for IHC-Formalin-fixed paraffin-embedded sections,Western blot and Human,Mouse,Rat
2
Overview
| Product Description | Rabbit Polyclonal antibody recognizes Glutamine Synthetase |
|---|---|
| Tested Reactivity | Hu, Ms, Rat |
| Predict Reactivity | Bov, Chk, Mk, Pig |
| Tested Application | IHC-P, WB |
| Host | Rabbit |
| Clonality | Polyclonal |
| Isotype | IgG |
| Target Name | Glutamine Synthetase |
| Antigen Species | Human |
| Immunogen | KLH-conjugated synthetic peptide corresponding to aa. 70-96 (N-terminus) of Human Glutamine Synthetase. |
| Conjugation | Un-conjugated |
| Alternate Names | GS; PIG43; Glutamate decarboxylase; EC 6.3.1.2; PIG59; Glutamine synthetase; Glutamate--ammonia ligase; GLNS; EC 4.1.1.15 |
Application Instructions
| Application Suggestion |
|
||||||
|---|---|---|---|---|---|---|---|
| Application Note | * The dilutions indicate recommended starting dilutions and the optimal dilutions or concentrations should be determined by the scientist. | ||||||
| Positive Control | Jurkat |
Properties
| Form | Liquid |
|---|---|
| Purification | Purification with Protein A and immunogen peptide. |
| Buffer | PBS and 0.09% (W/V) Sodium azide. |
| Preservative | 0.09% (W/V) Sodium azide. |
| Storage Instruction | For continuous use, store undiluted antibody at 2-8°C for up to a week. For long-term storage, aliquot and store at -20°C or below. Storage in frost free freezers is not recommended. Avoid repeated freeze/thaw cycles. Suggest spin the vial prior to opening. The antibody solution should be gently mixed before use. |
| Note | For laboratory research only, not for drug, diagnostic or other use. |
Bioinformation
| Database Links | |
|---|---|
| Gene Symbol | GLUL |
| Gene Full Name | glutamate-ammonia ligase |
| Background | The protein encoded by this gene belongs to the glutamine synthetase family. It catalyzes the synthesis of glutamine from glutamate and ammonia in an ATP-dependent reaction. This protein plays a role in ammonia and glutamate detoxification, acid-base homeostasis, cell signaling, and cell proliferation. Glutamine is an abundant amino acid, and is important to the biosynthesis of several amino acids, pyrimidines, and purines. Mutations in this gene are associated with congenital glutamine deficiency, and overexpression of this gene was observed in some primary liver cancer samples. There are six pseudogenes of this gene found on chromosomes 2, 5, 9, 11, and 12. Alternative splicing results in multiple transcript variants. [provided by RefSeq, Dec 2014] |
| Function | This enzyme has 2 functions: it catalyzes the production of glutamine and 4-aminobutanoate (gamma-aminobutyric acid, GABA), the latter in a pyridoxal phosphate-independent manner (By similarity). Essential for proliferation of fetal skin fibroblasts. [UniProt] |
| Cellular Localization | Cytoplasm. Mitochondrion. |
| Highlight | Related products: Glutamine Synthetase antibodies; Anti-Rabbit IgG secondary antibodies; Related news: Switching identity, the potential of regenerative medicine? |
| Calculated MW | 42 kDa |
| PTM | Ubiquitinated by ZNRF1. |
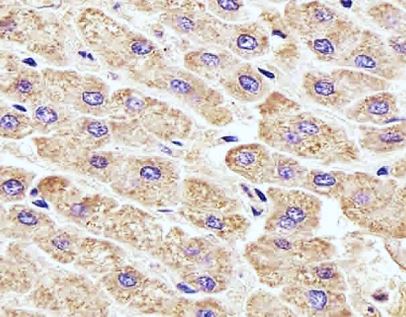
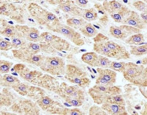
Images (2) Click the Picture to Zoom In
-
ARG55691 anti-Glutamine Synthetase antibody IHC-P image
Immunohistochemistry: Paraffin-embedded Human liver tissue stained with ARG55691 anti-Glutamine Synthetase antibody at 1:25 dilution.
-
ARG55691 anti-Glutamine Synthetase antibody WB image
Western blot: 20 µg of Jurkat cell lysate stained with ARG55691 anti-Glutamine Synthetase antibody at 1:1000 dilution.
Customer's Feedback
Good
Average
