ARG45304
anti-HCE antibody
anti-HCE antibody for Flow cytometry,ICC/IF,IHC-Formalin-fixed paraffin-embedded sections,Western blot and Human
Overview
| Product Description | Polyclonal antibody recognizes HCE |
|---|---|
| Tested Reactivity | Hu |
| Tested Application | FACS, ICC/IF, IHC-P, WB |
| Host | Rabbit |
| Clonality | Polyclonal |
| Isotype | IgG |
| Target Name | HCE |
| Antigen Species | Human |
| Immunogen | Recombinant protein containing to human HCE. |
| Conjugation | Un-conjugated |
| Alternate Names | RNGTT; RNA Guanylyltransferase And 5'-Phosphatase; HCE; HCE1; HCAP; MRNA-Capping Enzyme; CAP1A; HCAP1 |
Application Instructions
| Application Suggestion |
|
||||||||||
|---|---|---|---|---|---|---|---|---|---|---|---|
| Application Note | * The dilutions indicate recommended starting dilutions and the optimal dilutions or concentrations should be determined by the scientist. | ||||||||||
| Observed Size | 69 kDa |
Properties
| Form | Liquid |
|---|---|
| Purification | Affinity purification with immunogen. |
| Buffer | 0.2% Na2HPO4, 0.9% NaCl and 4% Trehalose. |
| Stabilizer | 4% Trehalose |
| Concentration | 0.5 mg/ml |
| Storage Instruction | For continuous use, store undiluted antibody at 2-8°C for up to a week. For long-term storage, aliquot and store at -20°C or below. Storage in frost free freezers is not recommended. Avoid repeated freeze/thaw cycles. Suggest spin the vial prior to opening. The antibody solution should be gently mixed before use. |
| Note | For laboratory research only, not for drug, diagnostic or other use. |
Bioinformation
| Database Links | |
|---|---|
| Gene Symbol | RNGTT |
| Gene Full Name | RNA Guanylyltransferase And 5'-Phosphatase |
| Background | Enables inorganic triphosphate phosphatase activity and mRNA guanylyltransferase activity. Involved in 7-methylguanosine mRNA capping. Predicted to be located in nucleoplasm. [provided by Alliance of Genome Resources, Nov 2024] |
| Function | Bifunctional mRNA-capping enzyme exhibiting RNA 5'-triphosphate monophosphatase activity in the N-terminal part and mRNA guanylyltransferase activity in the C-terminal part. Catalyzes the first two steps of cap formation: by removing the gamma-phosphate from the 5'-triphosphate end of nascent mRNA to yield a diphosphate end, and by transferring the GMP moiety of GTP to the 5'-diphosphate terminus of RNA via a covalent enzyme-GMP reaction intermediate. [UniProt] |
| Cellular Localization | Nucleus. [UniProt] |
| Calculated MW | 69 kDa |
Images (4) Click the Picture to Zoom In
-
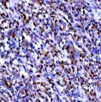
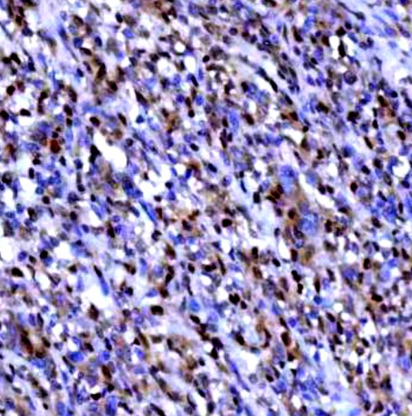
ARG45304 anti-HCE antibody IHC-P image
Immunohistochemistry: Human intestine stained with ARG45304 anti-HCE antibody at 2 μg/ml dilution.
-
ARG45304 anti-HCE antibody ICC/IF image
Immunofluorescence: SiHa stained with ARG45304 anti-HCE antibody at 5 ug/ml dilution.
-
ARG45304 anti-HCE antibody WB image
Western blot: Jurkat and HEL stained with ARG45304 anti-HCE antibody at 0.5 μg/ml dilution.
-
ARG45304 anti-HCE antibody FACS image
Flow Cytometry: SiHa stained with ARG45304 anti-HCE antibody at 1 µg/10^6 cells dilution.
