ARG51686
anti-HDAC2 phospho (Ser394) antibody
anti-HDAC2 phospho (Ser394) antibody for ICC/IF,IHC-Formalin-fixed paraffin-embedded sections,Western blot and Human,Mouse,Rat
Cell Biology and Cellular Response antibody; Developmental Biology antibody; Gene Regulation antibody; Signaling Transduction antibody
Overview
| Product Description | Rabbit Polyclonal antibody recognizes HDAC2 phospho (Ser394) |
|---|---|
| Tested Reactivity | Hu, Ms, Rat |
| Tested Application | ICC/IF, IHC-P, WB |
| Host | Rabbit |
| Clonality | Polyclonal |
| Isotype | IgG |
| Target Name | HDAC2 |
| Antigen Species | Human |
| Immunogen | Peptide sequence around phosphorylation site of serine 394 (E-D-S(p)-G-D) derived from Human HDAC2. |
| Conjugation | Un-conjugated |
| Alternate Names | Histone deacetylase 2; EC 3.5.1.98; HD2; YAF1; RPD3 |
Application Instructions
| Application Suggestion |
|
||||||||
|---|---|---|---|---|---|---|---|---|---|
| Application Note | * The dilutions indicate recommended starting dilutions and the optimal dilutions or concentrations should be determined by the scientist. |
Properties
| Form | Liquid |
|---|---|
| Purification | Antibodies were produced by immunizing rabbits with KLH-conjugated synthetic phosphopeptide. Antibodies were purified by affinity-chromatography using epitope-specific phosphopeptide. In addition, non-phospho specific antibodies were removed by chromatogramphy using non-phosphopeptide. |
| Buffer | PBS (without Mg2+ and Ca2+, pH 7.4), 150mM NaCl, 0.02% Sodium azide and 50% Glycerol. |
| Preservative | 0.02% Sodium azide |
| Stabilizer | 50% Glycerol |
| Concentration | 1 mg/ml |
| Storage Instruction | For continuous use, store undiluted antibody at 2-8°C for up to a week. For long-term storage, aliquot and store at -20°C. Storage in frost free freezers is not recommended. Avoid repeated freeze/thaw cycles. Suggest spin the vial prior to opening. The antibody solution should be gently mixed before use. |
| Note | For laboratory research only, not for drug, diagnostic or other use. |
Bioinformation
| Database Links | |
|---|---|
| Gene Symbol | HDAC2 |
| Gene Full Name | histone deacetylase 2 |
| Background | Responsible for the deacetylation of lysine residues on the N-terminal part of the core histones (H2A, H2B, H3 and H4). Histone deacetylation gives a tag for epigenetic repression and plays an important role in transcriptional regulation, cell cycle progression and developmental events. Histone deacetylases act via the formation of large multiprotein complexes |
| Function | Responsible for the deacetylation of lysine residues on the N-terminal part of the core histones (H2A, H2B, H3 and H4). Histone deacetylation gives a tag for epigenetic repression and plays an important role in transcriptional regulation, cell cycle progression and developmental events. Histone deacetylases act via the formation of large multiprotein complexes. Forms transcriptional repressor complexes by associating with MAD, SIN3, YY1 and N-COR. Interacts in the late S-phase of DNA-replication with DNMT1 in the other transcriptional repressor complex composed of DNMT1, DMAP1, PCNA, CAF1. Deacetylates TSHZ3 and regulates its transcriptional repressor activity. Component of a RCOR/GFI/KDM1A/HDAC complex that suppresses, via histone deacetylase (HDAC) recruitment, a number of genes implicated in multilineage blood cell development. May be involved in the transcriptional repression of circadian target genes, such as PER1, mediated by CRY1 through histone deacetylation. Involved in MTA1-mediated transcriptional corepression of TFF1 and CDKN1A. [UniProt] |
| Research Area | Cell Biology and Cellular Response antibody; Developmental Biology antibody; Gene Regulation antibody; Signaling Transduction antibody |
| Calculated MW | 55 kDa |
| PTM | S-nitrosylated by GAPDH. In neurons, S-Nitrosylation at Cys-262 and Cys-274 does not affect the enzyme activity but abolishes chromatin-binding, leading to increases acetylation of histones and activate genes that are associated with neuronal development. In embryonic cortical neurons, S-Nitrosylation regulates dendritic growth and branching. S-Nitrosylation interferes with its interaction with MTA1 (By similarity). |
Images (4) Click the Picture to Zoom In
-
ARG51686 anti-HDAC2 phospho (Ser394) antibody WB image
Western blot: Extracts from 293 cells untreated or treated with EGF stained with ARG51686 anti-HDAC2 phospho (Ser394) antibody.
-
ARG51686 anti-HDAC2 phospho (Ser394) antibody WB image
Western blot: Extracts from HepG2 cells, treated with calf intestinal phosphatase (CIP), stained with ARG51686 anti-HDAC2 phospho (Ser394) antibody.
-
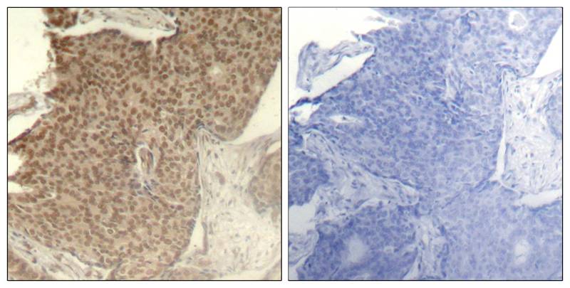
ARG51686 anti-HDAC2 phospho (Ser394) antibody IHC-P image
Immunohistochemistry: Paraffin-embedded Human breast carcinoma tissue stained with ARG51686 anti-HDAC2 phospho (Ser394) antibody (left) or the same antibody preincubated with blocking peptide (right).
-
ARG51686 anti-HDAC2 phospho (Ser394) antibody ICC/IF image
Immunofluorescence: methanol-fixed HeLa cells showing nuclear staining stained with ARG51686 anti-HDAC2 phospho (Ser394) antibody.
