ARG63276
anti-H11 / Hsp22 antibody
anti-H11 / Hsp22 antibody for IHC-Formalin-fixed paraffin-embedded sections,Western blot and Human
Neuroscience antibody; Signaling Transduction antibody
Overview
| Product Description | Goat Polyclonal antibody recognizes H11 / Hsp22 |
|---|---|
| Tested Reactivity | Hu |
| Tested Application | IHC-P, WB |
| Host | Goat |
| Clonality | Polyclonal |
| Isotype | IgG |
| Target Name | H11 / Hsp 22 |
| Antigen Species | Human |
| Immunogen | NELPQDSQEVTCT |
| Conjugation | Un-conjugated |
| Alternate Names | E2-induced gene 1 protein; E2IG1; Protein kinase H11; HMN2; HMN2A; H11; Alpha-crystallin C chain; CMT2L; Small stress protein-like protein HSP22; HspB8; DHMN2; HSP22; Heat shock protein beta-8 |
Application Instructions
| Application Suggestion |
|
||||||
|---|---|---|---|---|---|---|---|
| Application Note | WB: Recommend incubate at RT for 1h. IHC-P: Antigen Retrieval: Steam tissue section in Citrate buffer (pH 6.0). * The dilutions indicate recommended starting dilutions and the optimal dilutions or concentrations should be determined by the scientist. |
Properties
| Form | Liquid |
|---|---|
| Purification | Purified from goat serum by antigen affinity chromatography. |
| Buffer | Tris saline (pH 7.3), 0.02% Sodium azide and 0.5% BSA. |
| Preservative | 0.02% Sodium azide |
| Stabilizer | 0.5% BSA |
| Concentration | 0.5 mg/ml |
| Storage Instruction | For continuous use, store undiluted antibody at 2-8°C for up to a week. For long-term storage, aliquot and store at -20°C or below. Storage in frost free freezers is not recommended. Avoid repeated freeze/thaw cycles. Suggest spin the vial prior to opening. The antibody solution should be gently mixed before use. |
| Note | For laboratory research only, not for drug, diagnostic or other use. |
Bioinformation
| Database Links | |
|---|---|
| Background | The protein encoded by this gene belongs to the superfamily of small heat-shock proteins containing a conservative alpha-crystallin domain at the C-terminal part of the molecule. The expression of this gene in induced by estrogen in estrogen receptor-positive breast cancer cells, and this protein also functions as a chaperone in association with Bag3, a stimulator of macroautophagy. Thus, this gene appears to be involved in regulation of cell proliferation, apoptosis, and carcinogenesis, and mutations in this gene have been associated with different neuromuscular diseases, including Charcot-Marie-Tooth disease. [provided by RefSeq, Jul 2008] |
| Research Area | Neuroscience antibody; Signaling Transduction antibody |
| Calculated MW | 22 kDa |
Images (3) Click the Picture to Zoom In
-
ARG63276 anti-H11 / Hsp22 antibody WB image
Western blot: Human muscle lysate (RIPA buffer, 30µg total protein per lane) stained with ARG63276 anti-H11 / Hsp22 antibody at 1 µg/ml dilution.
-
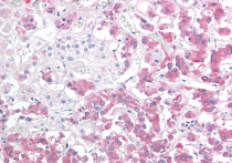
ARG63276 anti-H11 / Hsp22 antibody IHC-P image
Immunohistochemistry: Paraffin-embedded Human adrenal gland tissue. Antigen Retrieval: Steam tissue section in Citrate buffer (pH 6.0). The tissue section was stained with ARG63276 anti-H11 / Hsp22 antibody at 10 µg/ml dilution followed by AP-staining.
-
ARG63276 anti-H11 / Hsp22 antibody IHC-P image
Immunohistochemistry: Paraffin-embedded Human tonsil tissue. Antigen Retrieval: Steam tissue section in Citrate buffer (pH 6.0). The tissue section was stained with ARG63276 anti-H11 / Hsp22 antibody at 10 µg/ml dilution followed by AP-staining.
