ARG58926
anti-HBA2 / Hemoglobin Subunit Alpha 2 antibody
anti-HBA2 / Hemoglobin Subunit Alpha 2 antibody for Flow cytometry,IHC-Formalin-fixed paraffin-embedded sections,Western blot and Human,Mouse
Overview
| Product Description | Rabbit Polyclonal antibody recognizes HBA2 / Hemoglobin Subunit Alpha 2 |
|---|---|
| Tested Reactivity | Hu, Ms |
| Predict Reactivity | Mk |
| Tested Application | FACS, IHC-P, WB |
| Host | Rabbit |
| Clonality | Polyclonal |
| Isotype | IgG |
| Target Name | HBA2 / Hemoglobin Subunit Alpha 2 |
| Antigen Species | Human |
| Immunogen | KLH-conjugated synthetic peptide corresponding to aa. 100-128 of Human HBA2. |
| Conjugation | Un-conjugated |
| Alternate Names | HBA2; Hemoglobin Subunit Alpha 2; HBA-T2; Hemoglobin Subunit Alpha; Hemoglobin Alpha Chain; Hemoglobin, Alpha 2; Mutant Hemoglobin Alpha 2 Globin Chain; Alpha-2 Globin; Alpha Globin; Alpha-Globin; ECYT7; HBH |
Application Instructions
| Application Suggestion |
|
||||||||
|---|---|---|---|---|---|---|---|---|---|
| Application Note | * The dilutions indicate recommended starting dilutions and the optimal dilutions or concentrations should be determined by the scientist. | ||||||||
| Positive Control | Human fetal heart |
Properties
| Form | Liquid |
|---|---|
| Purification | Purification with Protein A and immunogen peptide. |
| Buffer | PBS and 0.09% (W/V) Sodium azide. |
| Preservative | 0.09% (W/V) Sodium azide. |
| Storage Instruction | For continuous use, store undiluted antibody at 2-8°C for up to a week. For long-term storage, aliquot and store at -20°C or below. Storage in frost free freezers is not recommended. Avoid repeated freeze/thaw cycles. Suggest spin the vial prior to opening. The antibody solution should be gently mixed before use. |
| Note | For laboratory research only, not for drug, diagnostic or other use. |
Bioinformation
| Gene Symbol | HBA2 |
|---|---|
| Gene Full Name | Hemoglobin Subunit Alpha 2 |
| Background | The human alpha globin gene cluster located on chromosome 16 spans about 30 kb and includes seven loci: 5'- zeta - pseudozeta - mu - pseudoalpha-1 - alpha-2 - alpha-1 - theta - 3'. The alpha-2 (HBA2) and alpha-1 (HBA1) coding sequences are identical. These genes differ slightly over the 5' untranslated regions and the introns, but they differ significantly over the 3' untranslated regions. Two alpha chains plus two beta chains constitute HbA, which in normal adult life comprises about 97% of the total hemoglobin; alpha chains combine with delta chains to constitute HbA-2, which with HbF (fetal hemoglobin) makes up the remaining 3% of adult hemoglobin. Alpha thalassemias result from deletions of each of the alpha genes as well as deletions of both HBA2 and HBA1; some nondeletion alpha thalassemias have also been reported. [provided by RefSeq, Jul 2008] |
| Function | Involved in oxygen transport from the lung to the various peripheral tissues. [UniProt] |
| Calculated MW | 15 kDa |
| PTM | The initiator Met is not cleaved in variant Thionville and is acetylated. [UniProt] |
Images (3) Click the Picture to Zoom In
-
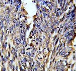
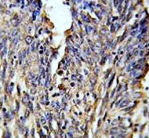
ARG58926 anti-HBA2 / Hemoglobin Subunit Alpha 2 antibody IHC-P image
Immunohistochemistry: Formalin-fixed and paraffin-embedded Human lung carcinoma stained with ARG58926 anti-HBA2 / Hemoglobin Subunit Alpha 2 antibody antibody.
-
ARG58926 anti-HBA2 / Hemoglobin Subunit Alpha 2 antibody WB image
Western blot: 20 µg of Human fetal heart lysate stained with ARG58926 anti-HBA2 / Hemoglobin Subunit Alpha 2 antibody at 1:2000 dilution.
-
ARG58926 anti-HBA2 / Hemoglobin Subunit Alpha 2 antibody FACS image
Flow Cytometry: K562 cells were fixed with 2% paraformaldehyde (10 min) and then permeabilized with 90% methanol for 10 min. The cells were then incubated in 2% BSA to block non-specific protein-protein interactions followed by ARG58926 anti-HBA2 / Hemoglobin Subunit Alpha 2 antibody (right histogram) at 1:25, 60 min at 37°C or an isotype control antibody (left histogram), followed by incubation with DyLight® 488 labelled secondary antibody.
