ARG55587
anti-Glycerol kinase 2 antibody
anti-Glycerol kinase 2 antibody for IHC-Formalin-fixed paraffin-embedded sections,Western blot and Human
Metabolism antibody; Signaling Transduction antibody
Overview
| Product Description | Rabbit Polyclonal antibody recognizes Glycerol kinase 2 |
|---|---|
| Tested Reactivity | Hu |
| Predict Reactivity | Bov, Mk |
| Tested Application | IHC-P, WB |
| Host | Rabbit |
| Clonality | Polyclonal |
| Isotype | IgG |
| Target Name | Glycerol kinase 2 |
| Antigen Species | Human |
| Immunogen | KLH-conjugated synthetic peptide corresponding to aa. 487-515 (C-terminus) of Human Glycerol kinase 2. |
| Conjugation | Un-conjugated |
| Alternate Names | Glycerol kinase, testis specific 2; GKP2; Glycerol kinase 2; EC 2.7.1.30; GKTA; Glycerokinase 2; GK 2; ATP:glycerol 3-phosphotransferase 2 |
Application Instructions
| Application Suggestion |
|
||||||
|---|---|---|---|---|---|---|---|
| Application Note | * The dilutions indicate recommended starting dilutions and the optimal dilutions or concentrations should be determined by the scientist. | ||||||
| Positive Control | Jurkat |
Properties
| Form | Liquid |
|---|---|
| Purification | Purification with Protein G. |
| Buffer | PBS and 0.09% (W/V) Sodium azide |
| Preservative | 0.09% (W/V) Sodium azide |
| Storage Instruction | For continuous use, store undiluted antibody at 2-8°C for up to a week. For long-term storage, aliquot and store at -20°C or below. Storage in frost free freezers is not recommended. Avoid repeated freeze/thaw cycles. Suggest spin the vial prior to opening. The antibody solution should be gently mixed before use. |
| Note | For laboratory research only, not for drug, diagnostic or other use. |
Bioinformation
| Database Links | |
|---|---|
| Gene Symbol | GK2 |
| Gene Full Name | glycerol kinase 2 |
| Function | Key enzyme in the regulation of glycerol uptake and metabolism. [UniProt] |
| Cellular Localization | Mitochondrion outer membrane; Peripheral membrane protein; Cytoplasmic side. Cytoplasm. Note=In sperm the majority of the enzyme is bound to mitochondria. |
| Research Area | Metabolism antibody; Signaling Transduction antibody |
| Calculated MW | 61 kDa |
Images (2) Click the Picture to Zoom In
-
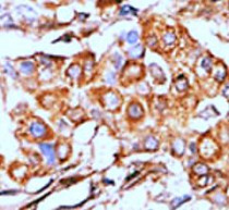
ARG55587 anti-Glycerol kinase 2 antibody IHC-P image
Immunohistochemistry: Formalin-fixed and paraffin-embedded Human breast carcinoma tissue stained with ARG55587 anti-Glycerol kinase 2 antibody.
-
ARG55587 anti-Glycerol kinase 2 antibody WB image
Western blot: Jurkat cell lysate stained with ARG55587 anti-Glycerol kinase 2 antibody.
