ARG55231
anti-H Cadherin antibody
anti-H Cadherin antibody for Flow cytometry,IHC-Formalin-fixed paraffin-embedded sections,Western blot and Human
Cancer antibody; Signaling Transduction antibody
Overview
| Product Description | Rabbit Polyclonal antibody recognizes H Cadherin |
|---|---|
| Tested Reactivity | Hu |
| Predict Reactivity | Ms, Chk |
| Tested Application | FACS, IHC-P, WB |
| Host | Rabbit |
| Clonality | Polyclonal |
| Isotype | IgG |
| Target Name | H Cadherin |
| Antigen Species | Human |
| Immunogen | KLH-conjugated synthetic peptide corresponding to aa. 589-617 (C-terminus) of Human H Cadherin. |
| Conjugation | Un-conjugated |
| Alternate Names | CDHH; H-cadherin; P105; Cadherin-13; Truncated cadherin; T-cad; Heart cadherin; T-cadherin |
Application Instructions
| Application Suggestion |
|
||||||||
|---|---|---|---|---|---|---|---|---|---|
| Application Note | * The dilutions indicate recommended starting dilutions and the optimal dilutions or concentrations should be determined by the scientist. | ||||||||
| Positive Control | Human brain |
Properties
| Form | Liquid |
|---|---|
| Purification | Purification with Protein A and immunogen peptide. |
| Buffer | PBS and 0.09% (W/V) Sodium azide |
| Preservative | 0.09% (W/V) Sodium azide |
| Storage Instruction | For continuous use, store undiluted antibody at 2-8°C for up to a week. For long-term storage, aliquot and store at -20°C or below. Storage in frost free freezers is not recommended. Avoid repeated freeze/thaw cycles. Suggest spin the vial prior to opening. The antibody solution should be gently mixed before use. |
| Note | For laboratory research only, not for drug, diagnostic or other use. |
Bioinformation
| Database Links | |
|---|---|
| Gene Symbol | CDH13 |
| Gene Full Name | cadherin 13 |
| Background | This gene encodes a member of the cadherin superfamily. The encoded protein is localized to the surface of the cell membrane and is anchored by a GPI moiety, rather than by a transmembrane domain. The protein lacks the cytoplasmic domain characteristic of other cadherins, and so is not thought to be a cell-cell adhesion glycoprotein. This protein acts as a negative regulator of axon growth during neural differentiation. It also protects vascular endothelial cells from apoptosis due to oxidative stress, and is associated with resistance to atherosclerosis. The gene is hypermethylated in many types of cancer. Alternative splicing results in multiple transcript variants encoding different isoforms. [provided by RefSeq, May 2011] |
| Function | Cadherins are calcium-dependent cell adhesion proteins. They preferentially interact with themselves in a homophilic manner in connecting cells; cadherins may thus contribute to the sorting of heterogeneous cell types. May act as a negative regulator of neural cell growth. [UniProt] |
| Cellular Localization | Cell membrane; Lipid-anchor, GPI-anchor. |
| Research Area | Cancer antibody; Signaling Transduction antibody |
| Calculated MW | 78 kDa |
Images (3) Click the Picture to Zoom In
-
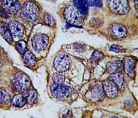
ARG55231 anti-H Cadherin antibody IHC-P image
Immunohistochemistry: Formalin-fixed and paraffin-embedded Human breast carcinoma tissue stained with ARG55231 anti-H Cadherin antibody.
-
ARG55231 anti-H Cadherin antibody WB image
Western blot: 35 µg of Human brain lysate stained with ARG55231 anti-H Cadherin antibody at 1:1000 dilution.
-
ARG55231 anti-H Cadherin antibody FACS image
Flow Cytometry: MCF-7 cells stained with ARG55231 anti-H Cadherin antibody (bottom histogram) or without primary antibody control (top histogram), followed by incubation with FITC labelled secondary antibody.
