ARG58930
anti-Glutaredoxin 2 antibody
anti-Glutaredoxin 2 antibody for Flow cytometry,IHC-Formalin-fixed paraffin-embedded sections,Western blot and Human,Mouse,Rat
Overview
| Product Description | Rabbit Polyclonal antibody recognizes Glutaredoxin 2 |
|---|---|
| Tested Reactivity | Hu, Ms, Rat |
| Tested Application | FACS, IHC-P, WB |
| Host | Rabbit |
| Clonality | Polyclonal |
| Isotype | IgG |
| Target Name | Glutaredoxin 2 |
| Antigen Species | Human |
| Immunogen | KLH-conjugated synthetic peptide corresponding to aa. 120-146 of Human Glutaredoxin 2. |
| Conjugation | Un-conjugated |
| Alternate Names | CGI-133; GRX2; Glutaredoxin-2, mitochondrial |
Application Instructions
| Application Suggestion |
|
||||||||
|---|---|---|---|---|---|---|---|---|---|
| Application Note | * The dilutions indicate recommended starting dilutions and the optimal dilutions or concentrations should be determined by the scientist. | ||||||||
| Positive Control | Mouse testis |
Properties
| Form | Liquid |
|---|---|
| Purification | Purification with Protein A and immunogen peptide. |
| Buffer | PBS and 0.09% (W/V) Sodium azide. |
| Preservative | 0.09% (W/V) Sodium azide |
| Storage Instruction | For continuous use, store undiluted antibody at 2-8°C for up to a week. For long-term storage, aliquot and store at -20°C or below. Storage in frost free freezers is not recommended. Avoid repeated freeze/thaw cycles. Suggest spin the vial prior to opening. The antibody solution should be gently mixed before use. |
| Note | For laboratory research only, not for drug, diagnostic or other use. |
Bioinformation
| Database Links | |
|---|---|
| Gene Symbol | GLRX2 |
| Gene Full Name | glutaredoxin 2 |
| Background | The protein encoded by this gene is a member of the glutaredoxin family of proteins, which maintain cellular thiol homeostasis. These proteins are thiol-disulfide oxidoreductases that use a glutathione-binding site and one or two active cysteines in their active site. This gene undergoes alternative splicing to produce multiple isoforms, one of which is ubiquitously expressed and localizes to mitochondria, where it functions in mitochondrial redox homeostasis and is important for the protection against and recovery from oxidative stress. Other isoforms, which have more restrictive expression patterns, show cytosolic and nuclear localization, and are thought to function in cellular differentiation and transformation, possibly with a role in tumor progression. [provided by RefSeq, Aug 2011] |
| Function | Glutathione-dependent oxidoreductase that facilitates the maintenance of mitochondrial redox homeostasis upon induction of apoptosis by oxidative stress. Involved in response to hydrogen peroxide and regulation of apoptosis caused by oxidative stress. Acts as a very efficient catalyst of monothiol reactions because of its high affinity for protein glutathione-mixed disulfides. Can receive electrons not only from glutathione (GSH), but also from thioredoxin reductase supporting both monothiol and dithiol reactions. Efficiently catalyzes both glutathionylation and deglutathionylation of mitochondrial complex I, which in turn regulates the superoxide production by the complex. Overexpression decreases the susceptibility to apoptosis and prevents loss of cardiolipin and cytochrome c release. [UniProt] |
| Cellular Localization | Isoform 1: Mitochondrion; Isoform 2: Nucleus. [UniProt] |
| Calculated MW | 18 kDa |
Images (3) Click the Picture to Zoom In
-
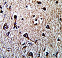
ARG58930 anti-Glutaredoxin 2 antibody IHC-P image
Immunohistochemistry: Formalin-fixed and paraffin-embedded Human brain tissue stained with ARG58930 anti-Glutaredoxin 2 antibody.
-
ARG58930 anti-Glutaredoxin 2 antibody WB image
Western blot: 20 µg of Mouse testis lysate stained with ARG58930 anti-Glutaredoxin 2 antibody at 1:1000 dilution.
-
ARG58930 anti-Glutaredoxin 2 antibody FACS image
Flow Cytometry: HeLa cells stained with ARG58930 anti-Glutaredoxin 2 antibody (bottom histogram) or without primary antibody as control (top histogram), followed by incubation with FITC labelled secondary antibody.
