ARG67300
anti-H-FABP / Cardiac FABP antibody [SQab30395]
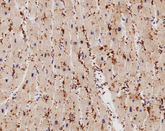
anti-H-FABP / Cardiac FABP antibody [SQab30395] for IHC-Formalin-fixed paraffin-embedded sections and Human
Overview
| Product Description | Recombinant Rabbit Monoclonal antibody [SQab30395] recognizes H-FABP / Cardiac FABP |
|---|---|
| Tested Reactivity | Hu |
| Tested Application | IHC-P |
| Host | Rabbit |
| Clonality | Monoclonal |
| Clone | SQab30395 |
| Isotype | IgG |
| Target Name | H-FABP / Cardiac FABP |
| Immunogen | Synthetic peptide |
| Conjugation | Un-conjugated |
| Alternate Names | FABP11; H-FABP; O-FABP; Heart-type fatty acid-binding protein; MDGI; Fatty acid-binding protein 3; Muscle fatty acid-binding protein; Mammary-derived growth inhibitor; Fatty acid-binding protein, heart; M-FABP |
Application Instructions
| Application Suggestion |
|
||||
|---|---|---|---|---|---|
| Application Note | IHC-P: Antigen Retrieval: Heat mediation was performed in Tris/EDTA buffer (pH 9.0). * The dilutions indicate recommended starting dilutions and the optimal dilutions or concentrations should be determined by the scientist. |
Properties
| Form | Liquid |
|---|---|
| Purification | Affinity chromatography purified |
| Buffer | PBS, 0.01% Sodium azide, 40% Glycerol and 0.05% BSA. |
| Preservative | 0.01% Sodium azide |
| Stabilizer | 40% Glycerol and 0.05% BSA |
| Storage Instruction | For continuous use, store undiluted antibody at 2-8°C for up to a week. For long-term storage, aliquot and store at -20°C or below. Storage in frost free freezers is not recommended. Avoid repeated freeze/thaw cycles. Suggest spin the vial prior to opening. The antibody solution should be gently mixed before use. |
| Note | For laboratory research only, not for drug, diagnostic or other use. |
Bioinformation
| Database Links | |
|---|---|
| Gene Symbol | FABP3 |
| Gene Full Name | fatty acid binding protein 3, muscle and heart |
| Background | The intracellular fatty acid-binding proteins (FABPs) belongs to a multigene family. FABPs are divided into at least three distinct types, namely the hepatic-, intestinal- and cardiac-type. They form 14-15 kDa proteins and are thought to participate in the uptake, intracellular metabolism and/or transport of long-chain fatty acids. They may also be responsible in the modulation of cell growth and proliferation. Fatty acid-binding protein 3 gene contains four exons and its function is to arrest growth of mammary epithelial cells. This gene is a candidate tumor suppressor gene for human breast cancer. Alternative splicing results in multiple transcript variants. [provided by RefSeq, Mar 2016] |
| Function | FABP are thought to play a role in the intracellular transport of long-chain fatty acids and their acyl-CoA esters. [UniProt] |
| Cellular Localization | Cytoplasm. [UniProt] |
| Calculated MW | 15 kDa |
Images (1) Click the Picture to Zoom In
