ARG45891
anti-Glypican 1 / GPC1 antibody
anti-Glypican 1 / GPC1 antibody for Western blot,IHC-Formalin-fixed paraffin-embedded sections and Human,Mouse,Rat
Overview
| Product Description | Rabbit Polyclonal antibody recognizes Glypican 1 / GPC1 |
|---|---|
| Tested Reactivity | Hu, Ms, Rat |
| Tested Application | IHC-P, WB |
| Host | Rabbit |
| Clonality | Polyclonal |
| Isotype | IgG |
| Target Name | Glypican 1 / GPC1 |
| Antigen Species | Human |
| Immunogen | Recombinant protein containing to human Glypican 1 / GPC1. |
| Conjugation | Un-conjugated |
| Alternate Names | Glypican 1; GPC1; Glypican-1 [Cleaved into: Secreted glypican-1] |
Application Instructions
| Application Suggestion |
|
||||||
|---|---|---|---|---|---|---|---|
| Application Note | * The dilutions indicate recommended starting dilutions and the optimal dilutions or concentrations should be determined by the scientist. | ||||||
| Observed Size | 62 kDa |
Properties
| Form | Liquid |
|---|---|
| Purification | Affinity chromatography purified |
| Buffer | 0.2% Na2HPO4, 0.9% NaCl and 4% Trehalose. |
| Stabilizer | 4% Trehalose |
| Concentration | 0.5 mg/ml |
| Storage Instruction | For continuous use, store undiluted antibody at 2-8°C for up to a week. For long-term storage, aliquot and store at -22°C or below. Storage in frost free freezers is not recommended. Avoid repeated freeze/thaw cycles. Suggest spin the vial prior to opening. The antibody solution should be gently mixed before use. |
| Note | For laboratory research only, not for drug, diagnostic or other use. |
Bioinformation
| Database Links | |
|---|---|
| Gene Symbol | GPC1 |
| Gene Full Name | Glypican 1 |
| Background | Cell surface heparan sulfate proteoglycans are composed of a membrane-associated protein core substituted with a variable number of heparan sulfate chains. Members of the glypican-related integral membrane proteoglycan family (GRIPS) contain a core protein anchored to the cytoplasmic membrane via a glycosyl phosphatidylinositol linkage. These proteins may play a role in the control of cell division and growth regulation. [provided by RefSeq, Jul 2008] |
| Function | Cell surface proteoglycan that bears heparan sulfate. Binds, via the heparan sulfate side chains, alpha-4 (V) collagen and participates in Schwann cell myelination (By similarity). [UniProt] |
| Cellular Localization | Cell membrane; Endosome; Membrane; Secreted. [UniProt] |
| Calculated MW | 62 kDa |
| PTM | Disulfide bond; Glycoprotein; GPI-anchor; Heparan sulfate; Lipoprotein; Proteoglycan; S-nitrosylation. [UniProt] |
Images (4) Click the Picture to Zoom In
-
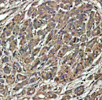
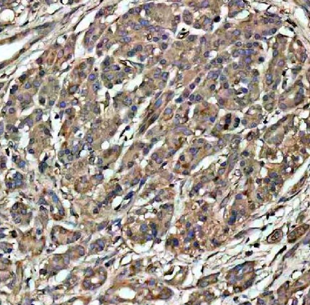
ARG45891 anti-Glypican 1 / GPC1 antibody IHC-P image
Immunohistochemistry: Human pancreas cancer stained with ARG45891 anti-Glypican 1 / GPC1 antibody at 2 μg/ml dilution.
-
ARG45891 anti-Glypican 1 / GPC1 antibody WB image
Western blot: A431 stained with ARG45891 anti-Glypican 1 / GPC1 antibody at 0.5 μg/ml dilution.
-
ARG45891 anti-Glypican 1 / GPC1 antibody WB image
Western blot: Rat heart stained with ARG45891 anti-Glypican 1 / GPC1 antibody at 0.5 μg/ml dilution.
-
ARG45891 anti-Glypican 1 / GPC1 antibody WB image
Western blot: Mouse heart stained with ARG45891 anti-Glypican 1 / GPC1 antibody at 0.5 μg/ml dilution.
