ARG58794
anti-Glycerol kinase antibody
anti-Glycerol kinase antibody for IHC-Formalin-fixed paraffin-embedded sections,Western blot and Human,Mouse,Rat
Overview
| Product Description | Rabbit Polyclonal antibody recognizes Glycerol kinase |
|---|---|
| Tested Reactivity | Hu, Ms, Rat |
| Tested Application | IHC-P, WB |
| Host | Rabbit |
| Clonality | Polyclonal |
| Isotype | IgG |
| Target Name | Glycerol kinase |
| Antigen Species | Human |
| Immunogen | Recombinant protein corresponding to M1-S180 of Human Glycerol kinase. |
| Conjugation | Un-conjugated |
| Alternate Names | Glycerokinase; ATP:glycerol 3-phosphotransferase; Glycerol kinase; GK1; EC 2.7.1.30; GK; GKD |
Application Instructions
| Application Suggestion |
|
||||||
|---|---|---|---|---|---|---|---|
| Application Note | IHC-P: Antigen Retrieval: Heat mediated was performed in Citrate buffer (pH 6.0) for 20 min. * The dilutions indicate recommended starting dilutions and the optimal dilutions or concentrations should be determined by the scientist. |
Properties
| Form | Liquid |
|---|---|
| Purification | Affinity purification with immunogen. |
| Buffer | 0.9% NaCl, 0.2% Na2HPO4, 0.05% Sodium azide and 4% Trehalose. |
| Preservative | 0.05% Sodium azide |
| Stabilizer | 4% Trehalose |
| Concentration | 0.5 mg/ml |
| Storage Instruction | For continuous use, store undiluted antibody at 2-8°C for up to a week. For long-term storage, aliquot and store at -20°C or below. Storage in frost free freezers is not recommended. Avoid repeated freeze/thaw cycles. Suggest spin the vial prior to opening. The antibody solution should be gently mixed before use. |
| Note | For laboratory research only, not for drug, diagnostic or other use. |
Bioinformation
| Database Links | |
|---|---|
| Gene Symbol | GK |
| Gene Full Name | glycerol kinase |
| Background | The protein encoded by this gene belongs to the FGGY kinase family. This protein is a key enzyme in the regulation of glycerol uptake and metabolism. It catalyzes the phosphorylation of glycerol by ATP, yielding ADP and glycerol-3-phosphate. Mutations in this gene are associated with glycerol kinase deficiency (GKD). Alternatively spliced transcript variants encoding different isoforms have been found for this gene. [provided by RefSeq, Mar 2011] |
| Function | Key enzyme in the regulation of glycerol uptake and metabolism. [UniProt] |
| Cellular Localization | Mitochondrion outer membrane; In sperm and fetal tissues, the majority of the enzyme is bound to mitochondria, but in adult tissues, such as liver found in the cytoplasm. [UniProt] |
| Calculated MW | 61 kDa |
Images (3) Click the Picture to Zoom In
-
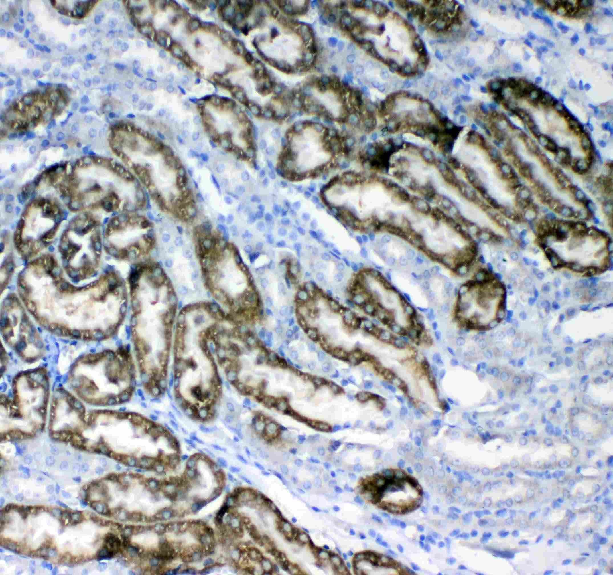
ARG58794 anti-Glycerol kinase antibody IHC-P image
Immunohistochemistry: Paraffin-embedded Mouse kidney tissue. Antigen Retrieval: Heat mediated was performed in Citrate buffer (pH 6.0, epitope retrieval solution) for 20 min. The tissue section was blocked with 10% goat serum. The tissue section was then stained with ARG58794 anti-Glycerol kinase antibody at 1 µg/ml, overnight at 4°C.
-
ARG58794 anti-Glycerol kinase antibody WB image
Western blot: 50 µg of samples under reducing conditions. Human placenta, HepG2, SW579, SK-OV-3, U-87MG whole cell lysates and Rat testis lysates stained with ARG58794 anti-Glycerol kinase antibody at 0.5 µg/ml, overnight at 4°C.
-
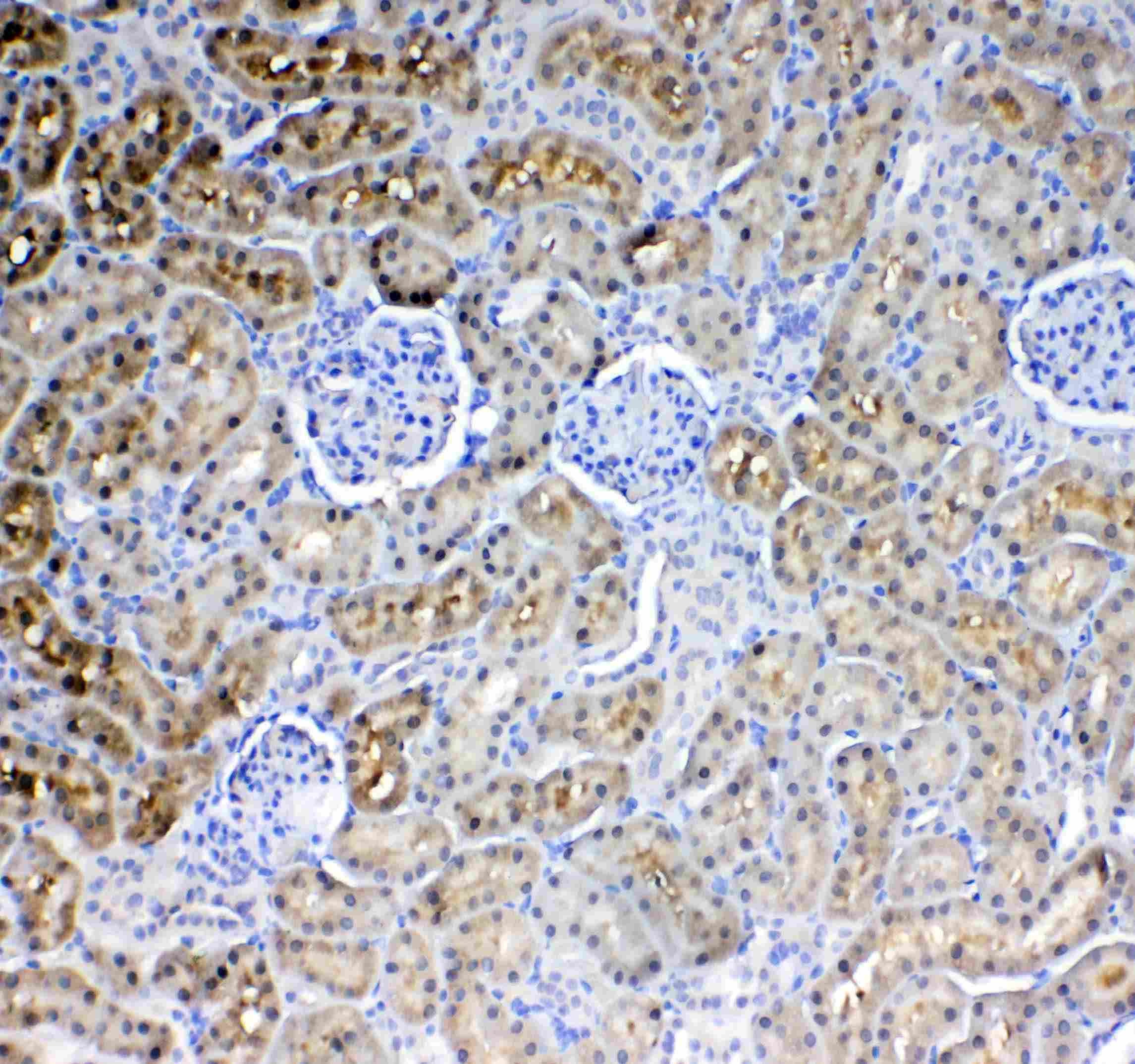
ARG58794 anti-Glycerol kinase antibody IHC-P image
Immunohistochemistry: Paraffin-embedded Rat kidney tissue. Antigen Retrieval: Heat mediated was performed in Citrate buffer (pH 6.0, epitope retrieval solution) for 20 min. The tissue section was blocked with 10% goat serum. The tissue section was then stained with ARG58794 anti-Glycerol kinase antibody at 1 µg/ml, overnight at 4°C.
