ARG44673
anti-HIP1 / Huntingtin Interacting Protein antibody
anti-HIP1 / Huntingtin Interacting Protein antibody for IHC-Formalin-fixed paraffin-embedded sections,Immunoprecipitation,Western blot and Human
Overview
| Product Description | Mouse Monoclonal antibody recognizes HIP1 / Huntingtin Interacting Protein |
|---|---|
| Tested Reactivity | Hu |
| Tested Application | IHC-P, IP, WB |
| Host | Mouse |
| Clonality | Monoclonal |
| Isotype | IgG2a |
| Target Name | HIP1 / Huntingtin Interacting Protein |
| Antigen Species | Human |
| Conjugation | Un-conjugated |
| Alternate Names | HIP-I; SHONgamma; SHONbeta; ILWEQ; Huntingtin-interacting protein 1; Huntingtin-interacting protein I; HIP-1; SHON |
Application Instructions
| Application Suggestion |
|
||||||||
|---|---|---|---|---|---|---|---|---|---|
| Application Note | * The dilutions indicate recommended starting dilutions and the optimal dilutions or concentrations should be determined by the scientist. |
Properties
| Form | Liquid |
|---|---|
| Purification | Protein A purification |
| Buffer | PBS with 0.09% sodium azide |
| Storage Instruction | For continuous use, store undiluted antibody at 2-8°C for up to a week. For long-term storage, aliquot and store at -20°C or below. Storage in frost free freezers is not recommended. Avoid repeated freeze/thaw cycles. Suggest spin the vial prior to opening. The antibody solution should be gently mixed before use. |
| Note | For laboratory research only, not for drug, diagnostic or other use. |
Bioinformation
| Database Links | |
|---|---|
| Gene Symbol | HIP1 |
| Gene Full Name | huntingtin interacting protein 1 |
| Background | The product of this gene is a membrane-associated protein that functions in clathrin-mediated endocytosis and protein trafficking within the cell. The encoded protein binds to the huntingtin protein in the brain; this interaction is lost in Huntington's disease. Alternative splicing results in multiple transcript variants. [provided by RefSeq, Jul 2013] |
| Function | Plays a role in clathrin-mediated endocytosis and trafficking. Involved in regulating AMPA receptor trafficking in the central nervous system in an NMDA-dependent manner. Enhances androgen receptor (AR)-mediated transcription. May act as a proapoptotic protein that induces cell death by acting through the intrinsic apoptosis pathway. Binds 3-phosphoinositides (via ENTH domain). May act through the ENTH domain to promote cell survival by stabilizing receptor tyrosine kinases following ligand-induced endocytosis. May play a functional role in the cell filament networks. May be required for differentiation, proliferation, and/or survival of somatic and germline progenitors. [UniProt] |
| Calculated MW | 116 kDa |
Images (3) Click the Picture to Zoom In
-
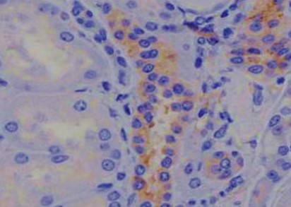
ARG44673 anti-HIP1 / Huntingtin Interacting Protein antibody IHC-P image
Immunohistochemistry: Human Kidney stained with ARG44673 anti-HIP1 / Huntingtin Interacting Protein antibody at 5 µg/mL dilution.
-
ARG44673 anti-HIP1 / Huntingtin Interacting Protein antibody WB image
Western blot: A549, HCT116, HEK293, HeLa stained with ARG44673 anti-HIP1 / Huntingtin Interacting Protein antibody at 1 µg/mL dilution.
-
ARG44673 anti-HIP1 / Huntingtin Interacting Protein antibody IP image
Immunoprecipitation: A549 lysate immunoprecipitated with 2.5 µg of ARG44673 anti-HIP1 / Huntingtin Interacting Protein antibody.
