ARG66436
anti-HDC / Histidine decarboxylase antibody
anti-HDC / Histidine decarboxylase antibody for IHC-Formalin-fixed paraffin-embedded sections,Western blot and Human
Overview
| Product Description | Rabbit Polyclonal antibody recognizes HDC / Histidine decarboxylase |
|---|---|
| Tested Reactivity | Hu |
| Predict Reactivity | Ms, Rat |
| Tested Application | IHC-P, WB |
| Host | Rabbit |
| Clonality | Polyclonal |
| Isotype | IgG |
| Target Name | HDC / Histidine decarboxylase |
| Antigen Species | Human |
| Immunogen | Synthetic peptide around the internal region of Human HDC. |
| Conjugation | Un-conjugated |
| Alternate Names | HDC; Histidine decarboxylase; EC 4.1.1.22 |
Application Instructions
| Application Suggestion |
|
||||||
|---|---|---|---|---|---|---|---|
| Application Note | IHC-P: Antigen Retrieval: High-pressure and temperature EDTA buffer (pH 8.0). * The dilutions indicate recommended starting dilutions and the optimal dilutions or concentrations should be determined by the scientist. |
||||||
| Observed Size | 74, 50 kDa |
Properties
| Form | Liquid |
|---|---|
| Purification | Affinity purification with immunogen. |
| Buffer | PBS, 0.02% Sodium azide, 50% Glycerol and 0.5% BSA. |
| Preservative | 0.02% Sodium azide |
| Stabilizer | 50% Glycerol and 0.5% BSA |
| Concentration | 1 mg/ml |
| Storage Instruction | For continuous use, store undiluted antibody at 2-8°C for up to a week. For long-term storage, aliquot and store at -20°C. Storage in frost free freezers is not recommended. Avoid repeated freeze/thaw cycles. Suggest spin the vial prior to opening. The antibody solution should be gently mixed before use. |
| Note | For laboratory research only, not for drug, diagnostic or other use. |
Bioinformation
| Database Links | |
|---|---|
| Gene Symbol | HDC |
| Gene Full Name | histidine decarboxylase |
| Background | This gene encodes a member of the group II decarboxylase family and forms a homodimer that converts L-histidine to histamine in a pyridoxal phosphate dependent manner. Histamine regulates several physiologic processes, including neurotransmission, gastric acid secretion,inflamation, and smooth muscle tone.[provided by RefSeq, Aug 2010] |
| Function | Catalyzes the biosynthesis of histamine from histidine. [UniProt] |
| Calculated MW | 74 kDa |
Images (3) Click the Picture to Zoom In
-
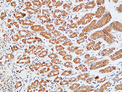
ARG66436 anti-HDC / Histidine decarboxylase antibody IHC-P image
Immunohistochemistry: Paraffin-embedded Human brain stained with ARG66436 anti-HDC / Histidine decarboxylase antibody at 1:100 dilution.
-
ARG66436 anti-HDC / Histidine decarboxylase antibody WB image
Western blot: K562 cell lysate stained with ARG66436 anti-HDC / Histidine decarboxylase antibody.
-
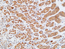
ARG66436 anti-HDC / Histidine decarboxylase antibody IHC-P image
Immunohistochemistry: Paraffin-embedded Human stomach stained with ARG66436 anti-HDC / Histidine decarboxylase antibody at 1:200, 4°C and overnight. Antigen Retrieval: High-pressure and temperature EDTA buffer (pH 8.0).
